The following article is from 华人生活网 Author 美国一梦华胥
>关注华人自己的生活互助平台,Welcome 2 follow us 立足美国,面向中国与海外华人,每天只是为您提供及时的华人资讯与华人生活服务信息。华人互助社区,上当受骗,求助,投稿,吐槽欢迎平台给留言我们,谢谢!
GNYlife.com 是你阅读本文的另一条渠道。
精彩视频:#视频号:大纽约吃喝玩乐
新泽西州木桥市的科洛尼亚高中( Colonia High School in Woodbridge)一夜之间成为了美国关注的焦点。
原来一项不经意的调查竟然发现,这所高中已经有至少100人患上了恶性脑癌(胶质母细胞瘤),这难道是巧合吗?
50岁的卢皮亚诺(Al Lupiano)是一位环境科学家,他也曾是木桥镇(Woodbridge Township)学区科洛尼亚高中毕业的学生。
早于1990年代后期,当时27岁的卢皮亚诺就被诊断出患有脑瘤,他其后从疾病中康复。
去年,他同样曾就读于科洛尼亚高中的妻子,也被诊断出患有罕见脑瘤。
就在同一天,卢皮亚诺的妹妹科洛尼亚的另一位科洛尼亚高中曾经的学生德西利斯(Angela DeCillis)也得知自己患脑癌的噩耗。
这一系列的巧合,让卢皮亚诺开始反思。
不久44岁的妹妹因脑癌恶化去世,卢皮亚诺相信他们曾经所在的高中是这一系列悲剧的起始点,于是他建立了洛尼亚高中“脑癌群组之谜”。
让他没有想到的是,不到6周时间,竟然找到了100名该校校友患有这种罕见脑癌。
该高中毕业生珍妮丝在2012年死于脑瘤,当时她只有38岁
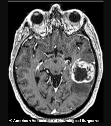
绝大多数患有脑瘤的人于1975至2000年间毕业,但最近的一起案例则是2014年刚刚毕业的。这些患者所诊断包括几种类型的原发性脑肿瘤,包括胶质母细胞瘤等。这种癌症极为罕见,根据美国神经外科医师协会的数据,胶质母细胞瘤的发病率为10万分之3.21。
卢皮亚诺誓言要解开为什么这所高中,竟然有这么多人患上极罕见恶性脑瘤的谜团。
事件引起全国报道,人们开始关注这一事件,也让官方注意到此中的蹊跷,4月12日当地政府正式批准了对学校的紧急调查。
木桥镇市长麦考马克发声明表示,“这里可能存在真正的问题,居民应该有权知道是否存在任何危险。我们都很担心,希望查明真相,这事绝对不正常。
当局将从本周末开始,在占地28亩的校园内进行各种放射学评估,包括对室内空气样本进行检测。
新州顶级神经肿瘤学家拉瓦尔说,“这是一个非常重大发现,通常来说,在高中内不会受到辐射影响,除非该地区有一些我们不知道的事情。”
卢皮亚诺自己认为有可能与第一颗原子弹有关,据悉,这所学校距离米德尔塞克斯采样厂不到12哩,那是“曼哈顿计划”之下的工厂之一,被用来粉碎、干燥、储存、包装和运输铀矿石,用于开发原子弹。
一些被污染的土壤在1967年该厂关闭后被移走,但同年科洛尼亚高中也建成了。此前该地区是一片森林,而高中是当时那里最新的建筑。
作为环境学家,他说:“我发现令人震惊的是,确实只有一种环境与原发性脑瘤有关,那就是电离辐射。这不是受污染的水。它不是空气。它不是土壤中的东西。它不是由于坏习惯而对我们做的事情。”
他还对媒体讲到了1975年5月发生在这所学校的一件怪事。
当时学生们和老师正在上科学课,一名教师在教学生们练习使用盖革计数器时,在一块石头上采集巨大的辐射读数,那节科学课因此被暂停。
全班同学都惊奇地看着这块板条色的鹅卵石点亮了显示器,老师也很困惑。
几分钟后,学校被紧急疏散,一个穿着防毒服的小组赶来测试该物体,后来那块石头被带走,但是据当时的学生说,后来学校曾表示没有危险。
该市市长表示:"唯一可能发生的事情,有可能是建筑过程中带来的填料。但我们没有55年前的记录。所以目前只能等待调查结果。”
目前州卫生局、环境保护局和联邦有毒物质和疾病登记局都在进行调查。
卢皮亚诺说曾在妹妹临终前发誓,一定要揭开疾病的原因,并表示一天不找到原因,我一天就不能停下来。
但同时他的“发现”也引发了目前在校学生的恐慌,据悉洛尼亚高中目前有1300多名在读学生,许多人因此感到“焦虑”,不敢再上学。
胶质母细胞瘤是一种最常见的脑部原发性癌症,临床也常简称“胶母”,是胶质瘤的一种,也称“胶质瘤四级”,约一半的胶质瘤患者为胶质母细胞瘤,是神经外科最常见的恶性肿瘤。这是一种能迅速恶化的癌症。
我们都知道总统拜登非常怀念自己已故的大儿子博,他当年就是由于患上这种癌症。
有哪些症状?
持续的头痛。
复视或模糊的视力。
呕吐。
食欲不振。
情绪和性格的变化。
癫痫发作。
逐渐出现的语言问题。
由于多种原因胶质母细胞瘤的治疗非常困难:
癌细胞对经典疗法抵抗力非常强
经典疗法可能导致脑伤害
脑修补恢复自己的能力有限
许多药物无法通过脑血管障壁来对肿瘤起作用
因此对它的治疗主要在于减轻病状以及姑息性的治疗。
存活率是多少?
美国神经外科医生协会说,大约40%的患者在被诊断后存活超过一年。只有17%的患者在诊断后存活超过两年。专家警告说,如果不进行治疗,它可能在六个月内导致死亡。
治愈后长期不复发是可能的,但一般来说胶质母细胞瘤会复发,一般在原址附近三厘米处内,10-20%的情况下在别的地方。更多手术和复发后强烈地区性治疗能够改善病情。
我有风险吗?
这种癌症最常被诊断为64岁左右的男性,尽管它可以发生在所有性别和年龄组的人身上。
来源:华人生活网。版权归原作者所有
所有观点代表作者观点,本平台仅作分享
招聘室内装修助手
【喜讯】一期基金成功退出,IRR年化收益35.4%!C-Star基金创始人专访
纽约已现“高风险” 新变种 威力更强! 全球5亿人染疫 多国这才想起口罩令…
震惊! 美国华裔名师被控强奸小学生2年! 哥大毕业 曾任教麻省理工!
点击上方标题阅读推荐文章 ▲
欢迎投稿!
投稿请加微信ID: usa001888,说明投稿意愿。投稿电子邮箱:gny-editor@usacmedia.com
如果此文由【大纽约生活网 GNYLife.com】独家约稿、创作,此作品未经授权,严禁转载,否则追究法律责任。如果此文由本网独家整理编辑,取自网络的图片属于原作者。文章内容仅代表作者本人观点,不代表本网观点或立场。编辑致力于保护作者版权,部分作品来自互联网,如涉侵权,请联系删除。微信号:GreaterNY。