《新英格兰医学杂志》(NEJM)"麻省总医院病例"栏目去年6月曾发表一例感染SARS-CoV-2野生株的重症Covid-19。该患者肺炎综合征迅速恶化,经过抽丝剥茧分析,终于发现另外一种致病元凶。
一名81岁男性在Covid-19流行期间因“发热、咳嗽伴呼吸急促”收入本院。
患者3天前出现咳嗽伴发热,入院当天上午突然出现休息时呼吸急促,活动时呼吸困难的症状,伴左侧胸骨后疼痛,深呼吸及平卧时疼痛加剧。患者经救护车送至本院急诊科。在急诊科,患者诉胸痛持续伴呼吸急促。其子报告患者在入院前2天曾在家中摔倒,但患者不记得曾摔倒,其子也无法提供关于摔倒的更多信息。患者否认头部、腹部、上下肢或腹股沟疼痛。
患者既往罹患高血压,并且据称曾因咳嗽而被诊断为“导致肺组织硬化的”肺部疾病。此次入院前患者每日均在外面散步,未曾出现呼吸急促症状。所服用的降压药物名称未知。否认吸烟、嗜酒和使用非法药物。
体格检查:体温37.9°C,血压157/95 mmHg,脉搏112次/分,呼吸30次/分,呼吸环境空气时的氧饱和度为91%。给予鼻导管吸氧后呼吸频率降至28次/分,氧饱和度升至96%。体质指数22.8。锁骨上区可见凹陷。双肺底可闻及吸气相湿罗音。心音规律,未闻及杂音。胸壁无压痛,双下肢无水肿。实验室检查结果见表1。
表1. 实验室检查数据
床旁胸片提示双肺呈斑片状模糊影,左肺病变范围较右肺更广泛,病变主要集中在下肺野外周带,肺门区域相对正常(图1)。此外肺尖和双肺底可见支气管扩张和网状实变影。骨盆X线检查未见骨折。
图1. 胸部X线片
心电图显示窦性心动过速,抽血行血培养并采集鼻咽拭子以检测SARS-CoV-2 RNA。在给予阿奇霉素和头孢曲松治疗后,患者被收入院。
抵达病房后,患者处于呼吸窘迫状态,呼吸频率达40次/分,鼻导管吸氧(4 L/分)时氧饱和度为86%。患者坐卧不安,痛苦面容,诉严重的胸膜性胸痛。医生将氧流量调整为5 L/分,并静脉注射吗啡。复查心电图显示窦性心动过速。
这名81岁男性既往罹患高血压,可能有慢性肺部疾病,目前出现发热、咳嗽、急性发作的呼吸急促伴局灶性胸膜性胸痛。体格检查可见呼吸频数、心动过速、低氧血症和呼吸困难。影像学检查提示双肺外周模糊影。鉴于低氧血症和呼吸窘迫在入院后数小时内进行性加重,预后可能不佳。患者出现迅速恶化的肺炎综合征,这是鉴别诊断起点。
非感染性肺炎综合征
肺炎综合征原因不仅包括传染性肺炎,还可能包括多种其他疾病,如吸入性肺炎、心源性肺水肿、恶性肿瘤、血管炎(伴或不伴出血)、弥漫性肺泡出血,以及多种间质性肺疾病。然而,根据该患者临床病史和影像学检查结果,上述原因导致肺炎综合征可能性较低。
对于肺部影像可见模糊影并且伴低氧血症患者,尤其是老年患者,必须要考虑吸入性肺炎。然而,该患者病史中没有吞咽困难、胃食管反流症状,也没有呕吐和误吸情况。此外,影像检查提示模糊影主要分布在双肺外周,这与吸入性肺炎特点不一致。
心源性肺水肿典型特征是呼吸困难、低氧血症和双肺模糊影。然而,心源性肺水肿浸润影多位于肺门周围并向周围放射。此外,患者没有报告体重增加、下肢水肿、腹部不适、端坐呼吸或阵发性夜间呼吸困难等典型心力衰竭症状。此外,发热也不符合心源性肺水肿特征。
生长迅速的恶性肿瘤(如淋巴瘤)可引起全身症状和胸部阴影,此时其临床表现类似于感染。然而,该患者病程仅有3天,其发病速度和强度与恶性肿瘤特点不符,特别是考虑到患者没有亚急性症状,如无意识的体重减轻。
血管炎和弥漫性肺泡出血也会出现肺泡充血,咯血可有可无,可以伴有发热和其他全身症状。该患者炎症标志物升高,包括C反应蛋白水平和红细胞沉降率,但其病史或临床表现没有特别提示血管炎或肺泡出血特征,该诊断可能性较低。
间质性肺病
患者报告曾罹患“导致肺组织硬化的” 疾病,因此间质性肺病值得特别关注。间质性肺病原因很多,包括原因不明疾病(特发性),如急性间质性肺炎和特发性肺纤维化;与特定物质暴露相关疾病,如过敏性肺炎和药物性肺炎;以及与某些特殊疾病有关,如结节病。在间质性肺病中,最容易与急性感染性肺炎混淆的疾病包括急性间质性肺炎(急性呼吸窘迫综合征的一种特殊形式)、隐源性机化性肺炎和急性嗜酸性粒细胞性肺炎。
