晚期癌症患者基因检测无靶向药,但却获得了更好的治疗!

环宇达康

“愈”见未来病友之家
医患交流
病友交流
在线答疑

对于罕见肿瘤患者,具有前瞻性诊断的基因组谱分析是最好的选择,可以判断患者是否可以获益于靶向治疗。这种诊断方法可以揭示意想不到的但有效的靶向治疗方案。


此外,对于临床上没有有效治疗方案的癌症患者,全基因组测序可以为临床医生提供全面的基因图谱分析及权威的靶向药物指导和临床试验推荐,为癌症患者开启新的希望!


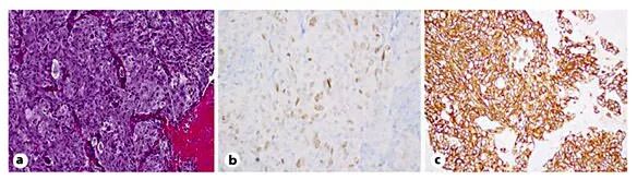
X女士说,当她55岁那年,最初因为剧烈咳嗽,对症治疗无法缓解而接受进一步检查,最终确定为左胸壁恶性肿瘤时,她简直不敢相信自己的耳朵。更为不幸的是,虽然肿瘤在胸壁上,却不是预后相对较好的肺癌,而是一种恶性程度很高,并且极为罕见的肉瘤(恶性梭状细胞瘤2级(图1,A和B),最大的地方已经超过6cm,有网球那么大了。

图1. 肿瘤活检组织病理学检查

一波三折的治疗

X女士最初用常规的阿霉素(Adriamycin®)和异环磷酰胺(Ifex®)进行治疗,但在进行两个疗程后病情恶化,后来改用吉西他滨(Gemzar®)和多西他赛(Taxotere®)进行治疗。两个周期后病情仍然进一步恶化了。


基因检测没有找到获批的治疗药物

为寻找最后的希望,她的主治医生将患者肿瘤组织送往美国顶尖的Foundation Medicine,采用新一代测序技术FoundationOne™平台进行全基因检测。同时对236个癌症相关基因(3769个外显子)和癌症中频繁重排的19个基因的47个内含子的全部序列进行测序。该技术可通过小至0.6mm³的常规福尔马林固定的石蜡包埋组织样品检测到基因组改变的所有类型(包括碱基替换、插入和缺失,拷贝数改变和重排)!

 

检测结果显示,患者PTEN的纯合子缺失,且产生了KIAA1549-BRAF融合基因。其它基因组改变包括:CDKN2A A68fs*51、SUFU E283fs*3和MAP3K1 N325fs*3移码插入/缺失。这么多突变,然而结论只有一个,目前没有FDA批准的针对患者突变靶点的靶向药。

 

一线生机


根据foundation根据患者病情推荐的前沿药物临床试验,患者最终幸运的入组了基因检测报告中推荐的一项临床试验:贝伐单抗、替西罗莫司联合索拉非尼治疗晚期癌症的I期临床试验(临床试验编号:NCT01187199)。


其中的药物机制相信大部分患者也看不懂,我们直接略过,感兴趣的大咖可以直接搜索文末的参考文献。


故事的结局是,治疗两个周期后,患者肿瘤的最大线性测量值减少25%(图2,A和B),病情稳定且各项指标降低。继发性胸部疼痛减轻,呼吸困难有所缓解,胸水也明显减少,病人对治疗的耐受程度较好,截至案例发表时,治疗已持续了7个月。

图2. 治疗前后影像学结果。A:治疗前胸部CT扫描:左侧胸壁肿瘤侵入肋骨,及左侧胸腔积液。B:治疗后胸部CT扫描:肿瘤体积和胸腔积液均显著减少。



小编寄语

很多肉瘤患者认为肉瘤的治疗药物很少,比如至今为止仍然作为基石的两款效果不佳的化疗药物Ifex(异环磷酰胺)和阿霉素(多柔比星),以及一只手就能数的过来的几个靶向药,Votrient(帕唑帕尼pazopanib),Yondelis(曲贝替定 trabectedin),Lartruvo(奥拉单抗 olaratumab),做基因检测的意义很小,一是因为晚期患者首选的还是化疗方案,化疗无效一般会盲试靶向药物,万一蒙对了呢,还能省一笔,二是因为获批的靶向药一共就三种,即便做了基因检测,也有可能像X女士一样,检测出了一堆靶点,却没有一个获批的靶向药,白白浪费钱。

那么肉瘤患者究竟要不要做基因检测?

