医学美图:春间 . 川口病

2017-08-22 一听倾心 扫地僧一听 扫地僧一听

在往期文《胃内的HP还在不在》中有这样一幅图被定义为白色扁平隆起(春间.川口病)。文末很多人对“春间.川口病”比较感兴趣,并表示未能查阅到相关资料。笔者查找了一下资料库,现特做一简单介绍,以供大家参考。



 多发性白色扁平隆起(春间.川口病变

Multiple white flat lesions(Haruma and Kawaguchi lesion


 疾患概述:


胃体上部穹隆部存在多发扁平白色隆起性病变。作为新病变报告数较少。

川口等人在第73届日本消化器内镜学会第一次以“胃体部可见白色扁平隆起的研究”为题报告了20例。


病例特点:男女比例7:13,女性多见;平均年龄68.1岁(38-92岁);20例中13例(65%)有长期口服PPI及H2受体阻滞剂的药物史。病理组织学提示为胃底腺的腺窝上皮增生性变化。


自此报告以来,长期口服PPI的患者中,胃体上部穹隆部详细观察,经常会发现其存在白色多发扁平隆起的病例,目前称呼为“春间.川口病变”。远视镜可能存在观察不清等情况,借助于NBI及BLI常常可较容易地发现病变。


有报道称,PPI等抑酸药物的长期使用可使胃底腺息肉增多,增大。停用抑酸药物后胃底腺息肉可逐渐缩小。其发生机制可能存在胃酸抑制药物伴发高胃泌素血症,白色扁平隆起病变的发生可能与此有关。明确的发病机制仍有待进一步研究。


目前反流性食管炎患者长期服用PPI治疗,预计今后其白色扁平隆起可能会有所增加。



 内镜所见:


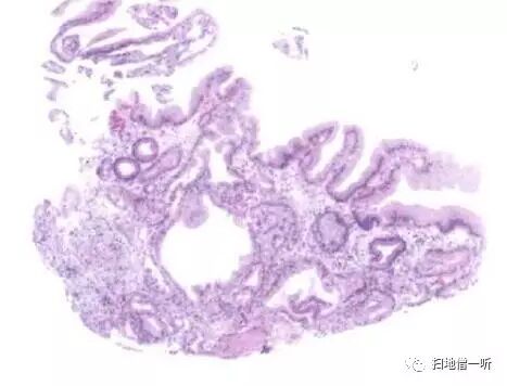
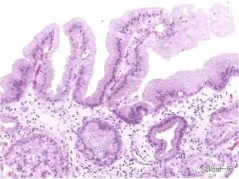
病例1:78岁男性,HP除菌后出现反流性食管炎,口服PPI治疗。内镜可见胃体大弯散在多发扁平白色微隆起病变。BLI显示病变更为清晰。

病理组织学可见腺窝上皮增生性变化,腺管囊状扩张


病例2:83岁女性,HP未感染,反流性食管炎治疗口服PPI。内镜可见胃体部穹隆部散在多发扁平白色隆起。LCI显示病变更为清晰。


病例3:65岁男性,HP未感染,反流性食管炎治疗长期口服PPI。内镜可见胃体部大弯散在小的多发扁平白色隆起。BLI放大观察可见表面呈管状粘膜结构。



 鉴别诊断:


胃体部多发扁平隆起常与肠上皮化生及胃底腺息肉相鉴别。


肠上皮化生:好发胃窦部局限存在,进展后可发展至胃底胃体,呈灰白色调多发扁平隆起,隆起与隆起之间可融合。背景粘膜多为高度萎缩变化。


胃底腺息肉:为胃底腺区域多发隆起,形态以山田II及山田III型多见,隆起较高,常伴表面血管扩张。