来美国后你花钱花的最值的是什么?

Aria阿瑞阿 纽约消费指南



开胃小故事

上周末偶然碰见一个牙友(以牙会友),我趴在桌上小憩,她已经走过去了又走回来,盯着我的脸看了好几秒,然后说,你又更好看了啊!作为一个害羞⁄(⁄ ⁄•⁄ω⁄•⁄ ⁄)⁄的小女孩,我刚垂下眼睑准备说没有啦没有啦,她就加了一句,你的脸上还做了啥疗程啊?要做多久多少次啊?我脸上娇羞的表情立马僵硬了。。。姐姐,我真的只矫正了牙齿!


第二天去朋友家撸猫吃火锅,又碰见了另一个牙友(天下何人不识君),她感叹我的脸真的变化蛮大的,包括她还有她另一个男生牙友,再见面都感觉大家脸都变精致了!

于是我给在场的另外两个朋友看了我的前后对比照,该牙友也把手机拿过去看,发出感叹:虽然就眼睁睁的看着我真人的变化,但是看照片还是会觉得很震撼!


其中一个女生说她大学的时候拔了四颗牙做的牙齿矫正,但是做的钢丝,痛苦又难看,感叹自己没有赶上好时候。但是我们四个人当中三个人都做了牙齿矫正,牙友们都一致同意,矫正牙齿真的是人生当中非常值得的一项投资!


如果时光倒流,要我重新选择一次,我还是会毫不犹豫的选择对我的牙医说三个字,拿去花!如果要加上一个时间期限,我希望是,我有生之年只要还能矫正牙齿,都会选择开始!


毕竟谁和整齐的牙齿、优美的脸部线条有仇啊,对吗?


别怕晚,哪天开始都比没开始好

正事。我整牙满打满算也快两年了

从刚开始的欣喜变化,到后来我已经习惯

觉得自己本来就长这样,没毛病

但是去年底换了个新手机,iCloud同步了以前的旧照片

一打开可把我自己都给吓坏了!


18年年底回国了差不多一个月

大学毕业后再也没见过的几个高中同学一聚

他们一边打趣我瘦了也有下巴了,一边说国内工作实在苦

大家都加班肥、幸福肥了,根本没空健身保持身材

三年没见的表姐们说过来让我摸摸你的脸为什么这么小

前两天出去玩,发现拍出来的照片明明没瘦脸

却会被怀疑严重p图


并不是刻意引导整牙瘦脸这件事

每个人的情况都不同

改正咬合会改变你咬东西的习惯,长期是对肌肉有影响的,但是短期不要抱多大期望哦

我是非常明显的嘴凸(侧脸)

大学时候好朋友开玩笑叫我张擦擦

因为少年黄飞鸿里的那个牙擦苏


研究生时候的时候大家都叫我兔子

其实我也知道是因为我颧骨高,下巴尖却短

整张脸鼓鼓的让我看起来很像啮齿类动物


兔子很可爱对吧,我超喜欢兔子的

可是你们懂的吧,他们都需要不断磨牙

我睡觉也渐渐开始磨牙

平时放松的神态是闭不上嘴的

睡觉也因为咬合问题用嘴呼吸导致留口水(捂脸)



我对自己的脸大概是看 习惯了

并没有办法一下觉察自己的缺点。

翻了翻自己以前的照片,发现只要我不笑

都有一种在发呆的感觉


现在我看懂了,因为我自然状态下嘴是张开的

而且我上牙突出严重,导致我侧脸变形

正脸看没有什么不对的,侧脸看基本上没下巴


当时看这张照片的时候觉得还挺好看的

现在一看,嘴凸还闭不上嘴


这个世界是现实的。你拥有你先天带来的,你争取你后天可以得到的。没有什么不合理,存在即合理。

以前总怕有人觉得我身上哪点不真实

后来发现自己是很真实

真实得锋芒毕露,优点缺点都摊开

恨不得口袋都翻出来给别人看。


后来发现,这叫傻。

我出生那一刻带来的,和每一天每一天形成的

还有奋不顾身争取的,都是我的


还记得我大学第一次戴隐形眼镜

第一次画眼线,第一次打bb霜,第一次化妆

都是带着胆怯的心情

怕被看出来,被看出来了,也确实有人议论纷纷


想起来别人跟我说

以前戴牙套恨不得说话都捂起嘴

现在姑娘们戴上牙套,都发朋友圈请大家叫自己“牙套妹”


