一名47岁女性因反复发生鼻窦炎伴进行性咳嗽、咳痰就诊,曾被诊断为过敏、细菌性肺炎和支气管扩张。长期对症治疗并未见效,患者症状反复发作。
针对该例患者,麻省总医院经治医生在鉴别诊断时重点关注了导致肺部慢性炎症和支气管扩张的疾病,包括肺部感染、免疫缺陷综合征、过敏和导致呼吸道清除功能受损的疾病,最终明确了基础病因。在患者针对病因治疗之后,病情控制情况显著好转。
我们在此简介这则麻省总医院病例。阅读全文翻译,请访问《NEJM医学前沿》官网、APP或点击微信小程序图片。
一名47岁女性因复发性鼻窦炎伴进行性咳嗽和支气管扩张,在本院接受评估。这名患者从二十五六岁开始反复发生鼻窦充血,每年有2~3次鼻窦感染,这促使其接受多个疗程的抗生素治疗。在患者大约30岁的时候,另一家医院的耳鼻喉科医师对她进行了评估,医师认为可能是过敏引发的症状。皮肤试验显示环境过敏(对灰尘、草和猫过敏)。血液检查显示对多种食物(包括奶、酵母、小麦、麸质、黑麦和蛋清)过敏。从患者饮食中去除奶类、谷物和鸡蛋后,鼻窦症状在大约5年期间有减轻。然而,鼻窦充血和鼻窦感染在随后几年内复发。本次评估前3年,患者出现持续咳嗽。患者在第二家医院被诊断为细菌性肺炎,并接受了治疗。随后,患者被转诊至第三家医院,接受了鼻窦手术和鼻甲切除术。本次评估前约6个月,患者发现每天咳黄白色痰。痰量增多,痰偶尔呈绿色。2个月后,患者在第二家医院接受了评估。胸部X线片显示支气管扩张,主要位于肺上部和中部。据报告,痰培养可见阴沟肠杆菌、粘质沙雷菌和脓肿分枝杆菌生长。全血细胞计数以及肾功能和肝功能检查结果正常。血液IgE水平和α1抗胰蛋白酶水平正常。抗中性粒细胞胞浆抗体检查呈阴性,对美国东北部常见的环境变应原进行的放射变应原吸附试验呈阴性。肺功能检查显示第一秒用力呼气量(FEV1)为2.22 L(预计值的80%),用力肺活量(FVC)为2.72 L(预计值的81%),FEV1/FVC比值为82%。肺总量正常,但残气量与肺总量的比值升高(45%,预计值为35%)。一氧化碳弥散量正常。给予丙酸氟替卡松-沙美特罗吸入剂和左氧氟沙星,咳嗽暂时缓解。在接下来4个月,针对反复咳嗽和咳痰,医师又给患者开出了数个疗程的左氧氟沙星,直至患者在本院肺科门诊接受评估。患者在肺科门诊接受评估期间,自诉有轻度但不断加重的劳力性呼吸困难和进行性疲劳。患者出现了持续的鼻窦充血,偶尔有头痛。患者无哮喘病史、心力衰竭症状、咯血、发热、寒战、盗汗、体重减轻、肌痛、关节痛、皮疹或胃肠道症状。患者自诉未接触过病人,并且无已知的结核暴露。患者有偏头痛病史。患者的用药包括丙酸氟替卡松-沙美特罗吸入剂和非处方药愈创甘油醚-苯肾上腺素。患者无已知药物过敏。患者从不吸烟,不饮酒,不使用非法药物。患者已定婚,未育。患者居住在马萨诸塞州,曾到加拿大和加勒比海地区旅行。患者无已知职业或吸入性暴露;虽然患者爱好园艺,但不接触动物。其父亲曾患前列腺癌、冠心病和卒中,母亲曾患冠心病。患者兄弟患变应性鼻炎,患者姐妹健康。患者一般情况良好,呼吸频率14次/分,呼吸环境空气时,氧饱和度为99%。鼻窦无压痛。肺部听诊右侧肺尖部可闻及啰音。无杵状指,其余检查结果正常。实验室检查结果见表1。
