2018.1.1:白光早癌合集

2018-01-01 一听倾心 扫地僧一听 扫地僧一听

2017年已经过去,2018年已经开始

友情提示:内容特别特别特别特别多

预计阅读时间可能要花很久很久很久

......

啥都不说,就是图多


【1】

Q:胃癌在何处?

提示:请注意粘膜凸凹的变化。



A:胃癌在图1。HP现症感染胃癌。


背景粘膜为O-1型萎缩。胃窦大弯前壁可见一中央凹陷周边隆起性病变。考虑为IIC型病变伴周围反应性隆起。


靠近观察可见凹陷面周围确有隆起。随蠕动动态观察正面观可见凹陷面呈棘状或蚕食状(黄圈部分)高度怀疑高分化腺癌。


靛胭脂染色后凹陷面界限更加清晰,周围隆起部分粘膜同周围背景粘膜,故为反应性隆起的非癌粘膜。


最终诊断:胃窦大弯前壁,O-IIc,5mm,tub1,T1a(M),UL(-)


小结:背景粘膜判断有无HP感染

            反应性隆起常见于胃癌

            蚕食像应高度怀疑胃癌



补充:胃体部均一的发红粘膜、糜烂性发红、大弯粘膜肿胀蛇形、粘膜不易冲洗等均提示HP感染。


对照下图为HP阴性的大弯粘膜表现。


【2】


Q:胃癌在何处?

提示:请注意粘膜色泽的变化




A:胃癌在图3及图6。HP现症感染胃癌。


背景粘膜为O-3型萎缩、肠上皮化生、弥漫性发红。胃体下部前壁可见小片粘膜发红,伴毛细血管扩张。毛细血管扩张常常提示癌性病变,需进行详细观察。正面观察时凸凹感不强。


切线位观察明确其为红色凹陷性病变。


NBI非放大模式下观察可见褐色凹陷区域。


靛胭脂染色后观察可见凹陷区域内胃小区不鲜明化,边界清晰。


抽气后切线位观察凹陷更加明显。


最终诊断:胃体下部前壁,O-IIc,10mm,tub1,T1a(M),UL(-)


小结:发现病变后需要通过改变距离,空气量,角度等进一步详尽观察

            扩张的毛细血管伴凹陷考虑癌性病变。



补充:胃体大弯前壁可见粘膜肿胀饱满,点状发红,提示为HP感染。

 


【3】

Q:胃癌在何处?

提示:请注意粘膜色泽特别是褪色区的变化




A:胃癌在图2。HP未感染胃癌。


整体胃粘膜光滑,未见明确萎缩。白光下可见无数小红点规则排列(RAC),所见为HP未感染征像。


接近观察及NBI非放大观察可见粘膜呈退色调改变,靛胭脂染色后界限不清。未分化癌初期可呈IIb表现,随着肿瘤进展可出现凹陷。本院数据显示当肿瘤小于10mm时 IIb36%,IIc64%;肿瘤11mm-20mm时 IIb6%,IIc94%


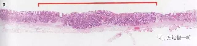
HE染色低倍病理提示红色区域为肿瘤区域。周边粘膜呈胃底腺萎缩炎性改变不明显。癌与非癌部高低差不明显呈 IIb表现。


HE染色高倍病理提示粘膜中层腺窝上皮及腺颈部可见印戒细胞成簇。癌细胞表面未显露,腺上皮为非癌粘膜无明显差异。


PAS染色高倍镜可印戒细胞胞质PAS+


最终诊断:胃窦前壁,O-IIb,3mm,sig,T1a(M),UL(-)


小结:RAC提示HP阴性

            HP阴性需要注意寻找未分化癌

            未分化癌以退色调多见

            初期未分化癌可只出现色调变化而不伴随凸凹变化



【4】

Q:胃癌在何处?

提示:请注意粘膜褪色区的变化




A:胃癌在图1。HP未感染胃癌。


背景粘膜光滑,轻微水肿状的RAC不甚清晰,未见明确的萎缩肠化,HP感染不明。胃窦小弯有褪色粘膜,性质难以判断,周围粘膜没有明确的萎缩像,单发褪色性病变怀疑印戒细胞癌。


NBI非扩大像显示周边粘膜为褐色


靛胭脂染色后色调变化模糊,胃小区未见明确变化,病变边界不清。提示癌性病变在粘膜表层未显露,提示该病变可能位于粘膜中层。


最终诊断:胃窦小弯,O-IIb,6mm,sig,T1a(M),UL(-)


小结:铺路石状的粘膜存在使HP判断比较困难

            HP未感染病例应寻找褪色性病变




补充:粘膜整体呈轻度水肿状态,皱襞之间可见大小不等的半球状多发隆起,和周围粘膜相同色泽。此称为“铺路石状粘膜”,所见隆起部分粘膜增厚而使RAC不明。本病例为HP未感染。铺路石状粘膜使HP的判断较为困难,常考虑PPI所致。


穹隆部可见多发白色隆起,色调发白。多发性白色隆起称为(春间.川口病)


拓展:胃体部胃粘膜水肿状,多发颗粒状隆起,像铺了石子的感觉故称为“铺路石状”粘膜。此常见于HP未感染长期口服PPI者。PPI长期使用致使壁细胞增生所致。故多发性白色隆起称为(春间.川口病)及铺路石样粘膜常为药物所致或既往感染从而提示HP阴性。下图为HP未感染口服PPI十年的患者胃。



【5】


Q:胃癌在何处?

