医学美图:白光寻胃癌18

2017-09-28 一听倾心 扫地僧一听 扫地僧一听

本公众号仅做为学习笔记使用

一个胃六张图,找找胃癌在何处?


患者为一60岁男性,前列腺癌及肺癌患者,因烧心主诉而行胃镜检查。

Q:恶性肿瘤在何处?

提示:注意红色调粘膜表现




A:病变胃癌在图1。HP未感染Barrett腺癌。


背景粘膜RAC可见。胃粘膜整体光泽度较好,考虑HP未感染。食道为结合部(EGJ)2点方向可见发红扁平隆起性病变。

下图蓝色虚线为珊状血管下端,黄色虚线为鳞状上皮与柱状上皮结合部(SCJ);2点钟方向可见发红的扁平隆起,表面粗糙,高度怀疑Barrett腺癌。

下图为翻转内镜观察病变区域部分边界略显模糊。

NBI非放大下观察病变呈茶褐色,边界清晰。

靛胭脂染色对照下,红色病变及边界更加清晰。


ESD标本:左侧为胃侧,右侧为食道侧。红色区域为肿瘤区域。黄色三角为鳞状上皮岛;蓝色箭头标注为粘膜下层食管固有腺导管;


病变胃侧弱放大:粘膜内中分化管状腺癌,蓝色箭头标记为粘膜下食管固有腺。


病变食管侧弱放大:粘膜内高~中分化管状腺癌,口侧存在上皮下进展。


病变中心部弱放大:粘膜内密集增生中分化管状腺管。粘膜肌多层化,粘膜下层纤维化伴浸润性增殖腺管,浸润灶旁可见蓝色箭头标记出的固有腺及导管。测量粘膜下层浸润深度为500um。

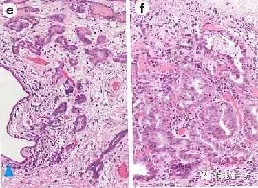
e粘膜下层浸润部放大看见腺管成中低分化成分

f粘膜层内强放大以高分化为主。


 最终病理诊断:

Ae,8mm,tub2>tub1>por2,T1b-SM2(500um)


 病例小结:

  • 珊状血管下端确定EGJ

  • Barrett上皮内右侧壁发红的隆起性病变需怀疑Barrett腺癌

  • Barrett腺癌好发于50岁男性,以右侧多见,多为隆起性发红病变,可能与酸反流相关

 对比病例:请体会一下以下疾患各自的特点 


反流性食管炎


SSBE


Barrett腺癌



以上病例来源于此书,如有兴趣可购买原版阅读。



医学美图:白光寻胃癌1


医学美图:白光寻胃癌2


医学美图:白光寻胃癌3


医学美图:白光寻胃癌4


医学美图:白光寻胃癌5


医学美图:白光寻胃癌6


医学美图:白光寻胃癌7


医学美图:白光寻胃癌8


医学美图:白光寻胃癌9


医学美图:白光寻胃癌10


医学美图:白光寻胃癌11


医学美图:白光寻胃癌12


医学美图:白光寻胃癌13


医学美图:白光寻胃癌14


医学美图:白光寻胃癌15


医学美图:白光寻胃癌16


医学美图:白光寻胃癌17