请大家看完文多多敲击【点赞、在看、转发】!
老规矩,每一天的某篇推送结尾处,藏有一个爱的福利“小彩蛋”,快行动起来找找吧!
最近,伊朗多个城市的民众都走上街头,为无辜逝去的年轻女孩Mahsa Amini抗议发声。
9月13日,22岁的阿米尼和兄弟一起前往伊朗首都德黑兰,准备去拜访亲戚。
然而在离开地铁站时,她却被“道德警察”逮捕了……
理由是:她以“不当方式”佩戴头巾,没有完全遮住头发。
阿米尼被道德警察带走拘留,接受关于着装的“指导课程”。
然而,在她被逮捕两个小时后,她因为不明原因陷入了昏迷,并在三天后死亡。
一个年轻健康的女孩,就因为没戴好头巾被捕,然后再也没能活着回家……
阿米尼的家人,陷入了巨大的悲恸之中。
伊朗警方声称,阿米尼当时心脏病发作,他们尽了最大努力,却没能把她救回来。
但阿米尼的家人不接受这个说法……
阿米尼的父亲称:“我的女儿从来没有心脏病,她一直身体健康,十分正常!而且,如果真的如他们所说,为什么她的身上有淤青?”
有目击者称,她在被带到拘留中心的路上,在警车里就遭到了殴打。
有医生根据被公布出的阿米尼的住院照片分析,耳出血可能意味着她的昏迷是头部外伤所致。
负责抢救阿米尼的德黑兰卡斯拉医院中,有医生匿名爆料称:
“在她被转移到医院时,阿米尼的情况已经不可能活下来。我们无法挽救她、无法进行手术。她的脑组织严重受损,肺部充满血液。
她应该不是受到了某一次重击,而是头部遭受了多次殴打。”
但伊朗警方再次否认了一切相关说法,称当天没有不恰当行为。
他们公布了当天的监控录像,录像显示阿米尼在接受“着装指导”时,站起来与一位触摸她衣服的“专家”交谈,随后就突然倒在地上。
“没有人殴打她,她只是突然身体不适,摔倒在地。”
官方公布的录像更是火上浇油,不仅没能平息人们的质疑,反而让群众的怒火更甚。
因为有人发现——这段录像是遭到过剪辑的!
在视频的第19秒,画面忽然变暗,就像是从白天变到了黄昏。
如果真的没问题,为什么要剪辑这段视频?
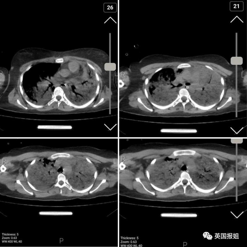
在此之后,数十张被公布的CT扫描结果更是让人们的愤怒达到了顶峰。
9月19日,数张CT扫描影像被匿名发送给了伊朗国际组织和媒体。
影像显示,她头部右侧的颅骨骨折、出血、脑水肿;胸部有双侧弥漫性肺泡出血,与脑外伤引起的急性呼吸窘迫综合征症状相符。
越来越多的证据,与一口咬定这只是心脏病发作的官方,让伊朗群众越来越气愤。
她的死,迅速登上了报纸的头版头条。
无数抗议随之而至。
阿米尼的葬礼迅速而草率,官方用了最大限度将这件事情压下去,甚至没有一张葬礼的照片流出。
但是,人们的注意力却没有被转移。
“我们要还阿米尼一个公道!”
最开始发声的,是阿米尼的家乡库尔德,以及首都德黑兰。
随后,抗议活动迅速蔓延到伊朗全国。
几乎每一个城市都有人走上街头,开始喊着口号,抗议“道德警察”的随意逮捕,以及阿米尼受到的不公正待遇。
为什么仅仅只是“没有佩戴好头巾”,就要被虐待致死?
为什么在政府上台后,所有女性都要小心翼翼地戴好头巾?
为什么“道德警察”拥有随意逮捕、拘禁的权力,而人们却要交出更多选择的自由?
被压迫的女性们聚集起来,带着她们的闺蜜、朋友一起为了阿米尼呼喊。
她们与阿米尼素不相识,但这一刻却如同姐妹,感同身受。
阿米尼所遭受的不公正待遇,随时可能会发生在每一个伊朗女性的身上——如果有哪一天,她们的头巾不慎“佩戴不当”,会不会也被拉走、被虐待致死?
