质子治疗究竟是不是“抗癌神器”,看完这篇文章你心里就有数了!

医学部Rossy 环宇达康

“愈”见未来病友之家
医患交流
病友交流
在线答疑

随着全球质子治疗患者数的逐渐增加,学术界对质子治疗技术优势的认识也在不断加深,临床试验促进了质子治疗在更多癌症类型中的应用。越来越多的人开始认识并关注这个放射治疗领域的新秀,不少患者将其视作“治癌神器”。那么,质子治疗真的有这么神奇吗?认真看完这篇文章,您的心里就有数了。

什么是质子?

英国物理学家欧内斯特·卢瑟福被公认为质子的发现人。1918年任卡文迪许实验室主任时,用α粒子轰击氮原子核,注意到在使用α粒子轰击氮气时他的闪光探测器纪录到氢核的迹象,质子带正电,可以经电场使之高速运动,达到极高的能量。

 

质子属于重子类,质量是938百万电子伏特/c²(MeV/c²),大约是电子质量的1836.5倍,但是质子粒子极其微小,一万亿个质子排成直线只有一毫米长。

什么是质子治疗?

设想一台重达196吨的杀癌设备,能够以亚毫米的精度瞄准患者的肿瘤,同时保护附近的健康组织并最大限度地减少副作用,这就是质子治疗。


  • 质子从离子源开始。在几分之一秒内,氢原子被分离成带负电的电子和带正电的质子。

  • 质子通过真空管注入直线加速器,在几微秒内,质子的能量达到700万电子伏特。

  • 当质子束进入同步加速器时停留在真空管中,加速器将其能量增加到总计7000万到2.5亿电子伏特,足以达到患者体内的任何深度。

  • 在离开同步加速器之后,质子移动通过由一系列磁体组成的光束传输系统,将质子束成形,聚焦并引导至适当的治疗室。

  • 为确保每位患者安全有效地接受规定的治疗,该设施由计算机和安全系统网络控制。机架可以旋转360度,允许光束以任何角度传送。

  • 当质子通过输出口时,定制装置(孔径)塑造质子束,另一个定制模型将质子塑造成肿瘤形状的三维模型,将它们传递到肿瘤的部位。

  • 在最大能量下,质子束以每秒125,000英里的速度传播,相当于光速的三分之二。

质子治疗与其他放疗相比最显著的优势在哪?

多年来,标准放射疗法已经发展和改进,目前临床中常用的是光子放疗,比如旋转调强,静态调强,射波刀,TOMO刀,在控制许多癌症方面效果显著。然而,由于X射线束由初级光子和二次电子组成,射线是以直线方式穿过身体,在入射初能量最大,过程中不断衰减,也就是说从皮肤表层下一定深处到肿瘤靶区前方的正常组织都会受到X线照射,并且正常组织接受的放射剂量会高于肿瘤靶区剂量,同时位于肿瘤周边和射线输出路径的组织也不可避免地受到X线照射。


质子治疗的第一大优势就在于,医生可以控制质子释放大部分抗癌能量的位置。当质子束进入身体后剂量释放缓慢上升,在射程末端释放最高能量,形成一个剂量高峰即布拉格峰(Bragg Peak),可精确瞄准肿瘤靶区,峰值过后剂量则急速下降至趋于零。这意味着质子治疗能让放射剂量集中在肿瘤处,肿瘤前方正常组织所受到的剂量较小,肿瘤后方组织基本上不会受到照射。



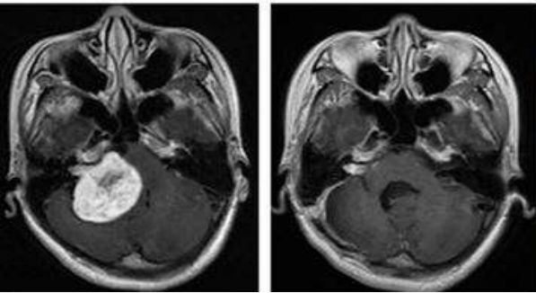
第二大优势是质子的辐射可以最大限度降低对正常组织的伤害,对目标肿瘤细胞造成最大的损害。以儿童髓母细胞瘤为例,我们可以看到普通放疗产生的大部分副作用,质子都完美的规避了。



第三大优势是质子治疗可以降低二次肿瘤的发病率。以头颈肿瘤为例,常规放疗比质子治疗的辐射剂量高出25Gy,这意味什么呢?25Gy=你做了12500头颈CT,增加96%罹患二次肿瘤的风险!


质子治疗的效果如何?



