每个女孩都与“姨妈”有一段苦痛纠缠的岁月,今年13岁的小燕也不例外:9月底的一天,正在上体育课的小燕,突然觉得一阵腹痛。
“难道又是姨妈痛?”刚刚第一次例假结束的小燕懵懵懂懂,赶紧找到老师求助。得知小燕莫名其妙肚子疼,老师和家长都格外谨慎,带着她上医院打算仔细检查,结果让大家一阵意外。
原来肚子疼不是“姨妈”的锅,而是小燕的胰腺上长了一个肿瘤。
小小年纪怎么会得肿瘤呢?听闻儿童胰腺肿瘤较罕见,手术难度高,且会在腹部留下了一条长长的手术疤痕,一家人心急如焚。
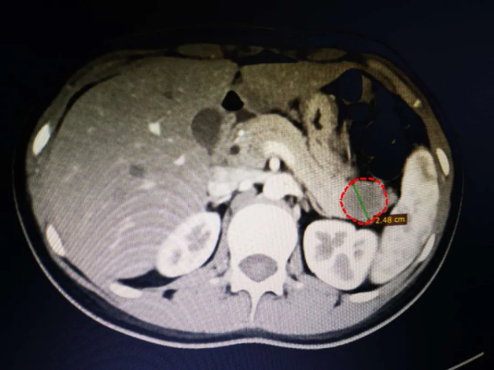
几经辗转,一家人找到了树兰(杭州)医院,入住肝胆胰外科。完善相关检查后,考虑小姑娘患的是,胰腺实性假乳头状肿瘤。肿瘤直径2-3厘米,位于胰尾部,紧贴肾脏与脾脏。
但好在这种肿瘤是低度恶性肿瘤,早期手术切除的话,术后恢复还是不错的。
手术方案由郑树森院士领衔组织院士查房会诊,小儿胰腺手术位置深、切口大,手术探查困难,风险远大于成人。
同时考虑到伤口美观以及尽可能减轻手术创伤,加快术后恢复,郑院士为小燕制定经脐部的腹腔镜手术。
充分准备后,当天郑树森院士以及胡益挺医师主刀手术,仔细将肿瘤与临近的脾脏剥离,切除掉胰体尾肿瘤和已侵犯的肾上腺。
胰腺组织较脆,在胰腺上缝合犹如“在豆腐上绣花”。好在经过两个多小时的紧张时刻,手术顺利完成,切除的肿瘤通过脐部的小孔取出,术后疤痕藏在肚脐眼的褶皱中,几乎不被察觉。
小燕的肿瘤其实是一种罕见的“女儿瘤”,常常长很大才被发现。
很多人都知道,胰腺疾病和吃分不开,但小燕这个肿瘤,和吃的关系并不大。这是一种胰腺上皮性肿瘤,发病率并不高,但很青睐女性,尤其是年轻女性,因此也称“女儿瘤”。临床上任何青春期或年轻女性,胰腺具有囊性或部分囊性的肿块就要怀疑了,但要注意的是,这种疾病也发生于儿童及老年和男性。
实性假乳头状肿瘤远处转移极少发生,基本上被认为是个低度恶性肿瘤,它可发生于胰腺的任何部位,手术难点在于切除肿瘤的同时,尽可能保护周围脏器。
但这种疾病的诊断比较难,主要是因为初期并没有太多症状。临床上常表现为上腹部肿块或上腹部疼痛,有些表现为上腹部不适或有疲劳感,有的患者无任何临床症状,仅在常规检查时发现有胰腺包块。
医生提醒,一些查不出原因的胃病、腹痛、消化道梗阻等病症一定要重视,要考虑查一查是否是胰腺出了问题,及时就诊,才能最大限度提高治愈率与生存质量。
首席记者 俞茜茜
通讯员 邹芸 谢晨
▼往期精彩▼
浙大儿院六个月完成200例达芬奇机器人手术,最小患者1.85公斤 它最拿手6类小儿外科手术
34岁新冠康复者肺功能评分94分 ,最远能走16公里 他特意赶到杭州为邵逸夫医院医护们吹了一曲萨克斯
六旬阿姨20多天没解大便,居然是得了“最凶妇瘤”!身体出现这些信号千万要小心
Go to "Discover" > "Top Stories" > "Wow"