我以前觉得我小心翼翼为别人活

现在走在路上觉得自己都带风

整的牙有什么不好的,美白的牙齿有什么不对的

我擦的高光眼影blingbling还都是我在发光呢!

回过头来想想,

太在乎别人的眼光,活得才不叫自己。


说实话,人人都想变美

却不想经历变美的过程

我一直都相信付出才会有得到啊

所有的不请自来反而让我觉得心慌


我这个人从来心眼比较大,容易相信人

所以我也没有犹豫过,这样一个简单的塑料牙套

怎么样能够在短短一年改变我的牙齿

甚至我的脸型


很多人有疑虑,其实我至今也没有完全理解它的原理

看着我的治疗方案,每一步的改变,到最后

我看着觉得惊奇


但是当我的牙齿真的每一个星期都在准确按着那个视频移动的时候

我觉得,呀,这个塑料小东西还真是神奇

没白信任你


关于痛不痛这件事

我相信很多做过金属牙套的人都有一肚子的苦水想吐

那隐形牙套呢?我不能说完全没感觉啊

那真是no pain no gain了

但是说痛呢,还真不算痛

顶多有些痒,有些酸,牙齿有点软

这都是牙齿在移动的症状


还有就是,咬合也在改变的过程中

有一阵子我牙尖对牙尖,每天都想咬人

有一阵子我的下颌很酸,每天都想吸着嘴做人


这些小小的麻烦都比不过改变对我带来的吸引力

我自己,还有很多人都见证了我明显的变化


虽然我这个人心大,买完东西在家落灰也不后悔

但是,整牙这笔钱花的是真的值!


下面用图说话,捧好你的外卖!

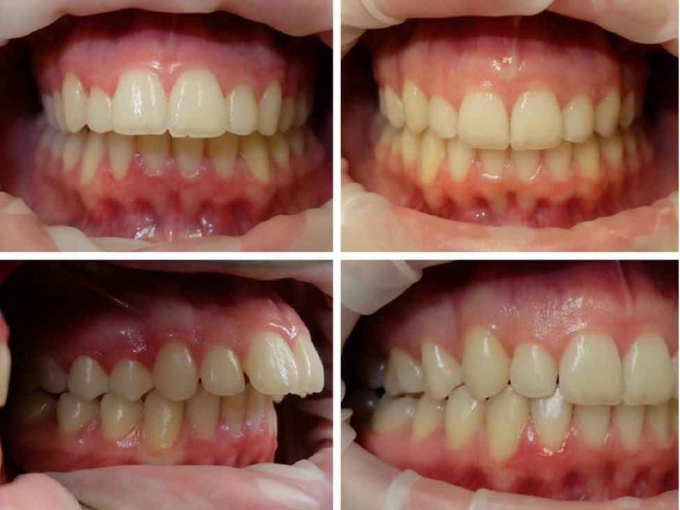
正面(阴影是整之前,白色是整之后)

侧面(阴影是整之前,白色是整之后)



1

2017/02 开始前

2

2017/06 三个月


左脸

4

现在

1

2017/02 开始前

2

2017/08 五个月

3

现在

右脸

正脸

张嘴笑

细心的观众们看出来我的变化了吗???