国际上公认质子治疗是对实体肿瘤最精密和最准确的放疗方法之一,并在临床肿瘤治疗应用中显示出独特的优越性。


A、大量的临床数据显示,脊索瘤和软骨肉瘤通过质子治疗可以取得良好的局部控制率,并有效避免手术后不断复发的难题。


B、对于眼癌的患者,质子治疗可以在避免眼球摘除手术的前提下达到相同的治疗效果。美国麻省总医院治疗儿童视网膜母细胞瘤的质子治疗计划,很清楚地看到质子治疗病灶周边非常干净,没有多余的射线残留,而传统放疗波及范围就很大了,对于眼睛这一重要器官,治疗时尤其要注意并且要尽最大努力进行保护,质子治疗有绝对的优势。而放疗相关的或原位出现的第二恶性肿瘤的10年发病率有显著差异(质子vs光子:0%vs14%)



C、鼻咽癌复发因为传统放疗的剂量已经到了极限,使用质子放疗可以取得良好效果。


D、原发性的体积较大肝癌或结直肠癌多发肝转移,大部分失去了手术的治疗机会,肝部对传统放疗也不能耐受,而选择质子放疗可以有效杀灭肝部病灶,有效延长生存期。


E、中央型肺癌失去手术机会的情况下,选择质子放疗也能取得良好治疗效果,其他类型肺癌在少于三个病灶也可以用质子治疗。


F、前列腺癌尤为适合质子治疗,一是前列腺癌的质子重离子治疗临床数据显示效果很好;二是前列腺癌老年人居多,已经无法耐受手术及传统放疗的副作用。


G、儿童实体肿瘤,主要是颅内肿瘤及肉瘤类,如髓母细胞瘤、脊索瘤,因为考虑到儿童的长期生存,质子和重离子减少额外伤害的特性会大幅减少二次原发癌的发生风险等。

H、此前因为无法固定的弊端,乳腺癌是无法选择质子治疗的,但由于技术改进,现在已经可以使用质子治疗乳腺癌,并且取得了良好的效果。


I:卵巢癌、胰腺癌等都可以选择质子治疗。


质子治疗究竟是不是“抗癌神器”?

最后我们回到文章最初的问题,质子治疗的优势这么多,是不是所有可以做放疗的患者都应该选择质子治疗呢?质子治疗究竟是不是“抗癌神器”呢?

答案当然是否定的。

首先,作为放疗设备的一种,质子治疗有着严格的适应症,有些患者并不适合:

A、同一部位肿瘤已接受过2次及以上放射治疗的患者;因为剂量已到极限,质子也无法再进行照射。

B、晚期肿瘤患者如多发转移、肿瘤终末期患者等,病灶较多的患者不适合质子治疗,因为质子只是局部治疗手段。

C、胃及肠道肿瘤:因为不规则蠕动,无法使用质子放疗。

D、血液系统肿瘤(白血病、多发性骨髓瘤等)

E、已进行放射性粒子植入治疗的患者

F、无法较长时间保持俯卧或仰卧等体位的患者

而患有癌症的儿童从质子束治疗中获益最多。由于器官仍在发育,儿童可能受到传统放射治疗的最大长期伤害。儿童X射线治疗的延迟效应可能包括生长问题,听力和视力丧失,放射诱发的癌症和心脏病。


其次,质子治疗的费用较高,目前,国际上主要是德国、日本和美国的质子和重离子技术比较发达,国内患者也大部分选择在这三个国家进行治疗。


对于收费标准,各个国家不一样。在美国按次收费,一般治疗完成需要12-15万美元,约折合人民币90万元左右,德国需要5-6万欧元,约人民币40万左右。日本治疗费用与国内相近,约人民币28万左右。总体来说,中国、日本最低,德国价位适中,美国是德国的2-3倍左右。


并且在国内需要自费,仅有极少数地区可以医保报销,对于大部分罹患癌症的普通家庭来说可望而不可及。患者在选择放疗技术的同时也需要考虑自身的经济情况。



那么,如果一个患者既适合做光子放疗也适合做质子,是不是选择更贵的质子效果更好呢?

质子治疗,不是神器,也不是神话,作为一种放疗技术,质子治疗也有自己的短板,对于某些病情,光子治疗的效果可能更好,比如:

治疗乳腺癌,质子治疗对皮肤的损伤高于光子放疗:


周围型肺癌:质子相对射波刀没有优势

中央型肺癌:质子并不优于调强放疗

再比如听神经瘤、三叉神经痛等,射波刀的优势更加明显:

所以,昂贵不一定是好的,便宜不一定是坏的;适合自己才是最好的。对于质子治疗最简练的总结是安全、副反应小、疗效肯定。但是也不能盲目地认为质子治疗是癌症的克星,癌症治疗仍需要多学科综合治疗,选择权威的专家、医院,制定最适合自己的治疗方案才能达到好的治疗效果。



患者交流群

我们一起”愈“见未来


热文推荐
2019肿瘤电场疗法重磅数据更新汇总!
脑瘤全球最新研究进展盘点及临床试验推荐!
李敖患癌脑瘤不幸去世,这些新疗法他知道吗?
五年生存率翻倍!两种新型肺癌疫苗为四期患者带来生存希望!



    Read more
    Added to Top Stories

    Sending