提示:请注意单发糜烂




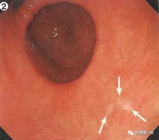
A:胃癌在图1。HP未感染胃癌。


背景粘膜光滑而有光泽,呈现均一的橘红色粘膜像,胃底腺区域RAC阳性,存在胃底腺息肉,以上均提示HP未感染。幽门前区大弯侧可见单发糜烂伴血痂附着,此病变为重点观察处。HP阴性的幽门前区经常会见到此类多发糜烂灶,故与癌的鉴别非常困难,鉴于此病例糜烂为单发,故需要进一步观察。


靛胭脂喷洒后病变中央可见边界清晰的小凹陷面,因良性炎性糜烂常常表现为周边平缓的移行。染色后征象怀疑癌,但仍不能以此确诊,故需进一步行活检。


最终病理诊断:

幽门前区大弯,O-IIc,4mm,sig,T1a (M),UL(-)


小结:单发糜烂需与癌鉴别

            进一步需靛胭脂染色


【6】

Q:胃癌在何处?

提示:请注意褪色调变化




A:胃癌在图6。HP感染胃癌。


背景粘膜为C-2型萎缩。体部淡红色弥漫发红提示HP感染。体下部大弯侧可见小片褪色斑,周围未见相同表现病灶。


接近观察可见褪色斑边界较清晰


靛胭脂染色后可见HP感染的周围胃小区大小不等,与病灶处胃小区未见明显差别,表面凸凹不明显,怀疑印戒细胞癌


最终病理诊断:

胃体下部前壁,O-IIc,6mm,sig,T1a (M),UL(-)


小结:萎缩的褪色改变与未分化的褪色改变需加以辨认


补充说明:图4可见体部小弯多发褪色斑,呈纵行排列,判断为非萎缩境内的局灶萎缩表现。


【7】


Q:胃癌在何处?

提示:请注意褪色调变化




A:胃癌在图3及图6。HP未感染胃癌。


胃粘膜RAC阳性表现,提示HP未感染粘膜。胃体下部小弯侧可见小片状褪色粘膜。图3和图6是两个角度观察同一处病变。


靛胭脂喷洒然后后边界不清,表面无凸凹变化,为IIb型病变。无萎缩的胃底腺区域发现退色调病变,应怀疑印戒细胞癌。


最终病理诊断:

胃体下部小弯,O-IIb,4mm,sig,T1a (M),UL(-)


小结:HP未感染背景下退色调病变应注意着重观察。



其他图片补充说明:

图1可见胃窦部条带形发红,靛胭脂染色后更加清晰,被定义为术语:条带状发红,此为HP阴性所见粘膜像。


胃体上部大弯侧可见山田II型胃底腺息肉,边界清晰,表面光滑,此亦提示HP阴性粘膜征象。



拓展知识:关于胃癌的色调


教科书中关于胃癌的色调常用的术语包括:红色、白色、充血调、退色调等等,此为与周围粘膜做对比后的描述用语。实际工作中经常会发现病变区域略呈黄色调,当然这种颜色变化也是与周围粘膜相比之下而呈现出来的淡黄色调。此种情况下应警惕是否有胃癌存在。


此例背景粘膜为肠化并除菌后表现为多发的发红凹陷,小片区域可见呈现为微微黄色调区域,NBI下成褐色,边界清晰,淡黄色表现警惕胃癌。

最终病理结果:

胃体下部大弯,O-IIb,5mm,tub1,T1a (M),UL(-)


【8】

Q:胃癌在何处?

提示:请注意特殊胃癌




A:胃癌在图4及图5。HP未感染胃癌。

背景粘膜RAC阳性,提示HP未感染。穹隆部后壁可见一小片褪色粘膜,边界清晰,表面光滑,腺管扩张,伴随有蛇形血管。


靛胭脂染色后表面光滑,未见凸凹变化


NBI观察周围粘膜呈褐色改变,边界不甚清晰。


HE染色低倍镜观察红色为病变区域,周围区域为胃底腺区域


HE染色中倍镜观察病变区域粘膜中-深层可见轻度大小不等存在分枝的腺管密集增生


HE染色高倍镜观察可见细胞核类圆形排列于基底侧,胞浆淡嗜碱性,形态类似主细胞。考虑为粘膜内胃底腺型胃癌(主细胞优位型)。免疫组化染色:pepsinogen-I\muc6广泛阳性,H+/K+ATP极少阳性。