以前下庭太短,我加了辅助线让大家可以看得更清楚,我的人中和下巴都长了好多哦~


很多patient事见证着我的脸的变化过程,隔两三个月不见我都是有大变化的~还有很多第一次来的人说我真的跟照片上长得一样样儿的,不带p图,童叟无欺~


偶尔发朋友圈,大家在底下评论说我瘦好多,其实根本不是啊,体重在这期间过了百,只是没有了脸上的堆堆肉,看起来整个人立体了不止一点半点。


有点的时候还有人问我,这条朋友圈的重点在哪里?是说瘦了吗?哇大哥,真的是没有下巴短嘴凸的痛处的人是体会不到这个巨变的!


当然大部分的人都是说,整牙真的能这样?黄医生真的是我的再生父母啊!让我举一杆大旗子感谢他的再造之恩~


啊啊啊啊啊,放了这么丑的图

虽然有点羞耻

但是,整完我还是我啊

好看我开心啊

时间不长,收获却是一生的

这样的投资真的。。很值哈哈哈哈


还是那一句,有谁和整齐的牙齿和优美的脸部曲线过不去呢,对吧?

答疑解惑时间


因为太多人有相似的问题啦,所以我们特地录了个视频和大家解释一下咨询牙齿矫正的整个过程(在文末!)

1

误区一:整牙一定要拔牙?

No,看牙床的空间决定,有的时候靠牙齿角度的微调,和适当的分牙就能腾出足够的空间,让拥挤的牙齿排列整齐,或者是让更往前的牙齿往后移。


普通一颗牙的大小5-6毫米一颗,而一般拔牙是对称的拔,所以一旦拔牙也就是10-12毫米的空间,这个是一个挺大的空间,如果不是我这种情况(上下排差距很大)是不需要拔牙的,不然就要花很长时间去把后面的大牙往前推,然而后面的大牙移动是很慢的,所以时间会大大延长。


但是如果是严重的过咬合(龅牙)和地包天,还是拔牙变化明显哦!

智齿对整牙有什么影响

2

大家普遍认为拔智齿会瘦脸,黄医生说这个得看你原本的骨骼。智齿拔与不拔对矫正牙齿都没有很大的影响,很多人认为智齿长出来把前面的牙齿挤歪了,这是不合理的,智齿的根一般都较短,而智齿前有三颗槽牙,每颗都有三个牙根,深深的扎在你的牙床里,如果智齿把槽牙挤歪了,那得检查一下你的槽牙是否还稳固。


智齿没有咬合上的用途,清洁也比较困难,所以一般建议拔掉。但是没有影响到其他牙齿,整牙前整牙后拔没有特别大的影响,再者说,拔智齿挺疼的,大家慎重考虑。


3

什么样的年龄适合牙齿矫正

Invisalign刚开始设计的时候就是给骨骼发育成熟的成年人设计的,只要不是50-60岁牙骨开始萎缩,或者牙根太短,都是没有问题的哦!黄医生和我说他年纪最大的一个Invisalign patient是52岁~


当然,年纪太小也不行,至少等骨骼定型了,才能开始矫正!

整牙至少要两三年?

4

看个人情况了呢,黄医生说他做过最久的case是两年,一般的情况7-8个月就能调整好,久一点的一年,一年半,两年,都有可能。但并不是每个人都需要两三年。我也很吃惊,直到我亲眼看到了自己的效果。


Invisalign的材料一直在改进,之前是建议2周换一次,现在他们建议1周换一次,但是黄医生还是建议我带到10-14天,毕竟牙齿移动太快也不好,矫正牙齿除了牙齿的移动,骨骼也是一个重建的过程哦!要给时间让牙齿慢慢稳定下来~


答疑解惑时间

痛吗?

我基本没有,要说不舒适,可能是移动的比较大的那几颗牙齿会酸软,硬的苹果没办法整个啃,但是切成块还是正常吃的。刚换上一幅新的牙套的时候也会有紧的感觉,但是可以忍受。


再来就是矫正咬合的期间,会有觉得肌肉酸,因为咬合开始变化,包括肌肉也在慢慢的调整,但这些都是一些几乎可以忽略的感觉。


能吃东西吗?

