总觉得TA们的脸哪里不一样了,今天终于找到了答案!

纽约消费指南


各位小伙伴大家好啊,

小编今天又来科(ba)普(gua)啦!



有木有感觉很多明星,

看着他们以前的照片,

虽说没有整容痕迹

但总感觉哪里不一样

就是好看了很多


比如


林心如


Anglelababy


宋慧乔


这样看你就会发现

TA们都“动”了同一个地方,

虽是一个小细节,

整体上却变了超多!

白百何


胡歌


估计很多小伙伴已经猜到了!

就是“牙齿矫正”啊,

虽说是小细节,

调整之后容貌居然会有这样大的改变!



注重牙齿的欧美明星当然也不例外

一口好牙让微笑都自信了起来


艾玛沃森


麦莉塞勒斯


近年来亚洲人对牙齿的重视程度也逐渐提高,

整牙的年纪在慢慢变低

比如说最近整牙很成功的95后星女郎


林允

整完牙颜值提升了一个度!



还有99年的小凯迪迪

也正在矫正牙齿的过程中

(牙齿上可以看到隐适美的贴片)



各位小伙伴是不是心动了呢?

如果对自己的牙齿不满意,

赶快把整牙提上日程吧!

自信的微笑,

你值得拥有!



在我大扭腰就有一家牙科诊所,

超级值得信赖~


(后附粉丝的真实体验文哦 效果肉眼可见的好) 

嘉和牙科   GP Dental


嘉和牙科(GP Dental)拥有最先进的3D、CBCT X 光,全自动立体影像,经验丰富的牙科博士陈赐董和赵晶晶牙医博士是美国牙医协会认可的牙科专科医生,为每位病人提供优质的客制化治疗方案及舒适的就医环境。

 

营业时间: 周一到周四、周六及周日10am - 6pm

地址:8616 Whitney Ave, Elmhurst , NY 11373

联系电話:718-651-6581

商家二维码:


◆ ◆ ◆  ◆ 


戳👇🏻👇🏻下方小程序

还可以领取Dealmoon独家折扣券哦

·  正  ·  文  ·  来  ·  啦  ·




体验项目 拔智齿+补牙+洗牙  体验员: Jean


已经被牙医提醒要拔智齿的我,因为极度怕疼,一直在犹豫要不要拔。左下方的智齿完全不疼,也没有影响我的正常生活,所以并没有把拔智齿提上日程。当牙医告诉我那颗智齿已经被蛀,且会影响挨着的大牙时,我知道该来的总会要来的。

 

最近办公室的同事刚刚拔了智齿,她说自己的牙医拔智齿完全不疼,而且在十分钟内就解决了。听起来很神奇,怎么可能不疼呢!拔牙!打麻药!跟我说不疼!我不信~~~

 

同事带我来到位于Elmhurst的嘉和牙科。坐地铁R线,在Elmhurst Ave站下车,不行几分钟就到了,非常好找。一进门前台小姐姐就热情的招呼我填表查看保险,整个过程非常快。

 


没多久一位小哥哥就喊我的名字进行X光拍摄。这里的仪器好神奇,嘴里轻轻咬着一个透明小片,瞬间就完成的全口X光拍照。

 

 

除了全口牙,还需要从四个不同的角度拍摄牙齿X光,拍照都是瞬间完成的。非常快,而我的牙齿照片也就瞬间出现在屏幕上了。

 

 

不多时间,帮我拍X光的小哥哥就叫我去诊间看医生了。陈医生非常nice,看了我的片子,并检查了牙齿,说我需要先补左上方一颗牙,然后做个洗牙,最后拔左下方的智齿。每一个步骤时间都不会很长。而且我的智齿是直立的,非常好处理,估计十分钟左右就搞定了。虽然非常的紧张,但是听起来好像不那么可怕了~

 

 

 

啫喱麻药涂上数分钟后,陈医生说要开始打麻药了~我!害!怕!

 

 

BUT出现了,我竟然没有感受到扎针的疼痛。那种感觉是你知道有东西扎进来了,但是不是扎针的疼痛。都在能接受的范围内。麻药打进去的当下有一些些酸痛的感受。但是没有到秒飙泪的程度~顿时不那么紧张了~

 

在等待麻药发挥作用的过程中,陈医生先帮我补牙。我带着护目镜,全程闭着眼,并不知道嘴里戴上了一个像小栓子一样的装置。医生把需要补的那颗牙圈起来进行修补。每添加或涂抹一种药剂的时候,都会用蓝光瞬间固化。

 

 

补完牙齿之后,开始洗牙。小哥哥洗牙非常仔细,手法娴熟且温和,全程没有感受到拉扯感或疼痛不适。

 

 

终于进入最后环节了~拔智齿的时刻终于来临了


 

陈医生再次补了一点局部麻药,拔牙正式开始。


陈医师在每个动作之前都会告诉我将要体会到的感受~几下明显的压力感过后,医生说已经拔掉了!那颗蛀了的智齿就已经出现在托盘上了~ 接下来就是快速的缝针,我能明显的感受到有线打结的动作,锋线时间非常短暂,咬住药棉整个过程就结束了!

