我右膝盖疼了有一段时间了。一开始是走路多了疼,歇歇会好;后来发展到走几步路就疼,缓一晚上才会恢复。疼得倒是不厉害,就是一直堵得难受。于是我不跑步了,不打球了,上下楼梯改坐电梯了,但都没什么效果。
暑假后疼痛再次袭来,我知道不得不去医院了。心里的不安被证实,核磁共振显示盘状半月板,有撕裂,需要手术。
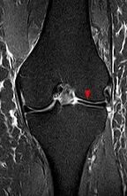
术前磁共振检查丨作者供图
作为一名资深运动少女,对于要做关节手术这件事情有着天然的恐惧,想到可能要告别运动场,我忍不住掉下泪来。哭罢我很认真地告诉男朋友,如果老了需要坐轮椅的话,我一定要买最贵最拉风的那种电动轮椅,我还有个自己开轮椅的梦想。
做了很久的心理建设,今年8月9号,我终于躺到了手术台上。
“你这种情况少见啊,都能当教学案例了”
一开始,手术室的氛围十分轻松,医护们还聊着晚餐吃点什么。当屏幕上出现关节内部的景象时,就渐渐没人说话了。我心里直打鼓,只听见医生说:“哎呦这撕裂这么长……这撕裂的地方找不到啊……”
医生盯着显示屏找了半天,又一个探头从另一个角度刺进来:“哎呦找着了,你们看看,她的盘状半月板都挤到这里来了。”医生让自己的一个助手冲着显示屏拍了照,接着他对我说:“你这种情况少见啊,都能当教学案例了。”
听到这话,我心里不可遏制地涌出了自豪之情:“果然,厉害的人,生个病都能当案例,天之骄子啊!”
“你的盘状半月板什么情况呢?你看看,这一边都撕裂了,然后掉下来的这部分从骨头缝里滑出来,都挤到这一边了。”医生在镜头里用金属头拨拉着撕裂的边缘给我看,我看着屏幕上毛茸茸的边缘,心里默默想:“好家伙,这关节里跟海底世界似的,这不就是海草丛嘛!”
医生看我年纪轻轻,不想直接切除,他的解决办法听上去也很简单:将离家出走的半月板先从骨头缝里拽回来,缝合好,然后再修剪成正常半月板的形状。这邋遢的半月板能抢救一下,真是令人庆幸。
但庆幸归庆幸,这手术方案可真是说来简单做来难。打了麻药并不觉得疼,但我能明显感觉到医生铆足了劲儿往里推器械,能感觉到骨头缝里有东西在钻啊钻,我甚至听到了“咯噔、咯噔”的骨头响。时间已经过去了很久,围在我腿边的医生依旧忙碌。
时间久不是问题,可怕的是,我渐渐感觉到自己的脚指头了!我的妈呀!这要是手术没做完,麻药劲儿过了……好在一位医生在我口鼻上按了一个面罩:“你睡会儿吧。”看来是给我上药啦!术前紧张加隔壁床呼噜连天,我一晚上没睡好,很快我就沉沉睡去,还做起了五光十色的梦。
我是被人晃醒的,迷迷糊糊间我听到主刀医生开玩笑说:“我在这为你累死累活的,你倒是睡得挺香啊,醒醒,醒醒!”被推出手术室的时候,天都黑了,男朋友紧张地说,通常只需要半个小时左右的手术,我做了两个半小时。
手术后当晚丨作者供图
人间至爽是尿尿,人间至痛是弯腿
回到病房后,脑子还是昏昏沉沉的,但好久没吃东西,我饿得睡不着。
这天晚上,我膝盖被包裹得严严实实的,并不疼但有些胀胀的,可以忍受。难以忍受的是我的膀胱,它一点点充盈起来,我内心的挣扎也愈演愈烈,怎么上厕所嘛!半夜里,护士来看我的情况,问我有没有排尿。我摸了摸胀胀的小腹,不好意思地说了声“没有”。就是这声问候,坚定了我要尿尿的决心。活人哪能让尿憋死,是时候了!