目前影像学检查未见慢性纤维化过程,而且患者没有合并疾病,如可能与非特异性间质性肺炎有关的风湿性疾病。急性间质性肺炎和隐源性机化性肺炎通常在排除其他感染后才能作出诊断。急性嗜酸性粒细胞性肺炎可表现为周围肺野斑片状模糊影,诊断需要在支气管肺泡灌洗中发现嗜酸性粒细胞比例显著升高。然而,该患者临床特征与急性嗜酸性粒细胞性肺炎不一致。因此,间质性肺病似乎不是该患者急性肺炎综合征的最可能原因。
传染性肺炎
该患者最可能的诊断是社区获得性肺炎。社区获得性肺炎鉴别诊断范围很广,而且多数患者可能无法明确病原体。然而,治疗应针对最常见病原体,包括肺炎链球菌和非典型病原体(如肺炎支原体、军团菌和肺炎衣原体)。熟悉呼吸道病毒(如季节性流感)流行病学特征,以便准确考虑到病毒性肺炎的诊断。该患者于2020年春季在波士顿就诊,当时处于Covid-19疫情暴发阶段,住院患者数量也迅速增加。实验室检查结果也与Covid-19感染特征一致,包括淋巴细胞减少,以及D-二聚体、铁蛋白、C反应蛋白水平和红细胞沉降率升高。结合患者胸片提示肺野周围斑片状阴影,因此SARS-CoV-2是最可能的病原体。
其他考虑因素
该患者在病史和临床症状诸多方面与我们所知的Covid-19典型特征一致,包括发热、咳嗽、低氧血症、斑片状影以及实验室检查结果异常。然而,该患者还出现呼吸急促恶化和局灶性胸痛,尽管没有特异性,但我们必须警惕急性肺栓塞可能性。
该患者患有Covid-19相关肺炎,低氧血症快速进展表明并发ARDS。然而,该患者病情不断恶化,令我们需要警惕肺栓塞可能,而且肺栓塞可以部分解释患者的低氧血症。这两种疾病在加重患者低氧血症方面会发生协同作用。
ARDS引起低氧血症的机制包括分流和部分肺单位通气灌注比下降;出现严重临床症状肺栓塞患者发生低氧血症主要机制也是通气灌注比下降。当血栓堵塞部分肺血流时,无血液灌注的肺部成为所谓死腔,心输出量将转至肺其他部位。其他部位血液灌注将增加(假设患者未出现右心衰竭),如果患者能够提高局部通气量匹配血液灌注增加,就不会发生低氧血症。如果患者未能充分提高通气量,就会发生低氧血症。急性肺栓塞会引发一系列复杂病理生理过程,包括炎症介质释放,可以引起局部支气管收缩、血管收缩和表面活性物质功能障碍,进一步影响通气灌注匹配度。在该患者中,非栓塞区域因肺炎和ARDS进展导致肺泡通气量无法提高,而未受Covid-19影响区域则因血管栓塞而灌注不足(图2)。
图2. 肺栓塞与ARDS协同效应
Covid-19和肺栓塞之间有关系吗?众所周知,ARDS患者会并发微血管功能障碍,高达30%的ARDS患者有肺栓塞。传统上人们认为这些栓子是血管原位血栓形成,而非源自周围深静脉血栓的栓子。另外需要鉴别的问题是患者血栓与Covid-19直接相关,还是与ARDS直接相关。尽管诊断学原则强调一元论,但在临床实践中,患者情况千差万别,不能机械套用。急性肺栓塞是一个必须排除的危及生命的诊断。因此,除了采集鼻咽标本进行SARS-CoV-2 RNA检测以确定Covid-19诊断外,建议计算机断层(CT)肺血管造影以明确有无肺栓塞。
SARS-CoV-2所致肺炎和急性肺栓塞。
第一项诊断性检查是SARS-CoV-2 RNA检测;患者在急诊室时采集鼻咽拭子,数小时后检测结果显示SARS-CoV-2 RNA为阳性,证实SARS-CoV-2感染。
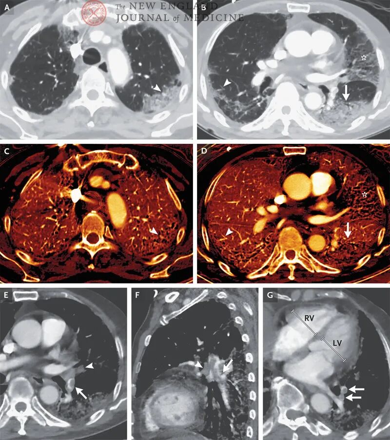
第二项诊断性检查是CT双能量成像(图3),扫描结果显示双肺外周多发磨玻璃样影,并可见肺间质增厚,左肺较右肺严重。部分磨玻璃影周围有实变影。增强相显示血液灌注降低,但与磨玻璃影密度不相称。左下叶动脉和段动脉可见不完全充盈缺损,环状动脉可见血栓闭塞。右心室与左心室大小之比约为1.1。
图3. 胸部CT