答案是一定要做!

首先不管是在确诊初期还是在走投无路的时候,做一次像美国foundation和凯瑞思这样全球顶尖的癌症基因检测公司,可以全面准确的检测存在的突变靶点。

希望之光!91%的肉瘤患者通过基因检测找到治疗方案!

即便是没有获批的靶向药,也可以从临床实验中获益。和国内大部分检测机构出具报告的临床试验推荐完全不同(国内一些基因检测机构只是根据突变靶点去clinicaltrails.gov临床试验官网搜一些列上去,这个工作小编也能做,如果大家有基本的英语水平,也可以从这个网站上找到临床试验),这两家公司会针对你的每一个突变位点掘地三百尺,查阅文献,相似病历,为你找到最匹配的前沿药物临床试验,因为,全球热门的抗癌新药研发,都指定这些权威的检测公司进行检测,比如大名鼎鼎的治愈系神药拉罗替尼,因此,这两家公司对每款抗癌新药的研发进展,有效率,适合哪些患者都门清,这不是国内任何一家公司可以媲美的。很有可能你会像X女士一样,有机会参加全球最新的药物临床试验,实现奇迹般的逆转!




肉瘤基因测序,为什么要选择Foundation Medicine?


foundation medicine为什么这么牛?

提到Foundation基因检测,它的光环已经多到无法一一列举。

Foundation Medicine公司成立于2010年,拥有史上最豪华的专家团队和明星投资者。

其创始之一是埃里克·兰德尔(Eric Lander),他曾经是人类基因组计划(Human Genome Project)的领导成员,当之无愧的“走在基因研究领域最前端的人”。


2011年Google为其投资。


“对人类基因组的理解正在剧烈影响几乎所有的医学领域。Foundation Medicine正在利用基因组数据的力量来改善对癌症的治疗,这将是十分重要的一步。我很高兴能够成为它的支持者。”

 

这是2013年,比尔盖茨在Foundation Medicine结束B轮投资之后采访中说的话。


NCI(美国国家癌症中心)特指定与全球最顶尖的癌症基因测序公司Foundation Medicine合作,旨在协助NIC正在执行的癌症探月计划和癌症精准治疗研究计划。


2017年6月7日,Foundation与美国国家癌症研究院(NCI)达成协议,协助NCI-MATCH试验计划1100个临床实验基地进行基因检测,并宣布向美国NCI公开18000名癌症患者基因信息,这些信息来自FoundationCORE™ 数据库。这是迄今为止输送给NCI的最大的一次基因数据,是NCI现有数据库的两倍。


乔布斯患癌之后,也曾经使用过Foundation Medicine的基因检测技术,花费十万美元,但终究没有挽回生命。不过,乔布斯认为这样的检测很有意义。他在接受《麻省理工科技评论》采访时曾表示:“我要么是第一批以这种方式击败癌症的人,要么是最后一批死于癌症的人。”


2018年, FDA 批准了首个针对泛肿瘤的全面的伴随诊断检测FoundationOne CDx ,这个产品覆盖324个基因、两个可以预测免疫检查点抑制剂疗效的分子标记(MSI/TMB)、覆盖全部实体瘤(除肉瘤)、直接对应FDA批准的17个靶向治疗方案


foundation medicine与其他基因检测相比有哪些优势?


一,FDA批准的首个也是唯一一个泛癌种的伴随诊断!

对于多肿瘤靶标的综合突变分析产品,卓越地检测分析性能评估及前期大规模临床数据确认是必要的前提,数据库的构建和参考文献的组织管理,以及知识库的使用和升级应有明确关联性;测序数据分析处理及结果的综合分析能力也显得尤为重要。美国FDA授予Foundation Medicine该产品上市,充分说明美国FDA认可该产品检测性能的同时也认可了该机构对结果的综合分析能力。


二,拥有世界最高级别认证!

