医学美图:白光寻胃癌14

2017-09-07 一听倾心 扫地僧一听 扫地僧一听

本公众号仅做为学习笔记使用

一个胃六张图,找找胃癌在何处?


患者为一50岁男性,慢性胃炎每年例行胃镜检查,5年前曾有HP根除史。

Q:胃癌在何处?

提示:注意胃癌附带的表现




A:病变胃癌在图2。HP除菌后胃癌。


背景粘膜呈C-2型萎缩表现。萎缩领域容易出现分化型癌。胃窦部可见散在多发陈旧性血痂附着(白圈),此为HP阴性或除菌后表现。胃角小弯存在一新鲜出血灶(红圈)明显不同于其他,称为自发性出血。此为提示胃癌的附属表现之一。原因可能因为癌组织较正常粘膜质脆,内镜触碰或者因冲洗等原因而诱发新鲜出血。


NBI及靛胭脂染色后可见病灶处存在凹陷性病变,边界未见典型的胃癌虫蚀样不整表现,此情况与糜烂鉴别困难。鉴于自然出血为癌性多见,故行活检,提示高分化腺癌,后行ESD治疗。


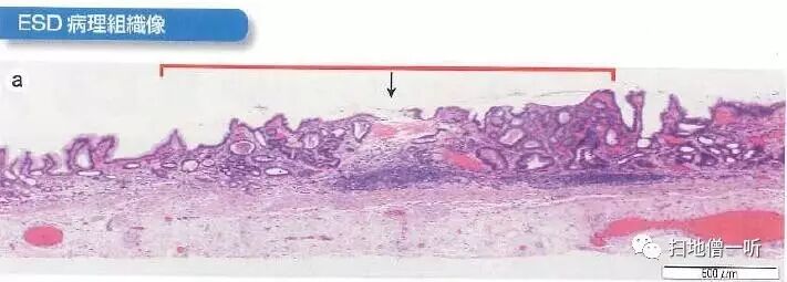
箭头处为自发出血处。高倍镜下可见高分化管状腺癌腺体。


 最终病理诊断:

胃角小弯,O-IIc,2mm,tub1,T1a (M),UL(-)


 病例小结:

  • 萎缩领域分化癌多见

  • 自然出血为胃癌表现之一

  • 微小胃癌恶性表现可能不明显

  • 多发性陈旧性血痂附着为HP阴性或除菌后表现


 对比病例:

早期胃癌伴自然出血

胃角小弯前壁粘膜皱襞在充气过程中诱发自然出血。


接近观察可见出血病灶处为一凹陷性病变。


靛胭脂染色后边界清晰,边界蚕食像,怀疑高分化腺癌。病变周围可见反应性增生隆起。


 ESD术后最终病理诊断:

胃角小弯前壁,O-IIc,10mm,tub1,T1a (M),UL(-)



以上病例来源于此书,如有兴趣可购买原版阅读。



医学美图:白光寻胃癌1


医学美图:白光寻胃癌2


医学美图:白光寻胃癌3


医学美图:白光寻胃癌4


医学美图:白光寻胃癌5


医学美图:白光寻胃癌6


医学美图:白光寻胃癌7


医学美图:白光寻胃癌8


医学美图:白光寻胃癌9


医学美图:白光寻胃癌10


医学美图:白光寻胃癌11


医学美图:白光寻胃癌12


医学美图:白光寻胃癌13