Volume 4
Issue 4
扫描二维码,阅读全文
01 RESEARCH HIGHLIGHTS
Animal models and experimental medicine and the Nobel Prize in Physiology or Medicine 2021—TRPV and PIEZO receptors for temperature and touch sensation
动物模型、实验医学与诺贝尔奖系列——2021年诺贝尔生理学或医学奖:温度与触觉的动物模型与实验医学研究
Yu Zhang, Dongyuan Zhang, Chuan Qin
Anim Models Exp Med. 2021;4:297-299
2021年诺贝尔生理学或医学奖共同授予美国加州大学旧金山分校的戴维·朱利叶斯(David Julius)教授和美国加州斯克里普斯研究所、霍华德休斯医学研究所的阿德姆·帕塔普蒂安(Ardem Patapoutian)教授,以表彰他们“发现了温度和触觉受体”。本文回顾多年来人类对温度觉和触觉的研究过程中,对TRP家族和PIEZO功能的认识日渐加深。文中通过细胞、动物模型、人类疾病等多层次的实验医学研究,强调了实验动物模型对医学科学研究提供了巨大的帮助。
扫描阅读
SPECIAL ISSUE: HEREDITY AND ADAPTATION – HYPOXIA ADAPTATION
01 SPECIAL SECTION REVIEWS
Hypoxia adaptation in the cornea: Current animal models and underlying mechanisms
角膜的缺氧适应:目前的动物模型和潜在机制
Kunpeng Pang, Anton Lennikov, Menglu Yang
Anim Models Exp Med. 2021;4:300-310
角膜是一种无血管的透明组织,可直接或间接地从大气中获得大部分氧气供应。角膜缺氧可由不同的条件或疾病引起,并引发功能障碍及角膜细胞种类转换。为了改善缺氧状态,角膜进化出了缺氧诱导因子(HIF)的激活启动调节下的缺氧适应机制,而HIF信号通路在细胞增殖和存活、代谢调节、血管生成、红细胞生成和免疫调节中均发挥功能。本文综述了角膜在缺氧条件下的病理变化及缺氧适应机制,并对该领域目前使用的动物模型及未来的研究方向进行了讨论。
扫码阅读
02 SPECIAL SECTION REVIEWS
Adaptation of mammals to hypoxia
哺乳动物对缺氧的适应
Fang Li, Zhenglei Qiao, Qijiao Duan, Eviatar Nevo
Anim Models Exp Med. 2021;4:311-318
氧气在哺乳动物的代谢和活动中起着关键作用,然而生活在氧气缺乏的高海拔、地下洞穴系统和深海中,为了适应这些不良环境以减轻机体损伤,生物体进化出了缺氧适应机制。本文综述了不同缺氧环境下的哺乳动物通过调节生理活动、基因表达和基因突变的方式来维持机体的代谢水平,重点对高原哺乳动物及以色列地下啮齿动物科进行介绍,有助于我们更好地了解哺乳动物对低氧环境的适应的方式。
扫码阅读
03 SPECIAL SECTION REVIEWS
The hypoxia adaptation of small mammals to plateau and underground burrow conditions
小型哺乳动物对高原和地下洞穴环境的缺氧适应
Mengke Li, Dan Pan, Hong Sun, Lei Zhang, Han Cheng, Tian Shao, Zhenlong Wang
Anim Models Exp Med. 2021;4:319-328
氧气是地球上大多数生命系统赖以生存的重要物质之一,高原和地下洞穴系统是两种典型的缺氧环境,生活在缺氧环境中的小型哺乳动物进化出了不同的适应策略。本文主要综述了小型哺乳动物在长期缺氧环境的耐受方式,重点介绍了生物体通过生理生化改变、活性氧ROS的激活、HIF-1调控、血管内皮生长因子(VEGF)和促红细胞生成素(EPO)的表达等方式应对缺氧环境,并且对低氧适应动物的组学现状以及抗癌症机制进行深入探讨,为人类缺氧疾病的研究提供了合适的实验动物模型。
扫码阅读
REGULAR ARTICLES
01 REVIEWS
Folic acid-induced animal model of kidney disease
叶酸诱导的肾脏疾病动物模型
Liang-Jun Yan
Anim Models Exp Med. 2021;4:329-342
急性肾损伤(AKI)和慢性肾脏疾病(CKD)可导致肾脏功能破坏,通常可由缺血、败血症、药物毒性和药物过量、暴露于重金属和糖尿病诱发。由于目前没有有效治疗肾病的方式,因此对于AKI、CKD及两者之间的转化的病理机制的研究十分重要,而疾病动物模型更是不可少的。本文综述了一种广泛应用的由叶酸(FA)诱导一种易于创建且可重复性好的肾脏疾病动物模型,对于研究肾脏疾病的病理机制和确定对抗肾脏疾病的治疗靶点有一定的帮助。