最终病理诊断:

穹隆部后壁,O-IIb,6mm,胃底腺型胃癌,T1a (M),UL(-)


小结:

  • HP未感染背景下注意观察胃底腺型胃癌

  • 胃底腺性胃癌表现为平坦的褪色病变,表面扩张伴随蛇形血管

  • 胃底腺性胃癌注意与MALT淋巴瘤及类癌相鉴别





 拓展知识:胃底腺型胃癌 


  • 胃底腺型胃癌为2010年左右提出的胃癌新亚型。发生于粘膜深层的胃底腺,表层覆盖正常非肿瘤上皮。细胞形态增殖类似粘膜深部的主细胞、壁细胞、副细胞(粘液颈细胞)等。免疫组化可区分主细胞pepsinogen-I阳性,壁细胞H+/K+ATP阳性,副细胞muc6阳性。

  • 胃底腺型胃癌好发于高龄患者胃体上部,多见于HP阴性者。小病变即可出现粘膜下浸润,细胞增殖活性与脉管侵袭性极低,属于低度恶性肿瘤,预后较好。

  • 内镜所见典型表现为SMT样扁平隆起型形态,退色调,表面扩张多伴蛇形树枝状血管。当表现为IIa型病变时与类癌相鉴别;当表现为IIb型病变时与淋巴瘤相鉴别。




病例1:此例胃底腺型胃癌与MALT淋巴瘤从白光形态及NBI+放大观察下均难以鉴别,最终依靠病理确诊。

胃体中部大弯,O-IIb,15mm,胃底腺型胃癌,T1b (SM1,400um),UL(-)


病例2:此例胃底腺型胃癌呈微小SMT样形态与类癌从白光形态及NBI+放大观察下均难以鉴别,最终依靠病理确诊。

胃体中部大弯,O-IIa,2mm,胃底腺型胃癌,T1a (M),UL(-)


 对比淋巴瘤 


 对比类癌病例 


  实在搞不清的时候别忘了病理哦!


 普通内镜特点:特点:

  • SMT样平坦隆起

  • 褪色

  • 扩张的树枝状血管

  • 背景无萎缩

 NBI 观察特点:

  • 没有清晰的DL

  • 隐窝开口变大

  • 窝间部变大

  • 缺乏异型微小血管

【9】


Q:胃癌在何处?

提示:请注意退色调变化




A:胃癌在图3。HP未感染胃癌。


胃体部粘膜整体RAC可见,背景粘膜光滑,提示HP未感染。在HP未感染背景下应警惕印戒细胞癌的发生。胃体下部小弯侧可见小片状褪色粘膜,注意观察此处。


NBI非放大下观察可见周围粘膜呈褐色改变。


靛胭脂染色观察病变区域粘膜未见明显凸凹变化,边界不清。此种粘膜变化常提示可能存在粘膜中层爬行的印戒细胞癌。


最终病理诊断:

胃体下部小弯,O-IIb,5mm,sig,T1a (M),UL(-)


小结:

  • HP未感染背景下注意寻找退色调变化




其他图片说明:

胃窦部水肿伴多发糜烂,呈串珠样改变,隆起糜烂处以外的背景粘膜未见明显水肿变化。此种表现在“京都胃炎分类”中以“隆起型糜烂”称之,多提示HP未感染。


【10】

患者为一30岁女性体检胃镜检查。

Q:1.胃癌在何处? 2.年轻女性的胃癌病理类型多为?

提示:请注意退色调变化




A:胃癌在图6。HP感染胃癌。

背景为C-2型萎缩粘膜。黄色虚线为萎缩边界(F腺),肛侧萎缩明显,口侧大弯可见三角形褪色区域考虑病变所在。此种褪色病变需要考虑鉴别诊断:1.未分化癌?2.局灶萎缩?3.MALT淋巴瘤?

靛胭脂喷洒后可见萎缩线口侧病变区域更加明显。萎缩?未分化癌?MALT淋巴瘤?三者需要做鉴别。鉴于本例境界较为清晰,则需要在未分化与MALT之间做鉴别。

萎缩线的肛侧粘膜可见多发弥漫性小隆起,称为鸟肌样胃炎(鸡皮样胃炎、结节样胃炎),其为HP感染后淋巴滤泡反应性增生所致。报道称年轻人的鸟肌胃炎常有未分化癌的高发。

未分化癌与MALT淋巴瘤鉴别:

MALT淋巴瘤可成多种形态,当其表现为退色调病变时常常与未分化难以鉴别


HE染色低倍镜观察可见病变区域以外的粘膜为胃体非萎缩粘膜,病变部(红色线部分)与周围粘膜不存在明显高度差。


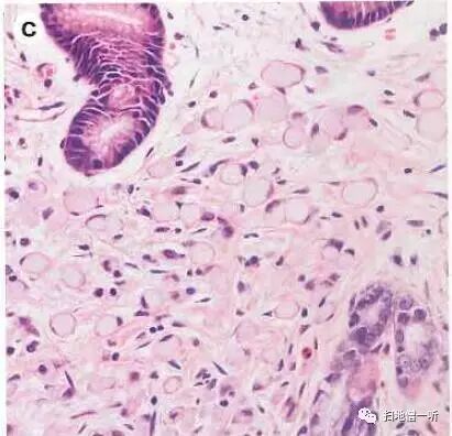
HE染色中倍镜观察病变区域可见粘膜中层(腺颈部)腺窝上皮与胃底腺之间存在带状病变区域,淡嗜酸性胞浆的印戒细胞存在。

高倍镜观察腺颈部印戒细胞癌


最终病理诊断:

胃角大弯,O-IIb,10mm,sig,T1a (M),UL(-)


小结:

  • 年轻人的筛查警惕未分化癌

  • 萎缩边界附近有意识的重点观察

  • 鸟肌样胃炎是HP感染征象

  • 鸟肌样胃炎为未分化癌的高发地



比较病例:

鸟肌胃炎


MALT淋巴瘤


【11】


患者为一60岁男性,慢性胃炎行胃镜检查,5年前曾有HP根除史。

Q:胃癌在何处?

提示:癌隐藏在多发红色凹陷之中




A:胃癌在图4及图5。HP除菌后胃癌。


背景粘膜为O-3型萎缩并肠化。除菌后出现地图状粘膜及多发凹陷性发红区域,如此背景下良性糜烂与癌难以分辨。图4中胃底大弯后壁片状发红较为显著。图5为接近观察可见周围粘膜有淡黄色调感,警惕癌区。


靛胭脂喷洒后变换角度从切线位观察可见凹陷面更加明显,边界不整。


最终病理诊断:

胃体中部大弯后壁,O-IIc,10mm,tub1,T1a (M),UL(-)


小结:

  • HP除菌后多发红色凹陷中重点观察边界不整的凹陷

  • 靛胭脂有助于鉴别发红的良恶性凹陷


【12】


患者为一80岁女性,每年例行胃镜检查,4年前曾有HP根除史。

Q:胃癌在何处?

提示:注意色调变化

            此次检查中有一个病灶被漏诊




A:第一个病变胃癌在图3及图4。HP除菌后胃癌。


背景粘膜是萎缩肠化粘膜像,红白相间,散在点状血痂提示HP未感染或HP根除后。胃体部小弯可见粘膜微黄色改变。


接近观察感觉病变有凸凹变化及边界。


靛胭脂染色后界限不清晰表面没有凸凹变化。


NBI下可见周围粘膜褐色改变,边界存在。


 最终病理诊断:

胃体上部小弯,O-IIb,4mm,tub1,T1a (M),UL(-)


A:第二个病变胃癌在图1及图2。(此次检查被漏诊)


回顾性观察图1可见胃窦部后壁小片状发红粘膜,胃窦蠕动时观察不佳。图2可见凹陷型病变,鉴于没有通过抽气吸气等详细观察,故此次漏诊。

 教训:胃蠕动较快时等蠕动过去后再详细观察,必要时喷洒染色剂有助于防止漏诊。


半年后再次行内镜检查所见:胃窦后壁凹陷性病变明显,周围伴反应性隆起。


喷洒靛胭脂后凹陷面更加明显,活检钳帮助下观察病变正面观,病变红色凹陷,边界呈蚕食状,故考虑分化癌诊断。


 最终病理诊断:

胃窦后壁,O-IIc,6mm,tub1,T1a (M),UL(-)


 小结:

  • 黄色调粘膜需要注意

  • 色调变化的病变使用靛胭脂后可能界限不清

  • 胃窦蠕动时可能使藏匿病变漏诊


【13】


患者为一60岁男性,每年例行胃镜检查。

Q:肿瘤性病变在何处?

提示:注意血管透见消失区域




A:第一个病变胃癌在图6。HP现症感染胃腺瘤。


背景粘膜为O-2型萎缩粘膜像。粘膜下血管可见。贲门下后壁可见血管透见消失区域。怀疑早癌,需进一步观察。


接近观察正面像


抽气后切线位观察可见病变成微隆起性病变。


喷洒靛胭脂后可见病变界限清晰,中央可见凹陷。


ESD病理HE染色中度放大可见腺管呈中重度异性增生的管状腺瘤。


 最终病理诊断:

贲门下后壁,O-IIa+IIc,16mm,管状腺瘤伴中重度异性增生


 小结:

  • 需注意发红或血管透见消失区域

  • 怀疑存在病变时需靠近并调整气体及角度进行观察

  • 切线位观察有助于判断凸凹面

  • 空气量较少时有助于观察凸凹面

  • 存在凸凹面的病变靛胭脂染色可进一步明确形态


 胃腺瘤的治疗适应症 

  • 2cm以上

  • 强烈发红

  • 凹陷性

  • 病理提示高异型度

  • NBI放大观察高度怀疑癌变

【14】


患者为一50岁男性,慢性胃炎每年例行胃镜检查,5年前曾有HP根除史。

Q:胃癌在何处?