表1. 实验室数据
![]()
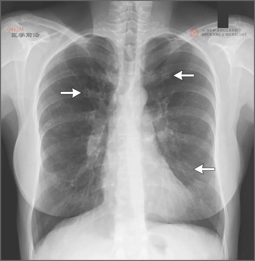
胸部X线片显示“轨道征”,累及双肺上部和左肺下部,这一发现符合支气管扩张。肺容量正常。无实变影,无肺水肿、胸腔积液或者纵隔或肺门淋巴结肿大的证据(图1)。
![]()
胸部后前位X线片显示“轨道征”,累及双肺上部和左肺下部(箭形),这一发现符合支气管扩张。未见其他异常。
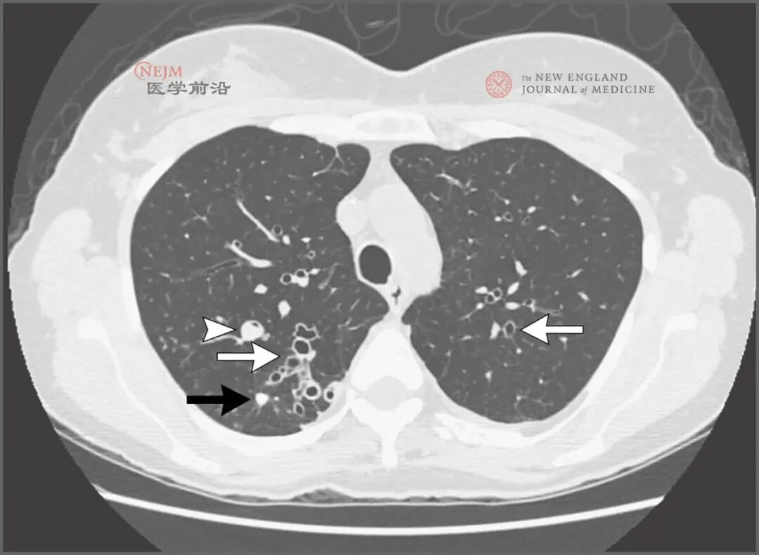
胸部计算机断层扫描(CT)显示支气管扩张累及全部肺叶,但右上叶最严重。上叶气道内可见黏液栓。有散在的“树芽征”,有多个散在的实性肺结节,最大直径1.5 cm。无肺水肿、胸腔积液或者纵隔或肺门淋巴结肿大的证据(图2)。
![]()
胸部CT扫描显示支气管扩张累及全部肺叶,但右上叶最显著(白色箭形),右上叶扩张的气道内可见黏液栓(箭头),并有散在的肺结节,最大直径1.5 cm(黑色箭形)。
痰标本检查显示抗酸杆菌3+至4+,偶见多形核白细胞和一些革兰阳性菌。这名47岁女性虽然接受了多个疗程的抗菌治疗和吸入型糖皮质激素治疗,但仍有复发性鼻窦感染和慢性咳嗽。值得注意的是,患者在成年期的大部分时间有鼻窦症状,并且虽然找出了环境变应原,对鼻窦症状进行了治疗,并进行了饮食限制,但患者症状仍然持续,并进行性恶化。慢性咳嗽、咳痰和复发性呼吸道感染均提示支气管扩张,这得到了胸部CT的证实。
所有支气管扩张患者均存在的病理生理学事件为慢性炎症。虽然部分特发性支气管扩张患者无明确病因,但鉴别诊断需要重点关注导致肺部慢性炎症和支气管扩张的疾病,包括肺部感染、免疫缺陷综合征、过敏和导致呼吸道清除功能受损的疾病。许多肺部感染可导致支气管扩张发生,在此例中有几种肺部感染值得考虑。结核分枝杆菌感染可引起慢性感染和导致支气管扩张的炎症。然而,这名患者无已知结核暴露,并且自诉无发热、体重减轻、盗汗或提示结核分枝杆菌感染的其他病史。虽然对痰标本的检查发现抗酸杆菌3+至4+,这值得关注,但这一发现可能与非结核分枝杆菌(例如脓肿分枝杆菌)相关,而较早的一次痰培养中已经分离出脓肿分枝杆菌。分离出非结核分枝杆菌一般是支气管扩张导致的结果,而不是其原因。此外,这名患者无钙化肉芽肿等陈旧性结核病的证据。百日咳杆菌感染也与支气管扩张发生相关。百日咳患者常有持续数月的重度咳嗽,故名百日咳。虽然这名患者在儿童期可能曾患百日咳,但她很可能接种过百日咳疫苗。对百日咳的免疫力可能逐渐减弱,但患者未报告符合这一诊断的感染病史。