吃东西当然可以随时随地吃东西,Invisalign牙套可以随时摘卸,和传统钢丝一带就是两三年相比,可是方便得多。


喝水也不需要摘,吃完东西漱口就可以继续戴上牙套,有条件的刷刷牙用用牙线自然是更好的!只要保证每天戴满16-20小时就没问题,今天的效果份额就妥妥的。


如何清洁?

清洁必须重要,难以想象你戴着一个东西两周不洗吧,刷牙的时候用牙刷刷一刷,漱口的时候用清水涮一涮,就好多啦!超级容易的!amazon上也有卖专用的清洁剂,叫retainer brite~


戴上牙套就更要注意自己的口腔卫生啦,勤用牙线,或是水牙线,因为有些食物残渣刷牙没刷掉,带着牙套闷着那当然容易滋生细菌,导致蛀牙。所以大家一定要注意好好刷牙!好好用牙线!


多久复诊?

大概每4-6周我会去例行让黄医生检查检查我的牙齿,看走动的是不是和预期效果相同,只要不是我偷懒每天不好好带,不要着急忙慌的换下一个,都没有什么太大的问题,牙齿走得乖乖的。


每10-14天换一个牙套,摘牙套的时候我会比较注意方法,从牙齿的背面单侧扣下来,避开有attachment的地方,这样既不会扯掉attachment,又不会让我牙齿疼,是不是很机智~


我大概是在第10,11个的时候感觉到了明显变化,

每个人情况不同,可以自己玩弄玩弄自己的小方案,我就自己录了个小视频,没事儿就掏出来看一看比对比对,发现真的是很神奇,说我的牙齿第几幅是什么样子,就一定是什么样子,只能感叹高科技啊,真是个好东西!


为什么我戴完了一个疗程还需要调整?

已经开始矫正的小伙伴们都知道,矫正开始前医生都会根据你牙齿的现状出一个定制方案,会有一个预计的牙套幅数和矫正结束的牙齿位置。


有的小伙伴很困惑,为什么我戴完了所有牙套,医生却说我还需要再加几幅?


这就有几种可能性啦:

1、中途因为牙套时间戴的不够,或者是跳过其中一幅或几幅(真的有人干过这件事),导致牙齿没有到位,需要继续调整

2、因为方案预测和模拟的牙齿移动由于个体差异(新陈代谢、骨骼生成速率不同),有时候某些牙齿并没有完全到位

和传统钢丝牙套由肉眼的观察、调整不同,隐适美牙套根据3D扫描来判断牙齿的走位,非常精确的哦!即使牙齿没有移动到位,也是可以及时的按照现在的扫描重新定制牙套的,不用担心!

3、大牙由于有三个牙根,移动预测只能保守达到90-95%的准确率,对于大牙咬合的问题,以及牙根的上下移动,都是需要后续调整来达到理想位置的!


只要配合医生的方案和意见,都是可以调整好的,大家要好好戴牙套,耐心的等待变化哟~

很多人说Invisalign只能矫正不严重个例,我也同意这句话,但是大家对于“严重”的定义可能完全不一样。Invisalign 隐适美已被用于治疗多种牙科病例,从轻度覆合到重度牙列拥挤都能接受隐适美治疗。


还有人说,隐适美的力度不够大,不适用于拔牙的方案,我自己就是最好的例子啦,拔了两颗牙整的好好的哦~


还有一种说法就是,隐适美真的能整到位吗



下面是Aria小课堂:


Invisalign是目前市面上最专业效果最好速度最快的隐形牙套,治疗过超过6百万的案例,拥有超过900项注册专利,即使市面上层出不穷类似的品牌和技术,Invisalign始终保持业界领先,一直被模仿从未被超越的地位。


隐适美使用的是数字正畸治疗系统(digital orthodontics treatment system),能够准确的预测牙齿的渐进式移动,采用安全的Smart Track材料制成,近乎隐形,摘戴方便,10-14天可以完成一幅牙套的位移,比传统牙套更加有效率的完成牙齿矫正。

我的牙齿隐适美能矫正吗?请对号入座!