提示:注意胃癌附带的表现




A:病变胃癌在图2。HP除菌后胃癌。


背景粘膜呈C-2型萎缩表现。萎缩领域容易出现分化型癌。胃窦部可见散在多发陈旧性血痂附着(白圈),此为HP阴性或除菌后表现。胃角小弯存在一新鲜出血灶(红圈)明显不同于其他,称为自发性出血。此为提示胃癌的附属表现之一。原因可能因为癌组织较正常粘膜质脆,内镜触碰或者因冲洗等原因而诱发新鲜出血。


NBI及靛胭脂染色后可见病灶处存在凹陷性病变,边界未见典型的胃癌虫蚀样不整表现,此情况与糜烂鉴别困难。鉴于自然出血为癌性多见,故行活检,提示高分化腺癌,后行ESD治疗。


箭头处为自发出血处。高倍镜下可见高分化管状腺癌腺体。


 最终病理诊断:

胃角小弯,O-IIc,2mm,tub1,T1a (M),UL(-)


 病例小结:

  • 萎缩领域分化癌多见

  • 自然出血为胃癌表现之一

  • 微小胃癌恶性表现可能不明显

  • 多发性陈旧性血痂附着为HP阴性或除菌后表现


 对比病例:

早期胃癌伴自然出血

胃角小弯前壁粘膜皱襞在充气过程中诱发自然出血。


接近观察可见出血病灶处为一凹陷性病变。


靛胭脂染色后边界清晰,边界蚕食像,怀疑高分化腺癌。病变周围可见反应性增生隆起。


 ESD术后最终病理诊断:

胃角小弯前壁,O-IIc,10mm,tub1,T1a (M),UL(-)


【15】


患者为一60岁男性,既往有胃溃疡病史,数年前曾行HP根除。慢性胃炎定期行胃镜检查。

Q:胃癌在何处?

提示:注意红色凹陷性表现




A:病变胃癌在图2。HP除菌后胃癌。


背景粘膜为c-3型萎缩表现,胃窦可见多发红斑,胃窦小弯侧可见一边缘微隆起中央发红的凹陷型病变


递近观察凹陷面周边微隆起更加明显


靛胭脂染色后可见凹陷边界呈棘状蚕食像,结合边缘反应性隆起,考虑分化型癌


 最终病理诊断:

胃窦小弯,O-IIc,10mm,tub1,T1a (M),UL(-)


 病例小结:

  • 发红凹陷伴周围隆起型病变多考虑分化型癌

  • 靛胭脂染色有助于观察蚕食像

 其他图片解读:

胃角小弯可见一不规则型糜烂灶,边界呈棘状蚕食像

活检结果为Group1


针对内镜下有疑虑的病变,应该积极行病理活检


【16】


患者为一60岁女性,因进食后胃痛行胃镜检查,无HP除菌史,碳呼气试验阴性,血清学HP抗体阴性。

Q:胃癌在何处?

提示:注意退色调粘膜表现




A:病变胃癌在图6。HP阴性胃癌。


背景粘膜无萎缩表现,RAC可见,提示HP未感染。此情况分化癌不多见,警惕未分化癌特别是印戒细胞癌的发生。此病例胃角大弯远景观察下可见一小片状褪色粘膜。


接近观察可见大小约为3mm褪色病变。除了色泽上的变化,其表面无凸凹感。

此区域内镜在行进插入幽门十二指肠过程中可能出现压擦,如病变较小IIb型褪色病变,则非常难以发现。故建议此部分病变应在进镜前观察,必要时活检。


靛胭脂染色后边界不清,表面无凸凹变化。


 最终病理诊断:

胃角大弯,O-IIb,3mm,sig,T1a (M),UL(-)


 病例小结:

  • HP未感染病例警惕印戒细胞癌

  • 印戒细胞癌往往呈退色调变化

  • 印戒细胞癌初期以IIb表现为主


此病例一年前曾行胃镜,相同部位可见一2mm褪色性病变,当时未曾引起重视。


【17】


患者为一60岁女性,因胃部不适行胃镜检查,无HP除菌史,碳呼气试验阴性,血清学HP抗体阴性。

Q:胃癌在何处?

