医学美图:白光寻胃癌10(年轻胃癌)

2017-08-24 一听倾心 扫地僧一听 扫地僧一听

本公众号仅做为学习笔记使用

一个胃六张图,找找胃癌在何处?


患者为一30岁女性体检胃镜检查。

Q:1.胃癌在何处? 2.年轻女性的胃癌病理类型多为?

提示:请注意退色调变化




A:胃癌在图6。HP感染胃癌。

背景为C-2型萎缩粘膜。黄色虚线为萎缩边界(F腺),肛侧萎缩明显,口侧大弯可见三角形褪色区域考虑病变所在。此种褪色病变需要考虑鉴别诊断:1.未分化癌?2.局灶萎缩?3.MALT淋巴瘤?

靛胭脂喷洒后可见萎缩线口侧病变区域更加明显。萎缩?未分化癌?MALT淋巴瘤?三者需要做鉴别。鉴于本例境界较为清晰,则需要在未分化与MALT之间做鉴别。

萎缩线的肛侧粘膜可见多发弥漫性小隆起,称为鸟肌样胃炎(鸡皮样胃炎、结节样胃炎),其为HP感染后淋巴滤泡反应性增生所致。报道称年轻人的鸟肌胃炎常有未分化癌的高发。

未分化癌与MALT淋巴瘤鉴别:

MALT淋巴瘤可成多种形态,当其表现为退色调病变时常常与未分化难以鉴别


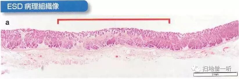
HE染色低倍镜观察可见病变区域以外的粘膜为胃体非萎缩粘膜,病变部(红色线部分)与周围粘膜不存在明显高度差。


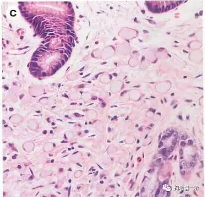
HE染色中倍镜观察病变区域可见粘膜中层(腺颈部)腺窝上皮与胃底腺之间存在带状病变区域,淡嗜酸性胞浆的印戒细胞存在。

高倍镜观察腺颈部印戒细胞癌


最终病理诊断:

胃角大弯,O-IIb,10mm,sig,T1a (M),UL(-)


小结:

  • 年轻人的筛查警惕未分化癌

  • 萎缩边界附近有意识的重点观察

  • 鸟肌样胃炎是HP感染征象

  • 鸟肌样胃炎为未分化癌的高发地



比较病例:

鸟肌胃炎


MALT淋巴瘤



以上病例来源于此书,如有兴趣可购买原版阅读。



医学美图:白光寻胃癌1


医学美图:白光寻胃癌2


医学美图:白光寻胃癌3


医学美图:白光寻胃癌4


医学美图:白光寻胃癌5


医学美图:白光寻胃癌6


医学美图:白光寻胃癌7


医学美图:白光寻胃癌8


医学美图:白光寻胃癌9