按了铃,护工阿姨拿着尿盆闪亮登场。她熟练地脱下我的内裤,抬起我的屁股,将尿盆塞到我屁股下边。
“好了,孩子,你尿吧。”我……臣妾做不到啊!
可能是手术后麻药劲儿还没彻底过去肌肉不受控制,也可能是第一次躺着在床上尿尿,还可能是有人在一旁围观为我加油打气,总之,我憋得要命,却没尿出来。
酝酿半天无果,我尴尬地看向阿姨:“要不您先出去,我解决完了告诉您。”“好嘞 ,阿姨在门外等着,你慢慢来,尿完了告诉我。”
一个人的夜晚,无人打扰,隔壁床的呼噜声有规律地传来。此时此刻,静心感受自己的下半身,我感受到了妙不可说的禅意。我闭着眼睛,用手轻轻按压着下腹部,脑海中想象着此时自己正坐在马桶之上。
一股热流滚滚而下,我感受到屁股被打湿的温热。膀胱一点点松弛,前所未有的欢愉将我笼罩,我很没出息地长长吁了口气。
第二天上午,医生来病房看我。当他啃着苹果进来的时候,我正颇有耐心地数着吊瓶里一滴一滴的药。我刚想张嘴请人把床摇起来,医生制止了我:“你自己起!”原来手术第二天,我就能自己坐起来了!我试着活动,竟然真就蹭着坐了起来。医生拿着自己的手机,翻到我手术时的照片,侧到我眼前给我看。
“哎呦,你这个手术,可不简单啊!我再跟你讲讲,你看这里……”医生讲得眉飞色舞,言语间满是得意与开心,“我找了半天,怎么找不着呢,我说不应该啊,但是我没有放弃,还是想争取给你保一下,你太年轻了。半月板缝了三针,你好好休息,稍微活动活动。”
接下来,我一晚上动都没敢动的右腿被抬了起来,医生乐呵呵地抖了抖,又握着我的小腿弯了几下,嘴里很轻松:“这样,这样,哎,都没事!”他好像压根没注意到我一连串的“疼疼疼疼疼疼疼”和倒吸凉气的脸。
医生见惯了这种场面,云淡风轻,但对每一个患者来说,那都是一次胆战心惊的经历呀。
机械飞升,彻底躺平
在医院住了两三天,缠在腿上的厚纱布光荣下岗后,我终于回到了阔别一周的家,再次摸到了我的猫。按照医嘱,我需要戴好支具,卧床休息一个月,患肢保持伸直状态,不能着地。
三天后换药时我才注意到,膝盖上有五个小创口,每个小创口都很严肃地缝着线。人家关节镜一般两三个口,我这一堆线堆在一起,还真是挺刺激。
酒精擦拭伤口,有一点点刺痛,一开始男朋友伏在我腿边不敢下手,最后只能慢慢擦。膝盖肿得高高的,比左腿胖了一圈。但好在关节里并没有痛的感觉,让人稍稍放心。
术后九天丨作者供图
术后两周丨作者供图
术后三周已拆线丨作者供图
一个月后,拆过线的伤口已经基本愈合,我拄着拐杖来医院复查。熟悉的医生依旧笑呵呵,得知我扎扎实实躺了一个月之后,他夸奖我:“像你这种听话的患者,我们最喜欢了。”
支具去掉了,可以试着走路了,感觉生活正在一点点回归正常。记得手术那时天热得要命,转眼间已经有凉风吹起,真是奇妙。
这一个月里,我也查了很多资料,但仍然疑惑,我的半月板明明有撕裂,可回忆过去的生活经历,我的膝盖却并没有十分剧烈地疼过、肿过,难不成撕裂还能在不知不觉间一点一点裂开?
算了,不想了。我还是看看脚下,想想怎么走出这一步吧!
术后六周开始慢慢锻炼丨作者供图
医生点评
万方 | 复旦大学附属华山医院运动医学与关节镜外科主治医师
什么是盘状半月板?