 

 

助理小哥哥给我详细介绍了一些注意事项,有一张清单可以拿回家参考。离开前送了一小袋药棉嘱咐我5-10分钟换一次,不要吐口水,不要吃烫的辣的刺激性食物等。还交代了如何清洁伤口。附赠了一小包止痛片以及软毛牙刷小套装。真的是非常的贴心了!

一拔智齿成忠粉,我要疯狂的为陈医生打电话!

 


 

和我一样怕疼不敢面对拔智齿的小伙伴们,赶紧预约陈医生~

今天在嘉和牙科的体验颠覆了我一直以来怕看齿科的心理障碍,从前台接待到拔智齿的所有体验都是是舒心愉悦的,我能感受到工作人员关心病患的态度和体贴服务。等智齿伤口恢复以后,我还要去找陈医生做冷光美白~健康洁白的牙齿让我在职场更加自信~

 

体验项目Invisalign咨询+洗牙

体验员:Vicky


已经带过牙套的我,为了我的一口牙可以说是操碎了心。带牙套的时候是高中时期 那个时候年纪太小根本没有弄明白带牙套的各个注意事项有多么重要,一心只想着快点拆下来就好了!这就是完全的错误示范,所以才落得现在牙齿完全没有被整好的下场。所以今天就去嘉和牙科咨询有关Invisilign的讯息。


3D扫描


 

 

医生研究了我的x光以后给了我个镜子,问我,对于自己的牙齿有什么不满意的地方,想要改的有哪些。

 

 

经过了一轮的沟通,医生听了我的想法,就给了我所有他专业的意见。对于我的牙,他的看法是如何,他觉得带完牙套以后效果会是怎么样。因为我的上颚骨比较突出,所以才会呈现微笑是露出大部分牙龈的状况。接着他马上就给我他之前一个病人,跟我的case非常像的,给我看了她的before和after,效果超级好的!

 

 

陈医生还很耐心的讲解了invisilign的全部注意事项,全过程让我觉得完全零压力,而且非常开心,因为他是一个非常非常细心而且可爱的医生,让看牙医的恐惧感完全消失了呢!

洗牙!

 

3

 

整个过程我可以说,我非常享受吗?零疼痛感!零疼痛感! 零疼痛感! 因为很重要所有要说三次。就连最常见的把嘴巴活生生的扯开半米宽都没有。Dental Hygienist手法十分熟练而且温和,一点都没有被拉扯,或者不舒服的感觉!给他100个赞!过程中,还多次问我是否会觉得有任何不适吗?答案是完全没有!过了大概25分钟,整个洗牙过程就愉快的结束了。开心开心!觉得自己的洗完了干净超级无敌多的!零死角的无牙石!!!

 

 

洗完牙,hygienist不仅仅教我牙线的正确用法,还送了我牙刷,牙膏和牙线,真的太贴心了。 今天的牙医visit真的让我对于看牙医这件事情完全改观了!这里,从一进门到要离开都让你是非的开心。每一个人都超级耐心和细心!大家还在等什么呢?一口健康美牙,从嘉和牙科开始!



嘉和牙科(GP Dental)


 

嘉和牙科(GP Dental)拥有最先进的3D、CBCT X 光,全自动立体影像,经验丰富的牙科博士陈赐董和赵晶晶牙医博士是美国牙医协会认可的牙科专科医生,为每位病人提供优质的客制化治疗方案及舒适的就医环境。

诊所位于位于埃姆赫斯特(Elmhurst),乘坐EMFR地铁到Elmhurst Ave站步行十分钟内即可到达。门口街道停车方便。交通十分便利。


营业时间: 周一到周四、周六及周日10am - 6pm

地址:8616 Whitney Ave, Elmhurst , NY 11373

联系电話:718-651-6581


家二维码:



 

接受保险:

Medicaid:Health First,Fidelis,Affinity,Emblem(HIP)

PPO:Metlife,Aetna,Cigna,Guardian,Principal

其他请致电前台咨询自己的保险详情


主治:

成人及儿童常见牙科疾病如急性牙痛、牙周病症、蛀牙补牙、拔牙、装假牙、根管治疗、隐形矫正、牙齿美容、人工植牙等全面牙科服务。

 


 

明星牙医

 

 

陈赐董 牙医博士

陈医生毕业于罗切斯特理工学院应用技术专业,随后进入纽约大学牙医学院深造并获得纽约大学牙医博士学位。从事牙医八年来,有着成功做过上千例种植牙手术以及上千例隐形牙套的案例。让无数的病人重拾自信。


 

 

赵晶晶 牙医博士

赵医生毕业于纽约大学经济与化学专业,随后进入纽约大学牙医学院深造并获得纽约大学牙医博士学位,主攻儿童专科。

 

贴心的付款方式:

接受大部分医疗保险,Fidelis(菲达利斯)专员在诊所直接服务。

隐适美佩戴者(不查信用)可分期月付。

植牙三个阶段每次付款$500。


新顾客免费体验:提供免费的全口X光片,咬合X光片以及牙根尖X光片。提供免费的全口检查以及免费的治疗计划。

 

3DX光一般是用到种植牙的病人的身上,以三维图片的形式展现出病人骨头的薄厚程度。从而提供准确的数据。

牙科全景X光会为整个口腔创建单独的图像:上颌或下颌、颞下颌关节、整副牙齿、鼻区和鼻窦。这种照片平面化地反映颌的曲线结构,可以更方便地分析每个部位。

 

嘉和牙科Invisalign病例分享:

陈医生介绍Invisalign不是每个人都适合做,需要到诊所做全面的检查才能确定是否适合,以及具体矫正方案。每个病人的骨骼和牙齿状况不同,佩戴时间也不能一概而论。

牙齿矫正主要看医生的审美及矫正技术。每个人的审美不同,同一个病例在不同的医生治疗下,可能会产生不同的效果。陈医生从业八年有上千例的经验,仅在过去三年就有近三百例隐适美病患。丰富的经验值得信赖。

 


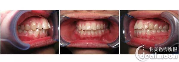
病患一:地包天,治疗时间18个月


多数牙地包天患者的上下前牙不能对咬,不能行使切咬功能。个别牙地包天时,前牙咬合交叉错乱,也会妨碍正常功能活动,久之可造成牙齿的不正常磨耗。地包天患者也易患颞颌关节疾病。而且影响美观。

 

Before  & After

 

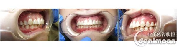
病患二:龅牙,治疗时间9个月


龅牙由于不易自洁而好发龋病及牙龈牙周炎症,同时常因牙齿错位而造成牙周损害。通常病患会觉得嘴唇难以完全闭合,影响美观。

 

Before:

After:


病患三:龅牙,牙齿错位,治疗时间8个月


龅牙和牙齿错位严重影响咬合。需要调整牙齿位置及角度达到矫正的目的。

 

Before

After


病患四:治疗时间19个月


改为病患有部分牙齿外凸,有部分内凹,属于比较复杂的牙齿矫正案例。经过19个月的正畸,达到了整齐的齿列。

 

Before

After

病患五:治疗时间10个月


Before:

After:

病患六:治疗时间 23月


改为病患属于齿缝较大,且上排牙齿呈向外突出的形态。填补牙缝需要挪动每一颗牙齿,因此佩戴时间也比较长。

Before:

5

After:

先进的设备,丰富的经验,实惠的价格,关切的服务。嘉和牙科能满足全家人的牙科需求。更是留学生们(没有牙科保险)的最佳选择。


本文内容由北美省钱快报小编整理,版权属于原作者及北美省钱快报,商业机构及媒体平台未经许可不得转载,否则将进行追究。本活动最终解释权归北美省钱快报与合作商家共同所有,更多信息详情见原贴(点“阅读原文”查看),具体细节以商家现场告知为准。

推荐阅读

云南美食的绝对“C位”!纽约最有仪式感的过桥米线就来这吃,快安排上!

Holiday Season 最想做的这件事,终于在大扭腰Get啦!快在年底送自己一份礼物身在布鲁克林,却仿佛置身东京银座是一种什么感觉?

3000+分店!当之无愧的国民饰品品牌纽约也能买!送礼收藏首选!

纽约必吃甜品!18大道的这家隐藏美食一定会让你惊艳!实惠大碗,颜值超高!

零差评!最正宗的兰州牛肉面纽约只此一家!哥大店还有独家菜品哦!

大扭腰的冬天真的冷的可怕!只有这件事可以让我踏出家门.......



    Read more

    发送中