提示:注意退色调粘膜表现




A:病变胃癌在图2。HP阴性胃癌。


背景粘膜为均一橙色,体部RAC可辨,散在胃底腺息肉,此为典型的HP异型胃内所见。HP阴性胃应警惕印戒细胞癌,初期表现为IIb退色调粘膜变化。本例在胃窦大弯可见一“ ^ ”形单发褪色粘膜区域,高度怀疑肿瘤性病变。

接近后白光观察:除存在色调之外与周围粘膜未见明确差异性改变。

靛胭脂染色后病变的凸凹及胃小区变化不明显。


 最终病理诊断:

胃窦大弯,O-IIb,4mm,sig,T1a (M),UL(-)


 病例小结:

  • HP未感染病例警惕未分化癌,特别是印戒细胞癌

  • 未分化癌往往呈退色调变化


【18】


患者为一60岁男性,前列腺癌及肺癌患者,因烧心主诉而行胃镜检查。

Q:恶性肿瘤在何处?

提示:注意红色调粘膜表现




A:病变胃癌在图1。HP未感染Barrett腺癌。


背景粘膜RAC可见。胃粘膜整体光泽度较好,考虑HP未感染。食道为结合部(EGJ)2点方向可见发红扁平隆起性病变。

下图蓝色虚线为珊状血管下端,黄色虚线为鳞状上皮与柱状上皮结合部(SCJ);2点钟方向可见发红的扁平隆起,表面粗糙,高度怀疑Barrett腺癌。

下图为翻转内镜观察病变区域部分边界略显模糊。

NBI非放大下观察病变呈茶褐色,边界清晰。

靛胭脂染色对照下,红色病变及边界更加清晰。


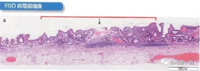
ESD标本:左侧为胃侧,右侧为食道侧。红色区域为肿瘤区域。黄色三角为鳞状上皮岛;蓝色箭头标注为粘膜下层食管固有腺导管;


病变胃侧弱放大:粘膜内中分化管状腺癌,蓝色箭头标记为粘膜下食管固有腺。


病变食管侧弱放大:粘膜内高~中分化管状腺癌,口侧存在上皮下进展。


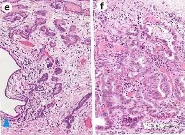
病变中心部弱放大:粘膜内密集增生中分化管状腺管。粘膜肌多层化,粘膜下层纤维化伴浸润性增殖腺管,浸润灶旁可见蓝色箭头标记出的固有腺及导管。测量粘膜下层浸润深度为500um。

e粘膜下层浸润部放大看见腺管成中低分化成分

f粘膜层内强放大以高分化为主。


 最终病理诊断:

Ae,8mm,tub2>tub1>por2,T1b-SM2(500um)


 病例小结:

  • 珊状血管下端确定EGJ

  • Barrett上皮内右侧壁发红的隆起性病变需怀疑Barrett腺癌

  • Barrett腺癌好发于50岁男性,以右侧多见,多为隆起性发红病变,可能与酸反流相关

 对比病例:请体会一下以下疾患各自的特点 


反流性食管炎


SSBE


Barrett腺癌


【19】


患者为一70岁男性,因明确的胃窦腺瘤而行胃镜检查,5年前有HP除菌史。

Q:除了明确的胃窦腺瘤以外的胃病变在何处?

提示:胃炎背景下其病变较为隐匿




A:病变胃癌在图2。HP除菌后胃癌。

背景粘膜呈o-3型萎缩状态,体部为除菌后的地图样粘膜改变。体中部小弯可见鲜血附着,其病变周围粘膜呈胃炎样表现,此又称为“胃炎样”胃癌。


靛胭脂染色后可见病变区域较周边区域色泽微红,表面胃小区不明显,病变范围可知,边界微微不清晰。


NBI下观察病变区域内血管成网格状,边界线存在。


 最终病理诊断:

胃体中部小弯,O-IIc,19mm,tub1,T1a (M),UL(-)


 病例小结:

  • 通常观察胃炎样胃癌难以发现

  • 靛胭脂染色有助于发现胃炎样胃癌


该患者之前发现的胃窦腺瘤:

胃窦部大弯可见一片状血管透见稍差的区域,粘膜呈微黄色调

靛胭脂染色后病变表面胃小区不明显


NBI非放大下观察可见病变呈密集腺管改变

 最终病理诊断:

胃窦部大弯,O-IIb,5mm,管状腺瘤伴中度异型增生

【20】


患者为一70岁男性,因已确定食道早癌而行胃镜复查,5年前有HP除菌史。

Q:1.胃病变在何处?

       2.胃息肉样病变的病理考虑?