1

牙齿过密

牙齿过于拥挤容易导致咬唇、咬颊或咬舌头现象,还容易塞牙、口臭,口齿不清。


因为牙齿过密拥挤咬合不对,导致牙齿磨损或者碎裂。

2

牙齿稀疏

和牙齿过密一样,容易导致咬唇、咬颊或咬舌头现象,还容易塞牙、口臭,口齿不清。


门牙有缝的最明显了,会让人不愿意开口笑。但是其实牙齿直接的缝隙是非常快就可以闭合的,所以用invisalign整可以说是快准狠,也没有任何拔牙的问题,只是需要考虑牙齿的稀疏是否是因为骨头密度过低的原因。

3

咬合过深(俗称龅牙)

亚洲人很普遍多多少少都有些咬合过深的问题,有些特别明显的表象就是嘴凸和龅牙。


咬合过深的人一般习惯用嘴呼吸,所以容易导致口干,并且嘴凸的情况会越来越严重。


因为咬合的时候上牙会顶着下牙,长期以往,上牙容易碎裂或者磨损。

4

下颚突出(俗称地包天)

地包天也是亚洲人比较常见的一种牙齿问题。

下和突出会存在对冷敏感、牙龈萎缩、牙龈边缘部分出现锯齿状缺痕,牙齿碎裂或者磨损。


地包天也是张嘴笑杀手,同时侧面脸型也会不好看,俗称“鞋拔子脸”

5

错咬

很多人没有注意到,自己脸歪,其实是因为牙是歪的。


牙齿错咬其实不仅仅体现在刚开始的“脸有点歪”上,还会由于咬合不对,脸部肌肉会随着变化,导致所谓的大小脸。

6

开咬

不是特别多亚洲人开咬合,但是我就是不幸的其中一个。


开咬合会造成用嘴呼吸,口齿不清,甚至说话喷口水,这就很尴尬了。


其实大多数牙齿的情况都是几种类型的结合,而不是某种问题单一的表现。


毕竟本人作为北美烧钱君粉丝这么久了,知道大家都是没图等于废话的直性子,那可以给大家看几个不太美观又非常直观的例子,来,上牙!(有些图有点狰狞,未成年儿童请在家长指导下观看,谢谢合作)


CASE 1

关键词

牙齿拥挤、虎牙突出、过咬合


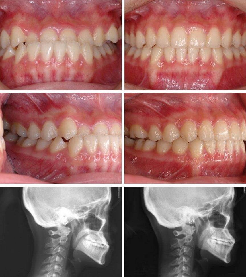
这个牙挺乱的吧,虎牙突出,拥挤,深覆合,过咬合,这个是很多小伙伴都有的问题。看看看,这个case你们觉得够复杂吗?invisalign做到了,45个牙套,64周,16个月完成啦!


全头xray我们可以看到牙齿矫正前后侧面脸型和嘴型产生的变化。当然,由于她的过咬合非常严重(上下排差距太大),拔去了上牙的左右两颗第一前臼齿,能够把整个上排往后退并调整下排牙齿角度,使牙齿能够达到标准咬合。