扫描阅读
02 REVIEWS
A novel mind-set in primate experimentation: Implications for primate welfare
灵长类实验中的一种新思维模式:灵长类动物福利的一些启示
Antonella Tramacere, Atsushi Iriki
Anim Models Exp Med. 2021;4:343-350
灵长类动物模型对于研究认知神经科学是十分重要的,而行为认知在探索神经科学中基因及相关机制的研究具有显而易见的优势。结合现有的对于灵长类研究的动物福利问题,本文提出了一种新的灵长类实验思维模式,即建立一个开放的灵长类研究领域,通过对不同研究场景进行实验及伦理准则的探讨,从新的视角对灵长类动物福利问题进行分析,为如何更科学的应用灵长类动物模型进行神经科学的研究提供了新的思路。
扫码阅读
01 ORIGINAL ARTICLES
Establishment of an oligoasthenospermia mouse model based on TAp73 gene suppression
基于TAp73基因抑制的少弱精子症小鼠模型的建立
Hong-Juan Liu, Meng-Yun Deng, Yan-Yan Zhu, De-Ling Wu, Xiao-Hui Tong, Li Li, Lei Wang, Fei Xu, Tong-Sheng Wang
Anim Models Exp Med. 2021;4:351-358
少精症是男性不育的主要原因之一,生精细胞与支持细胞之间的粘附和迁移在精子发生中具有重要意义。由于TAp73是生殖细胞黏附蛋白的重要调节因子,敲除TAp73可通过抑制生精细胞和支持细胞之间的黏附和迁移导致成熟精子严重缺失,本文通过Pifithrin- α抑制TAp73基因的表达,创建了一种新的少精症动物模型,为进一步探索TAp73基因在精子发生过程中的作用奠定了基础,并为少精症未来的药物研究提供了新的研究对象。
扫码阅读
02 ORIGINAL ARTICLES
Development of a unilateral ureteral obstruction model in cynomolgus monkeys
食蟹猴单侧输尿管梗阻模型的建立
Linghong Huang, Jia Ni, Tanika Duncan, Zhizhan Song, Timothy S. Johnson
Anim Models Exp Med. 2021;4:359-368
慢性肾脏病(CKD)是世界上最常见的疾病之一,目前已经建立了几种CKD动物模型,其中单侧输尿管梗阻(UUO)是一种类似于人类阻塞性肾病的建模方法,普遍应用于符合肾纤维化发展的肾损伤的模型。由于啮齿动物与人类存在物种的差异性导致研究的局限性,建立一种灵长类UUO动物模型是十分必要的。本文介绍了一种新的食蟹猴UUO模型,可应用于评价人肾纤维化疾病治疗方法的有效性。
扫码阅读
03 ORIGINAL ARTICLES
Implication of proliferation gene biomarkers in pulmonary hypertension
肺动脉高压中增殖基因生物标志物的意义
Yi Yan, Rong Jiang, Ping Yuan, Li Wen, Xiao-Bin Pang, Zhi-Cheng Jing, Yang-Yang He, Zhi-Yan Han
Anim Models Exp Med. 2021;4:369-380
肺动脉高压(PH)是一种危及生命的进行性肺血管疾病,肺部血管增殖是引发PH的因素。由于血小板源性生长因子-BB(PDGF-BB)是肺动脉平滑肌细胞(PASMCs)强有力的有丝分裂原,其过度增殖可导致PH出现肺血管病理性重构。本文通过PDGF-BB诱导人源PASMCs进行造模,通过代谢组和转录组分析,得到增殖代谢关键枢纽基因,这些基因不仅可以预测PH的发生,同时为PH肺动脉中膜肥厚、外膜炎症细胞浸润的病理性重构提供新的视角和思路,为后续一系列的新药研发提供新的切入点。
扫码阅读
04 ORIGINAL ARTICLES
Novel rat model of multiple mitochondrial dysfunction syndromes (MMDS) complicated with cardiomyopathy
多发性线粒体功能障碍综合征(MMDS)并发心肌病的新型大鼠模型
Yahao Ling, Jiaxin Ma, Xiaolong Qi, Xu Zhang, Qi Kong, Feifei Guan, Wei Dong, Wei Chen, Shan Gao, Xiang Gao, Shuo Pan, Yuanwu Ma, Dan Lu, Lianfeng Zhang
Anim Models Exp Med. 2021;4:381-390