提示:请注意发红的粘膜;两个息肉比较




A1:病变胃癌在图5及图6。HP现症胃癌。

背景粘膜呈o-3型萎缩状态,弥漫性发红,粘液浑浊提示HP感染。胃体下部大弯可见一隆起性病变,周围粘膜发红。图5远景观察发现病变较为困难,图6近景观察病变明显。


NBI观察可见边界较为清晰;中度放大可见网格状血管,考虑分化型癌


靛胭脂染色后边界清晰,表面胃小区消失,隆起性病变容易辨认。


 最终病理诊断:

胃体下部大弯,O-IIa,6mm,tub1,T1a (M),UL(-)


A2:息肉样病变在图3及图4

体上部大弯前壁可见发红息肉样隆起性病变,周围粘液较多,冲洗干净后需考虑与增生性息肉?胃癌?等鉴别。


边缘观察可见粘膜粗大,需考虑增生性息肉?顶部可见轻微凹陷,粘膜结构消失


NBI下观察其病变边缘粘膜粗大,顶部凹陷,粘膜结构消失,期间可见粗大蛇形血管


靛胭脂染色后观察仍可见病变边缘粘膜粗大,顶部凹陷结构消失,呈黄色点,伴扩张血管。边缘部黄圈内粘膜粗大呈非肿瘤性增生性粘膜表现,但是顶部无粘膜结构区与增生性息肉相矛盾,中心凹陷伴SMT样隆起,黄色调伴血管扩张考虑是否存在神经内分泌肿瘤可能


EUS可见粘膜内存在低回声团块,向下压向粘膜下层突起,可疑SM浸润


 最终病理诊断:

胃体上部大弯,O-I,6mm,类癌(NET G1),T1b(SM1,120um);Rindi分类III型


  Rindi分类  


 病例小结:

  • 胃体部大弯需近景观察

  • 增生性息肉、胃癌、神经内分泌肿瘤(类癌)需鉴别

其他图片提示:胃角后壁细长型红色粘膜提示为增生性息肉

【21】


患者为一70岁男性,因在外院行消化道造影怀疑胃癌而进一步行胃镜检查。

Q:1.胃体中部后壁的溃疡是良性还是恶性?

       2.出溃疡之外还有无隐藏于别处的病变?

提示:注意观察溃疡及皱襞的性状、溃疡底部及边缘;周围黄色调粘膜



A1:溃疡病变住院观察图2、图4及图5。HP现症胃癌。

背景粘膜呈o-1型萎缩状态,弥漫性发红,大弯侧肿大的皱襞(黄框)提示HP感染。胃体中部后壁可见溃疡及皱襞集中(黑色箭头)的表现。缺乏典型恶性溃疡所见(皱襞断裂,肥大,变细,融合,蚕食像)皱襞集中趋势明显,怀疑为良性溃疡。溃疡口侧部分皱襞集中(白色箭头)并可见瘢痕性表现(白圈),考虑为慢性溃疡反复发作愈合表现。


图5可见溃疡底部均一,边缘平滑,周围可见红色珊状排列的红色增生,考虑为良性溃疡再生上皮。未见IIc型病变,


图4靛胭脂染色后溃疡周围未见IIc型病变,边缘活检提示为Group1


 最终诊断:

胃良性溃疡


服用PPI药物两月后复查见下图:


 比较恶性溃疡病例所见:

早期胃癌良恶性溃疡的鉴别在溃疡周围是否存在IIc型病变非常重要。胃癌中单纯的III型病变不多见,一般常常表现为0-IIc+III或0-III+IIIc形态,IIc型病变存在边界线,凹陷面内粘膜呈颗粒状改变或正常粘膜消失。

下图表现为溃疡性病变,白光下观察溃疡底部及边缘较光滑,首先考虑良性病变


经靛胭脂染色后发现溃疡周边存在IIc型病变区域,故怀疑为胃癌。

最终诊断为:胃体中部后壁,0-IIc+III,30mm,por1,sm2



A2:隐藏于其他图片中的病变位于图11及图12


幽门后壁可见片状黄色调粘膜。


接近观察后可见区域内粘膜光泽度消失,粘膜粗糙呈颗粒感,怀疑癌,进一步行靛胭脂染色及NBI观察。


 最终病理诊断:

幽门后壁,O-IIc,6mm,tub1,T1a(M),UL(-)


 病例小结:

  • 溃疡良恶性的判断:1.溃疡底部及边缘;2.皱襞性状;3.是否存在IIc型病变

  • 周围黄色调粘膜怀疑分化癌

  • 怀疑癌时行靛胭脂染色及NBI可进一步详细观察粘膜表面构造的变化

【23】

患者为一50岁女性,因CA19-9升高而就诊行胃镜检查。无HP除菌史。血清HP抗体阴性。碳呼气试验阴性。

Q:恶性肿瘤位于何处?

提示:胃内隆起均是胃底腺息肉吗?


