医学美图:白光寻胃癌8(特殊胃癌)

2017-08-21 一听倾心 扫地僧一听 扫地僧一听

本公众号仅做为学习笔记使用


一个胃六张图,找找胃癌在何处?

 今天不多见,文末有大餐  


Q:胃癌在何处?

提示:请注意特殊胃癌




A:胃癌在图4及图5。HP未感染胃癌。

背景粘膜RAC阳性,提示HP未感染。穹隆部后壁可见一小片褪色粘膜,边界清晰,表面光滑,腺管扩张,伴随有蛇形血管。


靛胭脂染色后表面光滑,未见凸凹变化


NBI观察周围粘膜呈褐色改变,边界不甚清晰。


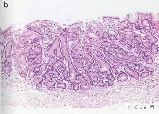
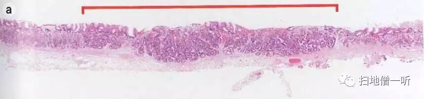
HE染色低倍镜观察红色为病变区域,周围区域为胃底腺区域


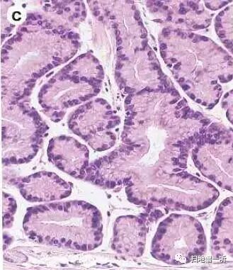
HE染色中倍镜观察病变区域粘膜中-深层可见轻度大小不等存在分枝的腺管密集增生


HE染色高倍镜观察可见细胞核类圆形排列于基底侧,胞浆淡嗜碱性,形态类似主细胞。考虑为粘膜内胃底腺型胃癌(主细胞优位型)。免疫组化染色:pepsinogen-I\muc6广泛阳性,H+/K+ATP极少阳性。


最终病理诊断:

穹隆部后壁,O-IIb,6mm,胃底腺型胃癌,T1a (M),UL(-)


小结:

  • HP未感染背景下注意观察胃底腺型胃癌

  • 胃底腺性胃癌表现为平坦的褪色病变,表面扩张伴随蛇形血管

  • 胃底腺性胃癌注意与MALT淋巴瘤及类癌相鉴别





 拓展知识:胃底腺型胃癌 


  • 胃底腺型胃癌为2010年左右提出的胃癌新亚型。发生于粘膜深层的胃底腺,表层覆盖正常非肿瘤上皮。细胞形态增殖类似粘膜深部的主细胞、壁细胞、副细胞(粘液颈细胞)等。免疫组化可区分主细胞pepsinogen-I阳性,壁细胞H+/K+ATP阳性,副细胞muc6阳性。

  • 胃底腺型胃癌好发于高龄患者胃体上部,多见于HP阴性者。小病变即可出现粘膜下浸润,细胞增殖活性与脉管侵袭性极低,属于低度恶性肿瘤,预后较好。

  • 内镜所见典型表现为SMT样扁平隆起型形态,退色调,表面扩张多伴蛇形树枝状血管。当表现为IIa型病变时与类癌相鉴别;当表现为IIb型病变时与淋巴瘤相鉴别。




病例1:此例胃底腺型胃癌与MALT淋巴瘤从白光形态及NBI+放大观察下均难以鉴别,最终依靠病理确诊。

胃体中部大弯,O-IIb,15mm,胃底腺型胃癌,T1b (SM1,400um),UL(-)


病例2:此例胃底腺型胃癌呈微小SMT样形态与类癌从白光形态及NBI+放大观察下均难以鉴别,最终依靠病理确诊。

胃体中部大弯,O-IIa,2mm,胃底腺型胃癌,T1a (M),UL(-)


 对比淋巴瘤 


 对比类癌病例 


  实在搞不清的时候别忘了病理哦!


 普通内镜特点:特点:

  • SMT样平坦隆起

  • 褪色

  • 扩张的树枝状血管

  • 背景无萎缩

 NBI 观察特点:

  • 没有清晰的DL

  • 隐窝开口变大

  • 窝间部变大

  • 缺乏异型微小血管


以上病例来源于此书,如有兴趣可购买原版阅读。



医学美图:白光寻胃癌1


医学美图:白光寻胃癌2


医学美图:白光寻胃癌3


医学美图:白光寻胃癌4


医学美图:白光寻胃癌5


医学美图:白光寻胃癌6


医学美图:白光寻胃癌7