
作者:英国报姐
来源:英国报姐(ID:baojieuk)
文中的视频太感动了!“哪怕忘了全世界,也不会忘记我爱你。”这大概是世上最深情的告白了。
——小婚家
2005年伦敦一处安静的小房子里,一个老人轻轻按下最后一个音符,结束了自己的演奏。
他坐在沙发上,微笑着向镜头转身,似乎准备对聆听演奏的客人说点什么。但就在那个瞬间,他忘了自己身在何处。
他一脸困惑地望着镜头后的两位记者:“很抱歉,请问你们是谁?”
记者:“2分钟前,您为我们演奏了一段钢琴曲,您还记得吗?”
Clive断然否认:“我为你们演奏了钢琴?开玩笑吧你们!”
这位已经白发苍苍的老人名叫Clive Wearing,并不是在逗记者玩,他是真的不记得两分钟前发生了什么。他是医学史上罕见的,最严重的遗忘症Amnesia患者案例之一。
每隔十几秒,他就会彻底忘记之前发生的任何事情。因此,人们也称他为“只有七秒记忆的男人”。
他的记忆,和金鱼一样,只要七秒就会消失。他的生命是一段又一段的空白,没有过去,没有未来。
故事回到30多年前,47岁的Clive是一位在威斯敏斯特大教堂工作的男高音歌唱家,弹钢琴、编写曲目、指挥乐团、排演歌剧样样拿手。
Clive性格活泼开朗、平易近人,身边的人都喜欢他。这个英国男人,举手投足间都有着英国人的幽默劲儿和绅士范儿。
作为一名被BBC等知名电视台相中的业界翘楚,80年代时的Clive,正值音乐生涯的顶峰,甚至负责过1981年戴安娜王妃和查尔斯王子的婚礼音乐,在业界非常有名。
人们说他是英国当时最有才华的编曲者,最有潜力成为历史名家的艺术家。但这一切,在1985年的3月27日,彻底被打破。
这一天,下班回到家的Clive捂着头对妻子Deborah说:“亲爱的,我头好疼,感觉快炸掉了。”
但他和妻子都没能料到的是,本以为是一次简单的伤风感冒,竟然彻底改写了让Clive和妻子的命运。
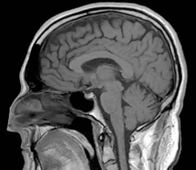
Clive染上的病,名叫单纯疱疹病毒脑炎Herpesviral encephalitis,这是一种急性病,发病时间不固定,潜伏期短,通常的症状是发热、头疼等,最严重的状况,是大脑损伤,导致人失忆,甚至失明。
从发病的第一天开始,Clive掉入了无记忆的深渊,他的大脑再也不能储存新的记忆,也丧失了控制情绪和联想事情的能力。
这不得不让他离开了心爱的音乐事业,回家静养。
刚刚和他结婚一年的妻子Deborah,带着他不断地求医问诊,最后被医生确诊为顺行性加逆行性失忆症。
这场脑炎让Clive的海马体受到了永久损伤,而海马体又是将短期记忆传递成长期记忆的重要器官,这导致了这位曾几何时的天才音乐家的大脑,彻底丧失了长久记忆的功能。
简单的说,他既不记得发病前的事情,也不记得发病后的事情,整个人落入了Blank Space空白空间里。
他能够记忆的时间,最长30秒,最短只有7秒钟。时间一过,整个世界对他来说,就像是自己刚从一段沉睡中醒来一样,全是一场空。
整整三十几年,每一天,Clive要用20秒的时间“重启自己”,待到30秒上限一过,他又要重新来一遍。
在30秒的记忆过程里,Clive能够与人正常对话,也能回答问题,但只要问他更深入和私人的问题,Clive就会变得特别沮丧和生气,因为,他什么都不记得了。
这样重启的过程,每天要反复上百次。很难想象,在这样的大脑状态下,一个曾经叱咤风云的天才艺术家,是如何承受的。
但,Clive忘记了一切,却一直以他独有的方式,深深记得一个人,他的妻子Deborah,也从来没有忘记,自己会音乐这件事。
得了遗忘症后的Clive,每一次见到妻子时,都会像小孩子一样,特别兴奋地迎接她。
这种“第一次”,并不是像我们平常和朋友在咖啡店碰面时的那种形式,而是例如Deborah只是转身去厨房倒杯水,回到客厅后,Clive会像第一次见到她一样雀跃地跳起来拥抱她。
有时Clive重启记忆时,会觉得和妻子是分别十几年后久别重逢的,有时也觉得从来没见过她,但是对她一见钟情了。
每一次见到妻子时Clive兴奋的样子。
刚刚新婚一年的夫妇俩,遭遇如此的打击,Deborah其实也挣扎过,但她还是决定留下来,要陪着丈夫一直治疗下去。
令人惊奇的是,Clive在无数次爱上妻子的同时,也从来没有忘记音乐。他仍然能够演奏出美妙的钢琴音乐、歌唱记得的乐曲片段,熟练的样子,就像什么都没发生过。
医生说,因为人类的大脑在记忆音乐时,是用的程序记忆Procedural memory,这是一种长期记忆,也叫做内隐记忆的形式。反复弹奏钢琴的身体动作,能够触发人的内隐记忆,这也是为什么Clive能够记得音乐的原因。
Clive说:“不能被言说的东西往往最重要,这就是为什么会有音乐。”
直到现在,记者们每隔几年都会去探望夫妇俩,当他们问Clive:“你知道我们二十年前拍过你的纪录片,几百万人都知道你吗?”
Clive捂着嘴一脸难以置信的惊奇样儿,非常可爱的回答道:“什么???天了噜!!!不可能!!!太尴尬了啦!!!”
而他的妻子Deborah,几十年如一日,耐心的照顾着丈夫,鼓励他写笔记,要他在每段记忆过程里写下当时的想法,记录下当时的时间。
每一次“醒来”时,Clive都会看看时间,再划掉上一个片段的笔记。2005年,Deborah出版了回忆录,公开了Clive的笔记。
时间、句子,每一天的无数个30秒里,Clive写下了当时的短暂想法。
“我醒了”、“第一个想法:我永远爱Deborah”、“我醒了”、“该出去走走了”
“我活着”
这大概就是真正的:我忘记了全世界,也绝不会忘记爱你。
小婚家还为你准备了更多好文章哦,点点看↙↙↙
【点击以下关键词查看更多内容】
本文图片来源网络,我们尊重著作权所有人的合法权益,如涉及版权争议,请著作权人告知我方删除,谢谢。
投稿请发邮件:1293467253@qq.com
商务合作请QQ:810739902
婚姻与家庭杂志社微信矩阵
婚姻与家庭杂志(hunyinyujiating99)
情感生活全媒体平台,专注女性成长与婚姻幸福。
常春藤亲子营 (cctqinziying)
帮助父母培养心态健康、全面发展的国际化人才
欧麦妈妈 (oumaimom)
心灵养育第一品牌,关注0~3岁宝宝心理健康及孕妈产妇的精神陪伴。
内容转载自公众号