多发性线粒体功能障碍综合征(MMDS)是一类与线粒体铁硫簇合成相关核基因(nDNA)突变引发的线粒体疾病。在MMDS患者中有心脏发育不良的报道,但具体的临床症状和发病机制尚不清楚,且缺乏相应的动物模型支持其进一步的研究。而Isca1相关的MMDS主要导致代谢紊乱、神经发育损害和心肌病。本文构建了一种新的心肌组织特异性Isca1敲除杂合子(Isca1-HET)大鼠,可作为心肌能量代谢障碍和线粒体心肌病模型工具,应用于心血管疾病能量代谢机制研究以及药物的研发。
扫码阅读
05 ORIGINAL ARTICLES
Closed cranial window rodent model for investigating hemodynamic response to elevated intracranial pressure
应用闭合颅窗啮齿类动物模型探究颅内压升高对血流动力学的影响
Matt T. Oberdier, James F. Antaki, Alexander Kharlamov, Stephen C. Jones
Anim Models Exp Med. 2021;4:391-397
颅内压升高可在多种生理和病理条件下发生,促进血流灌注维持在缺血阈值以上,然而有学者提出颅内压升高后,脑血管衰竭引起的脑容量减少可抵消其灌注增加的效果,最终可能导致灌注减少,但这种假说尚未得到证实。本文采用了大鼠颅内压升高的闭合颅窗模型,得出闭合颅窗模型可出现高颅内压促进止血的生理反应,为神经外科手术中的止血治疗方案提供了新的策略。
扫描阅读
06 ORIGINAL ARTICLES
Safety and biodegradability of a synthetic dural sealant patch (Liqoseal) in a porcine cranial model
合成硬膜密封胶贴片(Liqoseal)在猪颅骨模型中的安全性和生物降解性研究
Ahmet Kinaci, Wilhelmina Bergmann, Sander van Thoor, Saskia Redegeld, Albert van der Zwan, Tristan P. C. van Doormaal
Anim Models Exp Med. 2021;4:398-405
颅脑手术破坏硬脑膜后,存在脑脊液渗漏的风险,持续性脑脊液漏与伤口愈合不良、伤口感染和脑膜炎等并发症有关。硬脑膜闭合被广泛认为是防止脑脊液漏的第一步,同时也是一个技术难题。目前批准的密封剂对预防脑脊液泄漏有效果甚微,因此,需要开发一种新的硬膜密封胶贴片。本文介绍了一种是一种可以直接使用的Liqoseal 贴片,用于粘连硬膜组织,并应用与猪模型对其安全性和生物降解性进行评估,对于未来应用于人体提供了依据。
扫码阅读
07 ORIGINAL ARTICLES
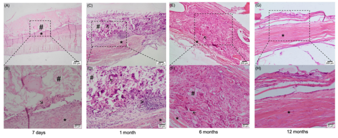
In-depth examination of hyperproliferative healing in two breeds of Sus scrofa domesticus commonly used for research
对两种猪模型进行过度增殖愈合的深入观察
Colton H. Funkhouser, Liam D. Kirkpatrick, Robert D. Smith, Lauren T. Moffatt, Jeffrey W. Shupp, Bonnie C. Carney
Anim Models Exp Med. 2021;4:406-417
增生性瘢痕(HTS)是伤口愈合中最常见的类型,表现为隆起、疼痛、瘙痒和收缩,愈合后产生的瘢痕不利于美观,且会出现皮肤色差的改变。由于猪的皮肤与人类有生理上的相似之处,且 Dc品系的猪与Yk品系的猪在模拟伤口愈合时可出现表型的差异。本文对两个品系猪皮肤伤口愈合过程中表型及表达差异基因进行分析,为皮肤愈合过程中瘢痕的产生与自由基、黑色素及化学刺激相关的研究方向提供了一定的基础。
扫码阅读
08 ORIGINAL ARTICLES
Heterozygous lipoprotein lipase knockout mice exhibit impaired hematopoietic stem/progenitor cell compartment
杂合脂蛋白脂肪酶敲除小鼠表现出造血干细胞/祖细胞室受损
Guiying Shi, Xinyue Li, Keya Li, Yiying Huang, Xuepei Lei, Lin Bai, Chuan Qin
Anim Models Exp Med. 2021;4:418-425
造血干细胞( HSC)通过自我更新和多向分化潜能维持造血系统的稳态,且受微环境、细胞因子信号转导和转录因子的调控。脂质通路在调节HSC的静止、增殖和分裂的调节中起着关键作用,但其增殖和分化的调控机制尚不清楚。脂蛋白脂肪酶(LPL)是脂代谢的一种必需酶。本文构建了LPL+/−HSC环境下小鼠模型,探讨LPL在造血干细胞调控中的作用,得出LPL+/−小鼠由于出现HSC的增殖,表现出HSC室损伤的表型,但对骨髓微环境没有影响。
扫码阅读
关于期刊