一位90多岁的患者,有30多年的糖尿病和高血压,心脏依然很年轻!
11月26日,山东烟台市莱阳中心医院影像科医生王俊豪在个人平台分享了一个病例:一位91岁的老太太,因为有点头晕、胸疼前来就诊,胸部CT检查时发现她的心脏很年轻。
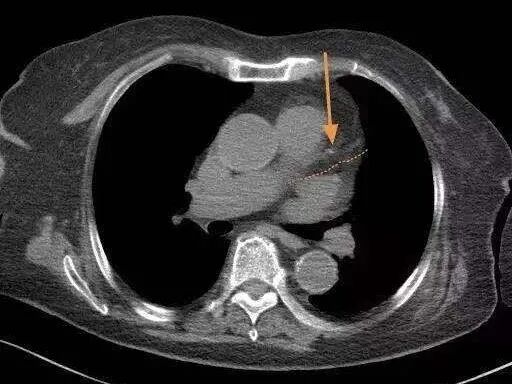
随着年龄增长,很多人会发生冠状动脉硬化,形成一些软硬斑块,引发冠心病。但这位老人只有很小的一点钙化(如图),比很多60岁的人都要好。而且检查发现,老人肺里没有结节,很干净。①
“影像科豪大夫“图
90岁老人60岁的心血管!
她是如何做到的?
这位老人有着30多年的2型糖尿病和高血压,她是怎么做到心血管如此年轻的呢?医生经过询问得知:
1、生活中不抽烟,不喝酒;
2、降压药、降糖药按时吃,基本每周都去卫生室量血压、测血糖;
3、吃饭规律,饭量不大,不忌口,啥都吃,孩子做啥就吃啥,口味偏淡。
这个例子就是告诉大家,有糖尿病、高血压也可以活到很长寿,只要按时吃药,定期检测,把指标控制到相对正常的范围。①
如何保持心血管健康?
想要保证心脏健康,除了控制好“三高”——高血压、高血糖、高血脂,规律用药、定期检测,还建议做到以下这10条。
1、腰围不要超标
北京大学公卫学院吕筠、田园等研究人员2018年发表在《中华流行病学杂志》上的一项研究显示,腰越粗,发生冠心病、急性冠心病事件和死于冠心病的风险越高。腰围粗的人,就意味着腹部脂肪堆积过多,而肥胖是导致心脑血管疾病的主要危险因素。②
《中国成人超重和肥胖症预防控制指南》明确规定,男性腰围≥85厘米,女性腰围≥80厘米即为超标。想要减掉大肚子,管住嘴,迈开腿。
2、一定不要熬夜
复旦大学附属华山医院心内科主任医师李剑2021年在健康时报刊文表示,熬夜看手机、处理工作、玩游戏,特别容易诱发神经系统紊乱,就容易引起高血压。一旦晚睡,进食时间也会推迟,造成代谢异常,损害心脏健康。
有心脏早搏的人,如果睡眠时间很短,病情控制就会不稳定,容易发生恶性心律失常。
所以,提醒大家,保证充足的睡眠是护心的重要一步。最好保证在晚上十一点前上床睡觉。如果第二天事情较多,可以早点起床,但一定不要熬夜。③
3、坚持适量运动
河南郑州市中心医院心血管内科主任医师张琳2015年在医院公众号刊文表示,坚持每天运动2个“半小时”来保持年轻的心脏:
早上运动半小时:走走路,打打太极拳,跑跑步,或者别的运动。要因人而异,运动适量。
晚上步行半小时:通过散步,可促进血液循环,晚上睡得香,有利于保护心脏,减少心肌梗死、高血压的发病率。④
4、尽量远离烟酒
河北石家庄市中医院心病科主任医师王强2018年在健康时报刊文表示,曾有患者,血压控制好了,血脂、血糖正常,颈动脉也没有看到动脉硬化斑块,却还会发生冠心病、心绞痛。仔细追问病史,该患者嗜烟7年,平均每日吸烟2~3盒。
香烟烟雾中的尼古丁、一氧化氮、一些氧化物质会导致交感兴奋、心率血压升高,诱发心律失常、心力衰竭。⑤
过量饮酒也会导致高血压、心力衰竭等。
5、多吃粗粮杂粮
解放军总医院第七医学中心心血管内科主任医师和渝斌2017年在健康时报刊文表示,成年人一天的饮食中杂粮的进食量要占到三分之一。谷物、杂豆富含有高纤维和维生素,矿物质和抗氧化剂。研究发现,水溶性膳食纤维具有排泄钠的作用,经常食用能预防高血压。⑥
6、少吃高盐高糖
和渝斌提醒,吃盐过多容易出现水钠潴留,从而加重心脏负担。另外,大量临床数据显示,高盐摄入与人体血压成正比,吃盐多还会使血浆胆固醇升高,导致动脉粥样硬化的风险。⑥
7、不要经常憋尿
解放军总医院第五医学中心感染病医学部主任医师赵敏2018年在健康时报刊文表示,我们都知道憋尿可能引起相关器官的炎症,比如尿路感染、膀胱炎、前列腺炎等。其实,憋尿的危害远远不止如此。
憋尿可引起生理和心理上的紧张,可使高血压病人血压增高,冠心病人出现心绞痛、心律失常等。因此憋尿有可能成为心脑血管疾病的诱因,严重的还会导致猝死。⑦
8、生活多点绿植
中国中医科学院西苑医院心内科主任医师衷敬柏2018年在健康时报刊文表示,大环境与小环境都影响心血管健康,缺少阳光和植物绿化的居住环境提升了患心血管疾病的风险。⑧
美国路易斯维尔大学研究人员2018年发表在《美国心脏病学会杂志》上的研究显示,居住在绿植密度越高地区的人,氧化应激水平低,而氧化应激水平升高经常会诱发各种心脏疾病;同时,他们自身的血管修复能力也较高。
在绿树环绕的地区居住的人,发生心脏病和中风的风险明显降低。⑨
9、不住在马路边
北京医院心内科主任医师汪芳2014年在健康时报刊文介绍,长期暴露于马路周边环境,对心脑血管会造成伤害,噪音、污染等因素加速了血管功能退化。
住在马路周边,汽车尾气中有毒气体如二氧化硫等浓度更大,更易引起身体疾病。马路周边噪音大,还可能带来心速加快、心律失常,增加了心源性猝死及患致命性冠心病的风险。⑩
10、多参与社交活动
中国中医科学院西苑医院心血管科主任医师董国菊2019年在健康时报刊文表示,有些独居人士感到孤独,可能更容易无所顾忌地吸烟、长期吃外卖、习惯熬夜等,可能促使高血压、糖尿病的发生,不仅容易导致冠心病,患病的人也会增加死亡率。
远离孤独,多参与社交活动。河北省第六人民医院精神科主任医师于雪竹2019年在健康时报刊文表示,有活跃社交的老年人骨骼更强壮,心血管疾病更少。愉快、平和的心态,对保护心脏健康来说都非常重要。⑪
审稿:杨小明