• CLIA 认证(Clinical Laboratory Improvement Amendments)

• CAP 认证(College of American Pathologists)

• MolDx技术评估 (MolDx Technical Assessment)

• 纽约州卫⽣署 (NY State Department of Health)

• 美国⻝品药物管理局 (FDA)


三,独有的数据库!

FoundationCore是目前世界上最大的癌症基因组数据库之一,拥有超过18万患者的数据记录;同时也与50家以上的生物制药企业合作,帮助加速新的靶向药物研发,科研成果汇总成340多篇科研论文。在全球肿瘤医生网查阅的大量文献中,一些新药物的临床试验涉及到的基因检测报告,均是由Foundation提供的,比如LOXO-101,甚至开发了专门针对该类药品的NTRK融合检测,想了解的患者可以致电全球肿瘤医生网医学部咨询。


四,分析认证和临床验证双保险,确保准确无误的检测结果!


我们都知道一个基因它存在很多个位点,每个基因突变形式四种,碱基替换,插入缺失,拷贝数变异,重排,小的公司为了节约成本或是受技术影响,只做热点检测,或者只检测碱基替换和插入缺失造成很高的漏检率,导致很多假阴性结果的出现,患者花了钱,却什么也没检测出来。


而foundation medicine经过了分析验证和临床验证双重验证,保证其检测结果不会多检或漏掉任何一个突变,出现假阴性假阳性,出具结果的准去和精确性经得起反复检测验证及其他实验室多次检测验证。并且,foundation的临床验证结果证实患者经过检测可获得生存获益(肿瘤缩⼩,⽆进展⽣存期,总⽣存期,⻛险⽐)。


五,全球权威癌症专家公认和推荐的基因检测项目!

由于foundation medicine对癌症临床治疗的指导意义,美国知名癌症中心如MD安德森癌症中心、纪念斯隆凯瑟琳癌症研究院、丹娜法伯癌症研究院、麻省总医院等全球知名癌症机构的专家都会推荐患者接受foundation的基因检测,并肯定foundation的检测结果!

 

为什么肉瘤患者要选择foundation medicine?


基于肉瘤组织学的复杂性,其基因检测比其他癌症更具挑战性,并且,肉瘤中融合突变的频率更高,而检测融合的最佳方法是进行下一代测序(NGS),最好采用基于混合捕获的方法平台。此外,研究人员发现,即使您使用非常好的基于DNA的NGS测试,您仍然可以错过其中一些融合。这是因为检测的内含子的长度受限,很难找到这些融合。最好的检测方法是寻找一种既包含DNA,又具有RNA的分析的检测,以便最大限度地提高检测出这些融合的可能性。


针对这些难点,foundation medicine专门开发了用于检测肉瘤的

FoundationOne Heme,包括但不限于:白血病,骨髓增生异常综合征,骨髓增生性肿瘤,淋巴瘤,多发性骨髓瘤,尤文肉瘤和平滑肌肉瘤等。



FoundationOne Heme经过验证,可检测400多种癌症相关基因中的四大类基因组改变。除了DNA测序,FoundationOne Heme还使用超过250个基因的RNA测序来捕获广泛的基因融合,血液系统恶性肿瘤和肉瘤的常见驱动因素。


结语


无论是靶向治疗的方案指导,还是免疫治疗的疗效预测,Foundation Medicine检测都拥有非常大的优势。对于正在飞速发展的肿瘤精准治疗而言又迈上了一个新的台阶。


基因检测的重要性不言而喻,精准的基因检测是精准治疗方案的前提。作为国内权威的肿瘤患者诊疗服务平台,全球肿瘤医生网在过去几年协助国内众多癌症患者接受美国foundation基因检测,如今,国内患者想要接受检测更加便捷,通过全球肿瘤医生网申请,2周即可拿到权威基因检测结果。详情可致电全球肿瘤医生网医学部(400-666-7998)。

参考资料:

Subbiah V, et al. Journal of Hematology & oncology 2014, 7:8


热文推荐
2019肿瘤电场疗法重磅数据更新汇总!
奥拉帕尼挑战胰腺癌!有这个突变,你也可能把癌王“吃没”!
五年生存率从22%提升至40%!肺癌手术就要找他做!
五年生存率翻倍!两种新型肺癌疫苗为四期患者带来生存希望!


    Added to Top Stories

    Sending