早在19世纪,Rudolf Virchow即确定病理性静脉血栓形成的三个因素:血液高凝、血流淤滞以及静脉损伤。该患者虽然没有与血栓形成有关的已知基因突变、恶性肿瘤或既往静脉血栓形成,但他罹患感染和炎症,这会诱发高凝状态。卧床患者容易出现血流瘀滞,特别是ICU患者。内皮损伤最常见原因是手术或外伤,然而Covid-19可引起内皮炎症,这是静脉血栓形成的危险因素,值得特别考虑。
正常内皮细胞通过多种机制发挥抗凝血功能,以保证血流通畅。SARS-CoV-2感染可破坏内皮细胞正常功能,因此易出现高凝状态。血管紧张素转换酶2(ACE2)是SARS-CoV-2功能受体,在肺和小肠上皮以及血管内皮上大量表达。SARS-CoV-2感染导致内皮炎,因此容易发生血栓形成。
SARS-CoV-2在肺中增殖,导致内皮细胞损伤,同时SARS-CoV-2直接侵犯内皮细胞膜可引起肺部微血管和内皮结构破坏。内皮细胞炎症现在被认为是SARS-CoV-2感染特征;本例患者实验室检查结果也可观察到这些特征:血清D-二聚体、纤维蛋白原、C-反应蛋白和铁蛋白明显升高。Covid-19典型实验室检查结果与弥散性血管内凝血常见特征相反。
该患者检查结果与Covid-19更相符,即炎症标志物明显升高,而凝血酶原时间、活化部分凝血活酶时间和血小板计数相对保持不变。
由于D-二聚体水平在多种生理和病理生理状态下都会升高,因此单独D-二聚体升高并不足以确诊静脉血栓栓塞症,即使SARS-CoV-2感染患者亦是如此。在Covid-19患者中,D-二聚体水平的升高与结局不良相关,包括入住ICU、需要机械通气、血栓形成、出血和死亡。因为在SARS-CoV-2感染患者中目前缺乏鉴别血栓形成和内皮损伤的D-二聚体水平阈值,所以对于呼吸困难恶化或低血压与胸片检查结果不相称的患者,临床上要高度怀疑血栓栓塞症,需要进一步完善影像诊断。
一旦肺动脉血栓确诊,就需要进行风险分层,以制定适宜的治疗策略,即需要机械干预还是单纯抗凝治疗。这种评估主要基于血流动力学参数。肺栓塞严重程度指数根据患者死亡风险高低进行分层,包括血压、心率、氧饱和度、年龄以及恶性肿瘤、肺病或心力衰竭病史。评分系统其他因素包括呼吸频率、性别、精神状态和体温。当患者收缩压低于90 mmHg或需要使用升压药物支持时,归为大面积肺栓塞;当肺栓塞严重程度指数表明风险较高或有右心室功能障碍证据时,被定义为次大面积肺栓塞。大面积或次大面积肺栓塞最好采用机械干预。该患者血流动力学稳定,因此属于风险较低的肺栓塞,只需抗凝治疗即可。
肺栓塞患者尽早获得治疗性抗凝效果可降低死亡率。然而,通过逐渐调整普通肝素剂量通常无法在治疗开始后48小时内使活化部分凝血活酶时间达到目标范围。根据体重给予低分子肝素的疗效更易预测,而且进一步血栓形成和出血风险更低。一线使用口服直接抗凝剂对低风险肺栓塞患者也是合适的。对于该例患者,医生选择低分子肝素,目的是确保尽快达到治疗目标,将职业暴露降至每天两次注射,并避免药物相互作用。
由于该患者在住院期间诊断为静脉血栓栓塞症,因此属于诱发型静脉血栓栓塞症。对于诱发型静脉血栓栓塞症,通常建议短期抗凝治疗,而对于非诱发型静脉血栓栓塞症,则应进行长期抗凝治疗。
患者收入重症监护病房,接受监护治疗3天。医生密切监测患者的氧合情况,并用依诺肝素治疗肺栓塞。在此期间,通过鼻导管吸氧(6 L/分)可维持氧合。3天后患者转至普通病房。患者开始出现有临床意义的胸痛和误吸(误吸间断导致低氧血症)。鼻腔和口腔开始大出血。在姑息治疗服务机构协助下,患者和家属决定将治疗目标改为临终关怀。最终,患者在住院第16天平静去世。
SARS-CoV-2所致肺炎和急性肺栓塞。
参考文献
版权信息
本文由《NEJM医学前沿》编辑部负责翻译、编写或约稿。对于源自NEJM集团旗下英文产品的翻译和编写文章,内容请以英文原版为准。中译全文以及所含图表等,由马萨诸塞州医学会NEJM集团独家授权。如需转载,请联系nejmqianyan@nejmqianyan.cn。未经授权的翻译是侵权行为,版权方保留追究法律责任的权利。