发文章,写课题基金最重要的是什么?
Figure图、图文摘要、数据处理、统计分析....
那下面让我们看下高分文章中是怎么呈现的:
图文摘要:
例文:
1.【Q1/1区文章】南京中医药大学:忍冬苷靶向EZH2减轻溃疡性结肠炎通过自噬介导NLRP3炎性体失活
2.【单体药理-IF8.579】中国农大等团队揭示大麻二酚减轻肺动脉高压机制(通过改善血管平滑肌细胞线粒体功能)
组织切片和免疫荧光:
网络药理:
【IF2.527-审稿快适合毕业-版面可免期刊】基于网络药理学揭示肉桂抗寒生热机理
体外机制研究:
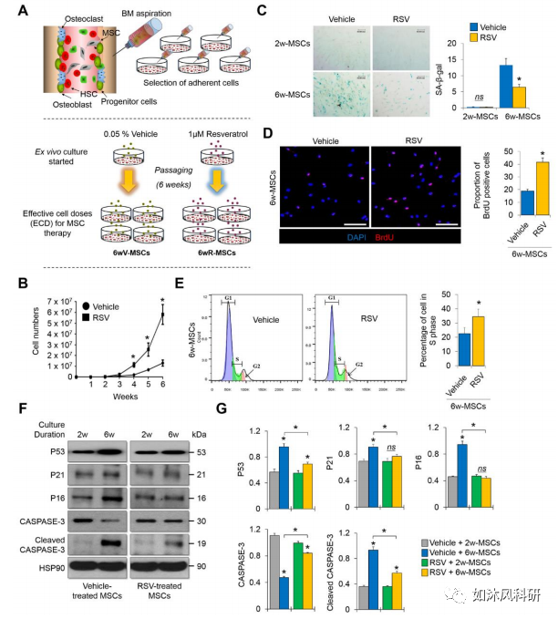
【单体药理IF5.4-Q1/2区】白藜芦醇通过SIRT1-SOX2轴改善MSC移植后的骨再生
看到别人发高分的文章,而自己看着数据和难看的分析图表,拿不出手,怎么办。
下面看我如何带你在科研中如沐春风!现在你只要动一下手,点击下方公众号关注,可能你就会离发高分文章更近一步。
【关注回复关键词有福利相送】:“2021国自然模板”、“2019国自然”、“可视化网站”、“科研资料”等
在这里,你还可以获取哪些资源:
1.Figure绘图技巧
2.期刊投稿选择,特别是中医药研究相关高分文章荐读。
2021-04-01
2021-03-30
2021-03-29
2021-03-26
2021-03-25
2021-03-18
2021-03-15
2021-03-11
2021-03-10
3.科研分析教程,主要包括网络药理及统计学分析
3)【基础篇】对照试验中两组数据置信区间和显著性差异如何用SPSS计算
4)推荐一个既可提高Pubmed检索效率,又能根据期刊偏好选刊的网站
5)如何利用好假期?用网络药理学:推荐1个更新较快,国际公认的网络药理学相关数据库
7)【IF2.527-审稿快适合毕业-版面可免期刊】基于网络药理学揭示肉桂抗寒生热机理
4.国自然基金设计思路
2021-02-08
2021-02-07
2021-02-05
2021-02-04
2021-02-03
2021-01-31