45

16

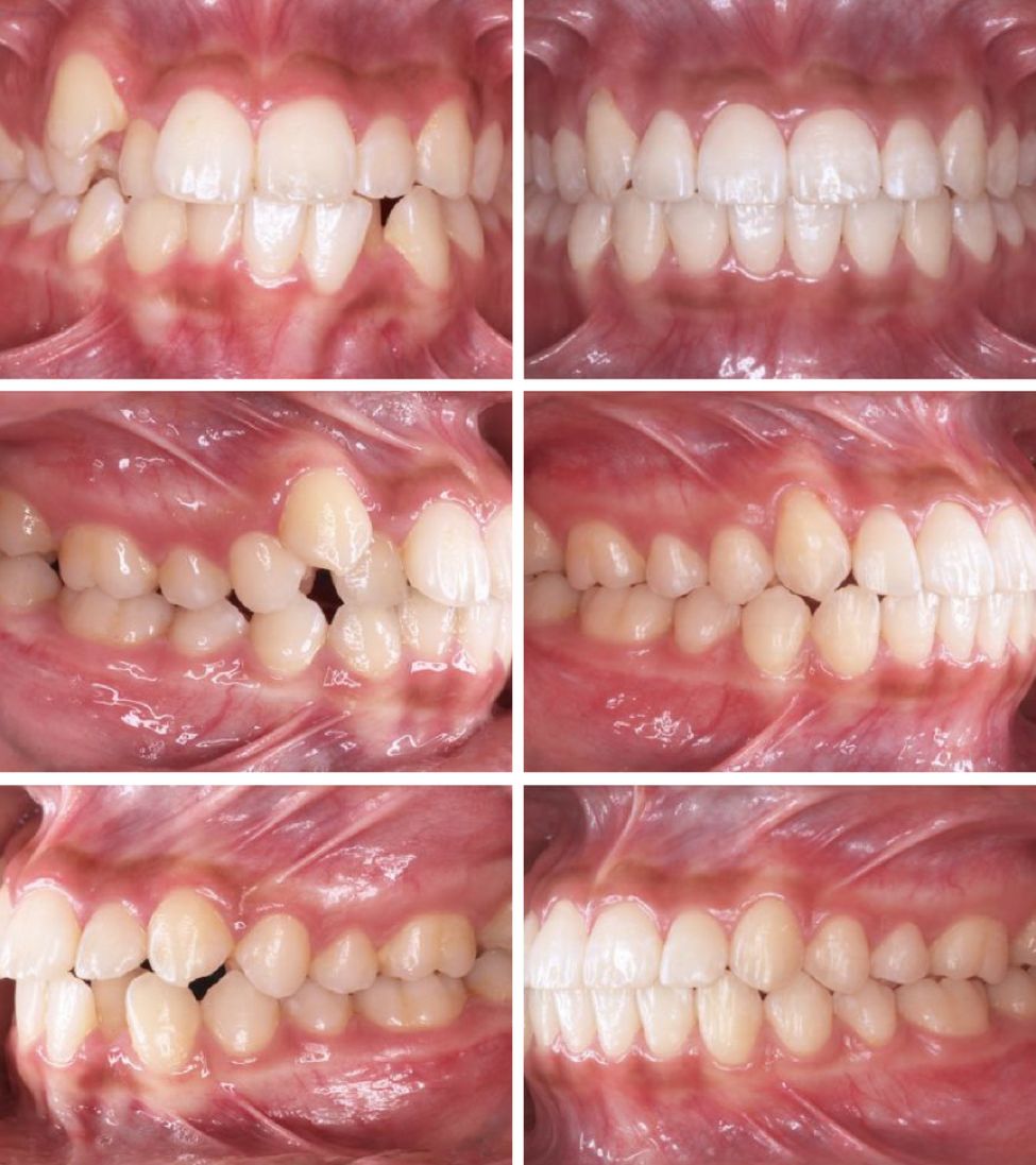
CASE 2

关键词

过咬合、凸嘴


这个是我们常说的龅牙(天包地),除了上排牙突出之外其他牙齿也很整齐没毛病。


这个妹妹也是拔掉了左右两颗第一前臼齿,把整排上牙往后推,总共是35个牙套,时长10个月,效果显著。


35

10

CASE 3

关键词

地包天、虎牙突


这是一个地包天的案例,其实从侧面脸来看不是特别明显,但是牙齿可以明显看到咬合状态下是下牙比上牙前,张嘴不好看。


这是一个小女生,这种地包天的程度不算严重,没有拔牙,一共40个牙套,14个月完成~


其实我们做过很多地包天的案例都没有拔牙的~也有少数cases是比较严重的地包天,需要拔掉下排两颗牙齿把下排推进去很多。比如下面这个姑娘。


40

14

CASE 4

关键词

地包天、牙齿拥挤、拔牙


其实我们做过很多地包天的案例都没有拔牙的~


也有少数cases是比较严重的地包天,需要拔掉下排两颗牙齿把下排推进去很多。比如上面这个姑娘。


这个变化是相当大了!时间也比较久,65幅牙套,21个月


65

21

CASE 5

关键词

过咬合、凸嘴


这个弟弟虎牙非常的调皮,下牙也歪。这个case没有拔牙,因为上下差不大,总共是59个牙套,时长18个月,虎牙严重的移位,要让这颗牙回来时间就比较长,如果只是简单排列不齐,那一般一年之内可以搞定。


59

18


上面几个凸嘴、地包天,要是换作以前我不在dental office工作,我也是持怀疑态度Invisalign可以矫正到位。可是现在这里例子摆在这里,不得不说真的涨知识~相信高科技,相信医生的好方案,给自己一个改变的时间,不慌不忙,我们一起变美~



Dr Brandon Huang 是一位已从事牙科行业超过20年的精英牙科医生,拥有独立的位于纽约曼哈顿中城最核心地段的牙科诊所。黄医生擅长美容牙科,牙齿矫正方面是纽约数一数二的 Invisalign®  VIP Diamond Plus Provider;  牙齿瓷贴面 Veneers也由于他对美国和亚洲面孔的双重审美做得相当出色,经验丰富、技术一流。