半月板为啥叫半月板?顾名思义,因为它的正常形状是半月形,准确地说是月牙形的。不过有些人的半月板出现了先天变异,天生就是满月形的叫盘状半月板。
盘状半月板较正常半月板厚度更厚,形状呈椭圆形或圆盘状。根据形状,盘状半月板又分为完全盘状(大盘状)和不完全盘状(小盘状)。盘状半月板常见于膝盖外侧的半月板,内侧很罕见,有时双膝都有。亚洲人群盘状半月板发生率较高。
到底是不是盘状半月板,查个磁共振就很清楚了,磁共振上可以很明显地看出半月板是否为盘状、有无撕裂等情况。
磁共振显示:盘状半月板丨医生供图
为什么盘状半月板更容易损伤?
有一小部分盘状半月板患者可能一生都不会遇到任何问题,不会引起疼痛或不适,无需治疗。但大部分盘状半月板患者都会在人生的各个阶段出现半月板的撕裂,并且好发于青少年时期。所以青少年突发膝关节交锁、疼痛、屈伸障碍,首先需要排除盘状半月板撕裂。
三种情况:1、完全盘状;2、不完全盘状;3、合并板股韧带松弛丨www.orthobullets.com
半月板并不是越大越好用,由于盘状半月板又厚又大,撕裂后更容易卡在膝关节中,继而引起屈伸膝困难、弹响、交锁和疼痛。由于半月板缺乏血供,一旦撕裂就很难自行愈合。设想一下你的膝盖一直伸不直也弯不起来,一直有个东西在里面摩擦摩擦,生活肯定会有受到很大影响。
盘状半月板撕裂:a:关节镜下表现;b:俯视模式图丨参考资料1
还有种特殊的情况叫板股韧带松弛,盘状半月板先天性缺乏固定结构,活动性太大,以至于容易扭坏撕裂。作者很有可能就是这种情况,所以缝了好几针才稳定下来。
值得注意的是,对于盘状半月板的患者而言,即便没有受过外伤,也会出现相应症状,这是因为日常生活的强度就足够引起盘状半月板撕裂。
盘状半月板撕裂该如何治疗?
对于盘状半月板的治疗:没有症状,无需处理,随访观察,避免扭伤;一旦有症状,只能及时进行关节镜手术。
术中会尽量将半月板修剪至正常的月牙形,将多余的半月板组织一并切除。对于撕裂处,应当积极缝合修复半月板,固定不稳定的半月板,避免过度切除引起将来因半月板缺失造成的种种问题。
盘状半月板手术:A:将半月板组织修剪到正常半月形;B:缝合撕裂处丨参考资料2
术后康复计划依照术中操作而定。
仅成形没有缝合:一般术后第二天就能扶拐下地,一周双拐变单拐,两周完成脱拐,快走、跑步、自行车都是可以逐渐开始的,竞技性体育运动可以在康复完成后参加。
如果做了缝合:一般术后第二天就能扶拐下地,三周双拐变单拐,四周完成脱拐,快走、跑步、自行车在2个月后逐渐开始,竞技性体育运动需要在康复完成后参加,通常是3~6个月之后。
如果损伤后一直不手术,撕裂逐渐加重,半月板和软骨磨烂,最后只能全切或次全切半月板了。没有了一侧半月板,膝关节一侧的间室使用寿命会大大缩短,因此要及时治疗。
参考文献
个人经历分享不构成诊疗建议,不能取代医生对特定患者的个体化判断,如有就诊需要请前往正规医院。
作者:一只合格猫
编辑:原野、黎小球
封面图:retrieveradvice.com
这里是果壳病人,专注讲述健康故事。
如果你有得病、看病的体验要分享,或者想讲讲自己经历的健康相关趣事,欢迎投稿至health@guokr.com
本文来自果壳病人(ID:health_guokr),未经授权不得转载,如有需要请联系health@guokr.com