支气管扩张可能发生于有复发性肺炎病史的患者,尤其是有慢性误吸的患者。虽然这名患者之前接受了多个疗程的抗生素治疗,但仅描述了一次肺炎发作。此外,病史中无提示慢性误吸的其他因素。免疫缺陷综合征患者发生支气管扩张的风险高。原发性免疫缺陷综合征可破坏正常抗体的产生,进而导致体液免疫缺陷和反复感染。在X连锁无丙种球蛋白血症中,B细胞发育的常染色体隐性缺陷妨碍了血清抗体的产生。应对IgG水平较低的患者进行进一步评估。可以测定IgG亚类、IgA、IgM和IgE水平,并且可以对免疫接种后的应答进行检测。此外,可以通过检查排除继发性免疫缺陷,例如人类免疫缺陷病毒感染。此例的另外一个考虑是对真菌孢子的过敏反应。一些人吸入烟曲霉会诱发以嗜酸性粒细胞增多和高水平IgE抗体为特征的过敏反应。随后可能发生变应性支气管肺曲霉病的超敏反应,导致支气管炎症、黏液嵌塞、支气管阻塞这一循环,进而引起支气管扩张。暴露于土壤和水(例如淋浴和游泳池)中的非结核分枝杆菌很常见。由于这些细菌的致病性比结核弱,因此它们通常影响免疫力受损或患慢性肺病的人。这名患者的痰抗酸杆菌阳性染色可能提示患者有与基础肺病相关的继发性非结核分枝杆菌感染,而非提示支气管扩张的主要驱动因素。这名患者有复发性鼻窦症状病史。考虑到患者的长期慢性鼻窦炎病史,可以将鉴别诊断范围进一步缩小至导致呼吸道清除功能受损的疾病。囊性纤维化是一种隐性遗传疾病,由囊性纤维化跨膜传导调节蛋白(CFTR)编码基因CFTR的两个等位基因突变引起。CFTR蛋白可形成对于黏液有效运输非常重要的氯离子通道。CFTR突变会破坏钠吸收、氯离子分泌和水分运输,进而产生附着于呼吸道的黏液,从而损害细菌清除功能。囊性纤维化的诊断是基于符合囊性纤维化的临床体征或症状,以及CFTR功能障碍的客观证据。汗液氯离子检测的结果可用于明确诊断,排除诊断,或提示进一步的检查,例如用于鉴定CFTR突变的遗传学检查。鉴于该患者有慢性鼻窦炎、化脓性咳嗽和支气管扩张,因此必须考虑囊性纤维化的诊断。如果囊性纤维化不是诊断结果,下一个最有可能的诊断是纤毛运动功能障碍。原发性纤毛运动障碍是一种先天性常染色体隐性遗传病,其特点是纤毛不能动或运动障碍。纤毛功能障碍可导致反复感染,包括中耳炎、鼻窦炎和肺炎。除了呼吸道清除功能受损外,男性和女性还分别会因精子运动功能受损和输卵管纤毛功能受损出现生育问题。值得注意的是,这名47岁的女性没有孩子。这可能是个人决定,与她的诊断无关。患囊性纤维化或原发性纤毛运动障碍的女性通常具有生育能力,但可能难以怀孕。最终,她的未生育状态无助于缩小鉴别诊断范围。原发性纤毛运动障碍也可引起左右不对称。结纤毛功能障碍可引起右位心、全内脏反位和内脏对称位。然而,这名患者没有原发性纤毛运动障碍的典型三联征(支气管扩张、慢性鼻窦炎和内脏反位)。这名患者的慢性鼻窦炎和支气管扩张病史有助于缩小鉴别诊断的范围,但还需要进一步的检查来建立诊断。