同时他也精通各项牙科手术,补牙、根管治疗、牙冠、拔牙、植牙的技术都深得患者信赖。


黄医生出生于一个“化学世家”,毕业于凯斯西储大学生物化学专业,在此之后获得俄亥俄州立大学牙科学院牙科学位。毕业后的他完成了在Maimonides医疗中心的研究生培训,并在纽约曼哈顿Mountain Sinai西奈山医疗中心实习。


在美国已生活近四十年的他,仍通过与凤凰医疗集团两年国际咨询合作,将中文练就可以与病人进行流利的交流的程度,不论是日常生活还是牙科专业用语,都能用你最熟悉的语言为你解释。



们的location也是无敌的。楼下就是Bloomingdales啊,对面Sephora,走五分钟到Madison & Fifth Avenue各种Boutique随你逛,什么?你想来天天来我们诊所?


除了逛街,交通也是及其方便的呀。要知道我可是出了地铁站最害怕走路的人,因为冬天怕冷夏天怕热。现在我们的新office就在59st-Lexington Ave地铁站转角4,5,6,N,R,W都有,再也不用风里来雨里去了!


还等什么呢

都看到这了,快加微信定制属于你的牙套吧~


212-588-1809

150 East 58th St, Floor 8 annex, New York, NY 10155

New York Dental Studio


推荐阅读

大扭腰寒冬来袭!不想在寒风中瑟瑟发抖?只要这一步就够了!

新年伊始,最值得给自己的一笔投资就是它没错了!

这才是你2019年最正确的打开方式!元气满满讨个好彩头!

号称大纽约地区茶品届的“星巴克”!手作茶艺,新意无限!

超拼!明星纷纷化身“美妆博主”各种素颜上镜,谁是真分享,谁是强凹人设?

吃遍纽约韩餐,还是被这家中国城新店惊艳到了!暖暖的烤肉部队锅,冬日最佳!

女神们也有“黑历史”?!不过她们都靠这一招,悄悄改变了气质全球1000+分



    已同步到看一看

    发送中