医学美图:白光寻胃癌17

2017-09-26 一听倾心 扫地僧一听 扫地僧一听

本公众号仅做为学习笔记使用

一个胃六张图,找找胃癌在何处?


患者为一60岁女性,因胃部不适行胃镜检查,无HP除菌史,碳呼气试验阴性,血清学HP抗体阴性。

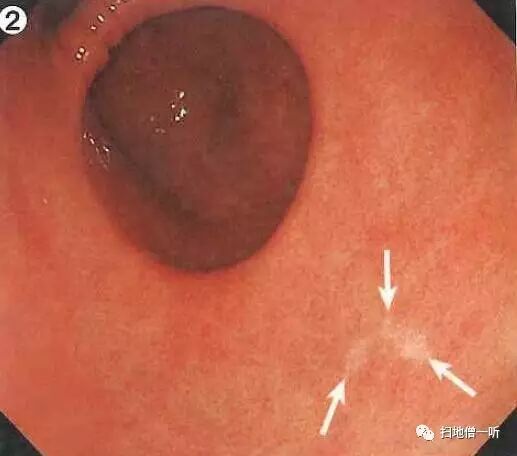
Q:胃癌在何处?

提示:注意退色调粘膜表现




A:病变胃癌在图2。HP阴性胃癌。


背景粘膜为均一橙色,体部RAC可辨,散在胃底腺息肉,此为典型的HP异型胃内所见。HP阴性胃应警惕印戒细胞癌,初期表现为IIb退色调粘膜变化。本例在胃窦大弯可见一“ ^ ”形单发褪色粘膜区域,高度怀疑肿瘤性病变。

接近后白光观察:除存在色调之外与周围粘膜未见明确差异性改变。

靛胭脂染色后病变的凸凹及胃小区变化不明显。


 最终病理诊断:

胃窦大弯,O-IIb,4mm,sig,T1a (M),UL(-)


 病例小结:

  • HP未感染病例警惕未分化癌,特别是印戒细胞癌

  • 未分化癌往往呈退色调变化



以上病例来源于此书,如有兴趣可购买原版阅读。



医学美图:白光寻胃癌1


医学美图:白光寻胃癌2


医学美图:白光寻胃癌3


医学美图:白光寻胃癌4


医学美图:白光寻胃癌5


医学美图:白光寻胃癌6


医学美图:白光寻胃癌7


医学美图:白光寻胃癌8


医学美图:白光寻胃癌9


医学美图:白光寻胃癌10


医学美图:白光寻胃癌11


医学美图:白光寻胃癌12


医学美图:白光寻胃癌13


医学美图:白光寻胃癌14


医学美图:白光寻胃癌15


医学美图:白光寻胃癌16