例如,通过刷或刮下鼻甲获得的呼吸道纤毛可以在光学和电子显微镜下检查。在专科中心,鼻一氧化氮水平可以作为纤毛功能障碍的无创替代评估指标。鼻一氧化氮是由鼻旁窦上皮产生的,在整个上呼吸道呈较高水平。据报告,鼻窦和肺病患者呈低水平,纤毛运动障碍患者呈极低水平。然而,遗传学检查可能成为明确诊断的最可靠方法。疾病特异性测序可以确定肺病的遗传基础,例如肺部囊性疾病、肺纤维化和支气管扩张。综上所述,该患者是一名体重正常、未生育的女性,存在反复的鼻窦肺部感染和支气管扩张,并发咳痰、劳力性呼吸困难、疲劳以及痰中非结核分枝杆菌的快速生长。根据患者的慢性鼻窦炎病史和最近的下呼吸道感染,其支气管扩张很可能是由呼吸道清除功能障碍引起。因此,在鉴别诊断中,囊性纤维化和原发性纤毛运动障碍的可能性最大。考虑到主要是肺上叶受累,可尝试针对囊性纤维化的汗液氯离子检测来明确诊断。然而,对于有特定类型CTFR突变的成人,汗液氯离子检测结果可能无异常(即检查结果可能为假阴性)。患者的食物过敏可能是CFTR突变的胃肠道表现,可能有助于鉴别囊性纤维化和原发性纤毛运动障碍。最终,可能最好进行肺病的遗传学检查。
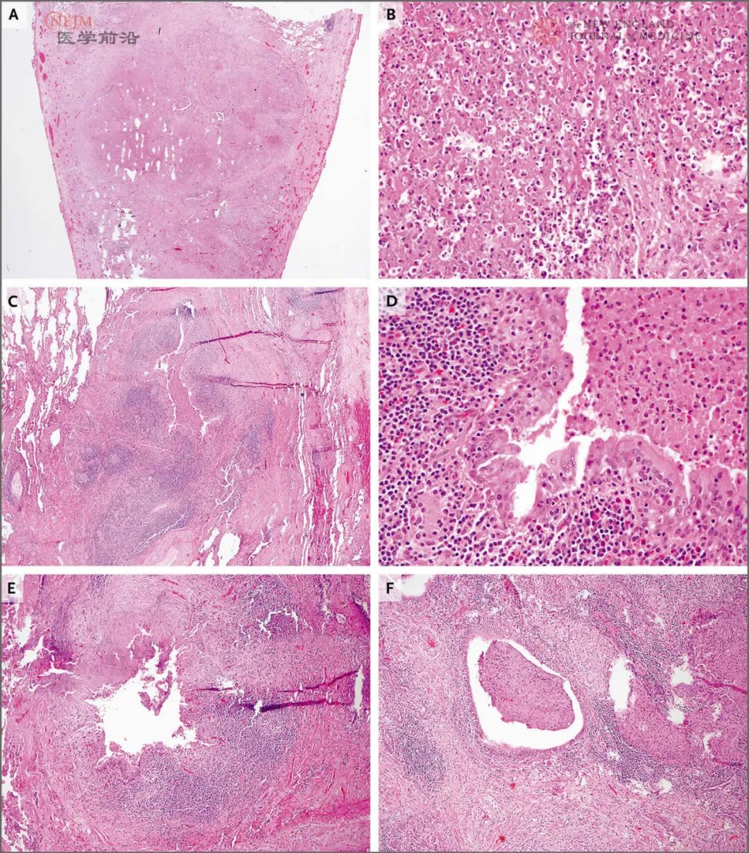
患者有长期进行性肺病史,伴有累及上呼吸道和下呼吸道的反复感染,胸部CT检查可见重度支气管扩张;这些发现均符合囊性纤维化诊断。虽然囊性纤维化通常在年轻时发病,但已发现了接近2,000种CFTR突变,每种导致不同程度的氯离子运输减少。汗液氯离子检测常用于明确诊断;氯离子水平超过60 mmol/L高度提示囊性纤维化。这名患者的汗液氯离子检测显示氯离子水平为40~45 mmol/L,这一结果提示CFTR功能部分存在,不能明确诊断。确定囊性纤维化诊断的下一步是鉴定CFTR突变。这名患者的遗传学检测显示,氨基酸508的苯丙氨酸缺失(Phe508del),1152的组氨酸被天冬氨酸取代(D1152H)。这些突变的发现明确了该患者囊性纤维化的诊断。囊性纤维化的治疗主要为综合治疗,包括通过机械和药物疗法(胸部物理治疗、吸入型人重组dornase alfa治疗、给予吸入型高渗盐水)清理呼吸道、对胰腺功能不全患者进行胰酶替代治疗、营养补充、感染抑制性抗生素治疗以及早期发现肺部状况恶化。通过在囊性纤维化专业治疗中心给予这些治疗,中位生存期从2000年的33.3年延长至2015年的41.7年。虽然该患者自诊断以来严格遵循了这些治疗,但她的肺功能仍稳定下降。促进肺功能下降的显著因素是持续的脓肿分枝杆菌感染。患者被诊断为囊性纤维化之后,她在本院接受了脓肿分枝杆菌感染治疗。患者完成了6个月疗程的抗生素治疗,包括利奈唑胺、阿米卡星和克拉霉素。治疗并发了耳鸣和重度周围神经病。患者完成这一疗程后,其良好健康状况保持了数月,但随后因发热、咳嗽和胸部X线片上新的气腔阴影到第三家医院就诊。医师给予其万古霉素和哌拉西林-他唑巴坦经验治疗;咳嗽减轻,但发热持续。由于持续发热,在第三家医院进行了视频辅助胸腔镜活检。第三家医院的组织学切片检查(图3)显示组织学特征高度符合囊性纤维化诊断。在培养物中再次分离出脓肿分枝杆菌。![]()
