功能性便秘是一种多基因、多因素的疾病。西药及结肠手术虽然近期疗效良好,但远期疗效较差。而中药治疗疗效显著且疗效持久,因此中药治疗便秘逐渐被更多的诊疗机构应用。《本草纲目》上记录了白术和芍药可缓解腹痛,且两者的合用对于治疗溃疡性结肠炎及肝脾疾病综合征已有报道,但两种药物的具体作用机制尚不明确。浙江中医药大学药学院临床中医药课题组的研究人员,通过网络药理预测和分子对接分析的方法,对白术和芍药联合治疗功能性便秘的机制进行模拟预测,并通过实验进行验证。
本文应用TCMSP数据库筛选出白术和芍药的潜在活性成分,再通过UniProt数据库筛选出白术和芍药的潜在成分靶点,通过R语言及通过Cytoscape软件构建了“成分-目标”网络图,对观点靶点进行了GO与KEGG分析,并对得分最高的成分和基因进行分子对接分析,结果提示白术和芍药在功能性便秘治疗的靶点调控中具有显著作用;
图1:中药复合成分-靶点网络的可视化
图2:关键靶点的GO 和 KEGG 富集分析
图3:得分最高的成分和基因进行分子对接分析
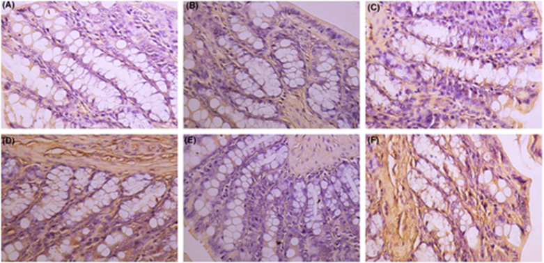
文中动物模型的实验验证中,应用地芬诺酯10 mg/kg,每日1次,连续14 天制作大鼠便秘动物模型,正常组给予生理盐水作为对照,实验组分别给予莫沙必利或白术和芍药高、中、低剂量治疗便秘。最终测定大鼠血清和肠道组织腺苷酸(cAMP)、蛋白激酶A (PKA)、腺苷酸环化酶(AC)水平及水通道蛋白(AQP)1、AQP3、AQP8水平。结果提示:白术与芍药和莫沙必利组均可不同程度地降低AQP1、AQP3和AQP8的数量。
图4:血清中AC,cAMP和PKA水平的影响
图5:AQP1在肠组织中的表达。(A) 生理盐水给药组。(B) 模型组。(C) 低剂量白术和芍药。(D) 中等剂量白术和芍药。(E) 高剂量白术和芍药。(F)莫沙必利给药组
综上所述,本研究预测了白术和芍药治疗功能性便秘的机制,并通过实验得到证实,为中药的应用及其作用机制的探索提供了依据。
期刊简介
AMEM是国际化,开放获取的英文期刊,由中国实验动物学会和中国医学科学院医学实验动物研究所共同主办,与国际著名出版集团Wiley合作出版,为双月刊。期刊已陆续被ESCI、MEDLINE、Scopus、PMC、DOAJ等数据库收录,影响力得到国际认可。
AMEM致力于为实验动物物种资源,实验动物模型、实验医学、比较医学和转化医学、实验动物技术、实验动物福利等科学研究搭建国际交流平台,是一本注重学科交叉、注重成果转化、引领实验动物科学和实验医学创新发展的专业期刊。
期刊封面展示(从左至右):
1. 2018年创刊号;
2. 2020年3月份的第一期率先刊出了恒河猴新冠肺炎模型研究成果,入选2020 年度“中国生命科学十大进展”;
3. 2022年封面全新改版,并从季刊改为双月刊。
期刊作者,读者和审稿人来自美国、澳大利亚、德国、日本、巴西、法国、以色列等国家,呈现良好的国际化形势。
期刊品牌定位准确。自2018年创刊至今,共刊载论文172篇。刊载论文既具有实验动物模型的专业特色,又具有显著的学科交叉融合特征。2018、2019和2020年篇均被引频次为6.543, 其中被引TOP10文章如下。
AMEM在2022年,将继续争取优秀论文首发权,对于优质稿件,完全免除APC。同时对下述文章类型,实行50%折扣,包括 Short communication, Technical note, Practice and policy, Meeting report,以及AFLAS Focus 和 Laboratory Animal Welfare and Ethics栏目。另外,期刊在2022年,将继续推进学术前沿和研究热点专栏建设,专栏组稿包括但不限于下述方向:(1)天然药物作用机制研究;(2)人体共生微生物研究;(3)心脑血管疾病;(4)中枢神经系统疾病;(5)病毒与宿主的相互作用研究;(6)干细胞方向;(7)脑科学方向;(8)实验动物福利伦理。欢迎您积极参与期刊专栏建设!
AMEM投稿网址:https://mc.manuscriptcentral.com/amem
联系电话:
010-67779337
AMEM将以一流科技期刊建设为目标,以期刊学术质量为第一生命线,继续加强期刊的国际竞争力和影响力建设,成为具有世界影响力的高端学术交流平台!
相关阅读:
内容 | AMEM编辑部
排版 | Mingsong
点赞,在看,分享,来个一键三连吧!