离谱!家长带小孩去矫牙,竟发现孩子鼻腔内有一颗围棋
潇湘晨报
潇湘晨报
Weixin ID
xxcbwx
About Feature
影响湖南 湖南影响
Posted on
收录于合集
来源 | 羊城晚报
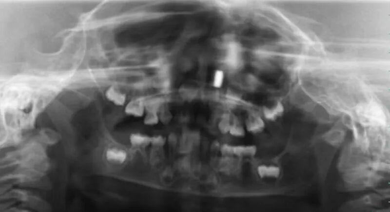
“从未遇见过这样的案例!也不知孩子如何呼吸的!?”近日,广州医科大学附属口腔医院儿童口腔科高旭广医生接诊了一位患儿,其口腔全景曲面体层片里显示鼻腔里有异物,手术取出来才发现孩子鼻腔里塞的竟然是一颗黑色围棋子。
检查发现孩子的鼻腔有异物
就在前段时间,李女士带着自己三岁多的孩子到广州医科大学附属口腔医院儿童口腔科就诊。“我怀疑孩子有地包天,你看这下面的牙齿越来越往外面哨。”李女士说,自己发现孩子的面容异样因此带孩子看口腔医生。医生给孩子做了常规的口腔X光片,显示鼻腔有亮白色的高密度异物。
口腔X光片,竟显示出鼻腔有亮白色的高密度异物
“这是很不寻常的,这个异物卡在鼻腔中间偏后的地方,肉眼不可见。另外一个鼻孔是可以正常通气的,时间久了,小朋友适应了就没有明显的感觉了。”
医生建议家长带着孩子再去拍CT检查,由于孩子年纪太小,难以配合CT检查。在与家长充分沟通之后,选择了镇静下卧式口腔CBCT。
“CT结果显示,孩子的鼻腔内有金属异物!”
医生立即将孩子转诊到综合医院。据悉,当晚就给孩子做了全麻手术,异物被取出后大家才发现,原来那是一颗围棋子。
“罪魁祸首”围棋子
医生提醒,3岁以下的孩子特别容易误吞误吸一些玩具零件,因此给孩子玩具要格外小心,因为因为异物有可能在原位引发炎症或者被误吸入呼吸道,进而引起呼吸道通气阻塞。
小朋友有身体不适或者牙齿、颌骨、肌肉等方面的异常,建议及时到医院就诊,避免延误病情
。
推荐阅读
预览时标签不可点
Scan to Follow
Got It
Scan with Weixin to
use this Mini Program
Cancel
Allow
Cancel
Allow
:
,
.
Video
Mini Program
Like
,轻点两下取消赞
Wow
,轻点两下取消在看