愤怒和恐惧让人群聚集,她们大声喊着口号,表达着自己的抗议。
她们呼喊着:“女性、生命、自由!”
很多人摘下头巾拿在手上高高举起,像一面昂扬的旗帜。
有人甚至当街烧毁头巾,用熊熊燃烧的火焰来抗议。
除了这些女性外,有很多男性也走上街头,抗议警察的不当做法。
他们同样对道德警察的做法异常不满,希望能够为阿米尼伸张正义。
伊朗警方对这些聚集人群,立刻进行了驱散。
他们向人群发射催泪瓦斯,持警棍殴打,有视频显示警察直接将反抗者按压在地,拖拽着带走。
在一些地方,警察甚至直接用霰弹枪对准人群开枪。
根据人权组织报道,至少有38人因此受伤,5人死亡。
发生激烈抗议的城市道路被封锁,禁止邻近城市的哀悼者进入。
同时,首都德黑兰被断网,死者家属的手机被没收……
抗议被镇压,但人们的愤怒无法消失。
因为他们的愤怒不止来源于这一件事情,而是无数件事情的累加。
曾经,伊朗女性并不需要佩戴头巾。
她们可以穿任何衣服,和男性一样接受教育,做任何想做的事情。
但这一切都在1979年的一道禁令后,成为了过眼云烟。
而在这些年中,针对强制佩戴头巾的执法力度越来越大。
2019年,一名两岁女孩的妈妈因为站在中心革命广场挥舞头巾而被逮捕,判处有期徒刑一年。
2020年,曾经主演过2017奥斯卡最佳外语片《推销员》的伊朗女星塔拉内·阿里多斯蒂,因为转发了一则视频而被判处五个月的监禁。
在这个视频中,一名女性因为未戴头巾而被道德警察殴打。
2021年,伊朗最高领袖下令:动画中的女性人物应该佩戴头巾。
2022年,伊朗政府发布法令,计划使用面部识别技术,打击不佩戴头巾的女性。
伊朗宣称要启用面部识别技术,是因为在今年7月的“头巾贞洁日”后,很多女性为了抗议,在社交媒体上发布了她们在街头、公共汽车以及火车上露出头发的视频。
而伊朗立刻下令,用一连串的逮捕、拘留和公开强迫招供作为回应,1700多人因为与头巾有关的原因被传唤到拘留中心。
因为任何原因摘下头巾、头巾宽松,甚至是佩戴黑色以外的头巾,都有可能会让女性成为下一个被传唤的人。
其中,有一名28岁的女性Sepideh Rashno,在社交媒体上发布了一段视频,显示她因为未佩戴头巾而在公共汽车上被骚扰、强制驱逐下车。
在发布视频后,她被伊朗警方逮捕。
7月30日,她出现在国家电视台中,被迫戴着头巾向骚扰她的人道歉。
而她的脸上有明显的被殴打、虐待的痕迹。
但这并没有吓退为了自由而战的女性。
在阿米尼过世后, #阿米尼#标签,在推特上被提及了200万次。
有人为她创作了漫画。
也有人发布了各个城市发生的抗议录像视频,为她鸣不平。
在线下的抗议被驱散后,人们的愤怒被打散,却成为了一个又一个小火苗,燃烧到了更广泛的地方。
在社交媒体上,女性剪掉自己的头发,烧掉自己的头巾,以示自己对阿米尼的支持,对头巾强制令的抗议。
她们的抗争,是值得敬佩的。
在这样的环境中,每一次反抗呐喊,哪怕只是在网络上转发发声,都需要莫大的勇气。
但是没有人退缩,熠熠生辉的勇气之光,让全世界为之动容。
戴头巾应该是一种选择,而非一种强制。
也祝愿她们能够得到自己想要的未来……
🔗世纪送别!女王国葬轰动世界,夏洛特小公主出席成焦点!网友:和女王一模一样……
🔗绝美维密超模约会金卡戴珊前夫,时装周亲密同行!网友震惊:为啥会看上他?
🔗200万难民引美国危机!州长怒送两车难民到副总统家:看你干的好事