图A显示多灶性脓肿形成。图B显示化脓性坏死。图C显示多个囊性支气管扩张病灶伴有致密性慢性炎症。图D显示反应性鳞状上皮化生和黏液脓性碎屑。图E显示支气管扩张伴致密纤维化,以及气道闭塞区域。图F显示相关的肉芽肿性炎症。这些特征最符合囊性支气管扩张并发非典型分枝杆菌感染,患者特征符合囊性纤维化。
根据活检结果和培养物中持续存在的脓肿分枝杆菌,患者再次接受了针对非结核分枝杆菌感染的抗生素治疗,包括阿米卡星、克拉霉素和头孢泊肟。患者对这一疗法反应良好,并且不需要额外的脓肿分枝杆菌感染治疗。最近,该患者已开始根据检出的CFTR突变接受囊性纤维化治疗。由Phe508del突变引起的主要缺陷是CFTR蛋白可合成,但发生错误折叠,因而无法到达细胞表面。这是药物鲁玛卡托(lumacaftor)和tezacaftor的作用靶点。除Phe508del突变外,患者还有D1152H突变,D1152H突变被认为是导致离子转运减少的部分功能突变。这类突变是药物依伐卡托(ivacaftor)的靶点,依伐卡托能部分恢复离子转运。该患者从2017年起接受依伐卡托治疗,痰量减少,FEV1占预计值百分比保持稳定。患者仍依赖吸氧,但劳力性呼吸困难有减轻。通过细致的呼吸道清理,以及患者丈夫每日2次手动拍打治疗,患者已经超过2年未住院接受抗生素静脉给药治疗。自从患者接受脓肿分枝杆菌治疗以来,脓肿分枝杆菌未再生长,但鸟分枝杆菌复合群仍有持续生长,因此患者接受持续监测。患者还并发囊性纤维化相关性糖尿病、抗磷脂综合征、肺栓塞和肺动脉高压。患者仍有咯血发作。然而,在接受抗凝治疗,并且有非结核分枝杆菌感染和支气管扩张发作的情况下,难以对咯血原因进行鉴别。复合杂合CFTR Phe508del和D1152H突变引起的囊性纤维化。
参考文献
1. Mojica JE, Richards CJ, Husseini JS, Hariri LP. Case 40-2018: A 47-year-old woman with recurrent sinusitis, cough, and bronchiectasis. N Engl J Med 2018;379:2558-65.![]()
版权信息
本文由《NEJM医学前沿》编辑部负责翻译、编写或约稿。对于源自NEJM集团旗下英文产品的翻译和编写文章,内容请以英文原版为准。中译全文以及所含图表等,由马萨诸塞州医学会NEJM集团独家授权。如需转载,请联系nejmqianyan@nejmqianyan.cn。未经授权的翻译是侵权行为,版权方保留追究法律责任的权利。
![]()
![]()