A:恶性肿瘤可见于图3、图4。HP未感染类癌。


背景粘膜光泽,RAC阳性可见,胃底腺多发息肉,以上均提示为HP阴性。

穹隆部大弯可见一息肉样隆起性病变。乍一看类似胃底腺息肉,接近观察病变边界较胃底腺息肉而言不甚明确,考虑SMT样病变。

接近观察可见病变表面正常粘膜覆盖的SMT样病变,色调微微发黄,表面伴行扩张、蛇形血管

NBI非放大下观察病变顶部存在扩张的腺管开口

靛胭脂染色后可见病变起始部覆盖正常粘膜,表面平滑,顶部菲薄化,鉴于粘膜下肿瘤成分而使观察所见色调微微发黄

活检钳触之病变于粘膜下活动性差,粘膜深层起源的SMT样隆起而活动性差的病变需考虑疑为:类癌及胃底腺型胃癌等病变。


 最终诊断:

穹隆部大弯,SMT,2mm,carcinoid tumor(NET G2),T1b(SM1,250um),Rindi分类III型

 病例小结:

  • 胃底腺息肉与SMT相鉴别

  • 类癌常表现为活动度较差的质硬的SMT样隆起型病变

  • 类癌常呈黄色调,表面常伴行蛇形、扩张的血管


  类癌概念的变迁  


  类癌的分级  


  胃类癌的治疗方针 


  Rindi分类  


 其他图像说明:

体部可见多发的胃底腺息肉,小的SMT与胃底腺息肉鉴别存在困难,胃底腺息肉边界较为清晰。

穹隆部及胃体上部可见大小不等的白色调扁平隆起—称为春间.川口病。

医学美图:春间 . 川口病

【24】

患者为一40岁女性,因外院就医发现胃癌而就诊我院。

Q:同时性多发病变位于何处?

提示:注意退色调变化



A:多发性病变见于图4。HP未感染类癌。


外院发现的病变位于白色圈内,在其口侧可见小片发白粘膜(箭头处),非萎缩粘膜内褪色性病变,怀疑未分化癌。

靛胭脂喷色后病变的边界及色调变化不明显,病变的能见度降低,可见微凹陷。

NBI放大观察于病变区域表面结构消失处可见扩张、蛇形的血管,考虑癌诊断。


 最终诊断:

胃体中部小弯,IIc,3mm,Sig,T1a(M1),UL(-)

 病例小结:

  • 病变不仅仅局限于一处

  • 非萎缩粘膜内褪色病变高度怀疑未分化癌


补充资料:外院发现胃癌的内镜图片

背景粘膜弥漫性发红伴白色黏液附着,HP现症感染,萎缩C-3,小弯及胃体部存在萎缩,大弯前壁萎缩与非萎缩边界口侧非萎缩粘膜区域内可见褪色与发红混杂存在的凹陷性病变。病变肛侧有一枚钛夹,此为上次医生活检后出血时打的夹子。靛胭脂喷洒后病变凹陷面稍显清晰。

 最终诊断:

胃体中部小弯,IIc,20mm,por>sig>tub2,T1a(M1),UL(+)


【25】


患者为一70岁男性,因外院就医发现胃体上部后壁早期癌而就诊我院。

Q:胃体上部是否存在多发病变?

提示:注意黄色调变化


A:多发性病变见于图4。HP未感染胃癌。


背景粘膜成O-3型萎缩。可见散在黄色瘤。胃整体糜烂性发红,怀疑存在HP感染。图5远观可见大弯侧存在微黄色改变;图6近景观察可见病变口侧黄色调改变,肛侧发红与周围粘膜边界不清。


NBI下观察可见病变你区域褐色改变,边界存在


靛胭脂喷洒后病变与周围高度差不明显,胃小区与周围未见明显变化,但是靛胭脂染色后病变与周围粘膜边界似乎存在,不如NBI下观察边界明显。


 最终诊断:

胃体下部大弯,IIb,14mm,tub1,T1a(M1),UL(-)

 病例小结:

  • 多发性病变应该提高警惕

  • 粘膜呈微黄色的病变值得注意

  • IIb型病变容易忽略

  • IIb型病变NBI观察会有所帮助

  • 黄色瘤周围应注意可能会存在病变


补充资料:

外院发现胃癌的内镜图片

图3及图4可见外院明确发现的病变。靛胭脂喷洒后可见病变凸凹不平,较周围粘膜色泽偏红,发红的病变边界成蚕食像,周围伴反应性隆起,故考虑为分化型胃癌。


 最终诊断:

胃体上部后壁,IIc,31mm,tub1>pap,T1a(M1),UL(-)




医学美图:白光寻胃癌1


医学美图:白光寻胃癌2


医学美图:白光寻胃癌3


医学美图:白光寻胃癌4


医学美图:白光寻胃癌5


医学美图:白光寻胃癌6


医学美图:白光寻胃癌7


医学美图:白光寻胃癌8


医学美图:白光寻胃癌9


医学美图:白光寻胃癌10


医学美图:白光寻胃癌11


医学美图:白光寻胃癌12


医学美图:白光寻胃癌13


医学美图:白光寻胃癌14


医学美图:白光寻胃癌15


医学美图:白光寻胃癌16


医学美图:白光寻胃癌17


医学美图:白光寻胃癌18


医学美图:白光寻胃癌19


医学美图:白光寻胃癌20


医学美图:白光寻胃癌21


医学美图:白光寻胃癌23


医学美图:白光寻胃癌24


医学美图:白光寻胃癌25

 科普版公众号