2个月前,怀孕31周的孕妇小欣(化名)开始出现咳嗽,起初以为只是感冒,为了腹中的胎儿也不敢乱用药,就这么一直忍着。直到出现了腰背痛,还有胸壁上的结节,一家人才到当地医院就诊。
为保护腹中胎儿,3次拒绝医生拍胸片
当地医生曾建议患者拍胸片进一步确定病情,但孕妇担心拍片对胎儿有辐射拒绝了,只能回家修养观察。可是回家后,她的症状反而越来越重,特别是晚上无法平卧,走两步就气短胸闷,家里人还以为是妊娠后期的反应,于是一拖再拖。
直到孕妇咳嗽越来越厉害,整晚都得坐着无法入睡,这下一家人才担心了起来,赶快到医院做检查,当地医生考虑为肺栓塞,建议接受胸部CT检查,遭到孕妇第二次拒绝。这种情况让当地医生也十分为难,孕妇属于特殊人群,无法确诊也就意味着无法对症用药。
由于情况没有好转,患者家属决定转到杭州市第一人民医院(杭州市危重孕产妇中心)。医院急诊室聚集了从不同科室赶来的医生,这时小欣端坐在床上,呼吸急促,一脸疲倦的神情,医护人员正在进行输液、抽血以及进行超声检查。大家都感受到了孕妇情况十分紧急,需要立即完善各项检查,然而孕妇却第三次拒绝了放射检查。
凭借仅有的诊断依据,真相逐渐浮出水面
呼吸与危重症医学科主任医师沈凌立即上前,发现孕妇胸壁上有一个很明显的肿块,表面已经发红,触碰了一下发现质地很硬。抓紧时间听了听肺部情况,右肺呼吸音明显低于左肺,右下肺呼吸音消失了,难道是有胸腔积液?
护士在检查患者身体时发生了全身多处皮下硬结,而小欣说以前身上是没有这些皮下结节的。
超声科医生此时正在操作床边超声机,报告肝脏有多发结节和肿块,另外右侧膈肌明显升高。膈肌上抬正好可以解释沈凌医生的困惑——右下肺呼吸音消失。
接着,急诊的化验结果也出来了,医务部立即组织多学科讨论。由于患者此时还在拒绝CT甚至胸片检查,医生们只能对仅有的信息进行整合。
参与讨论的急诊科、ICU、呼吸科、产科、肝胆外科、血液科等科室医生,大家一致认为可能是恶性肿瘤,但肿瘤的来源尚不清,一定要完成肺血管CT检查!
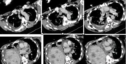
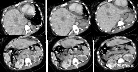
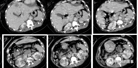
CT结果触目惊心 肝内长满结节
听到这里,患者和家属逐渐意识到了事情的严重性,终于答应了接受检查。检查结果出来,令在场医生都大为吃惊!
患者肝脏体积增大,里面密密麻麻分布着大小不一的结节,右侧膈肌明显抬高,使得右肺体积明显缩小;右肺门与肺动脉交界处有一个肿块(如下图):
剖腹产势在必行!娃必须要生了
由于产妇情况危急,产科当天晚上立即安排剖腹产,在手术过程中,医生们发现患者右侧卵巢表面可及一枚质硬肿块,大小约1.5cm*2cm,随即进行了切除;肝脏表面可触及数枚凸起肿块,大网膜、全结肠及部分小肠未触及异常肿块、未见明显狭窄。
原本以为腹中的胎儿落地,患者的膈肌应该能下移,然后能够轻松地躺下来了。可是转到普通病房后,患者仍然每日只能端坐着,躺下来不到半分钟就喘不过气来。查体发现患者有很明显的腹部矛盾运动,平卧位吸气的时候腹部是陷进去的。难道患者的膈神经受到侵犯了?
父亲肺癌 母亲乳腺癌 舅舅肠癌
医生们进一步了解患者的家族史,当知道患者的父亲死于肺癌,母亲有乳腺癌,舅舅是肠癌时,意识到原来患者可能有基因上的问题,才导致她患上恶性肿瘤。
于是医生们再次召开了多学科讨论,最终达成共识:癌症来源于肺,并且恶性程度很高。同步进行基因检测结果显示ALK阳性,目前患者开始服用靶向药物治疗。
经过呼吸科王利民主任和沈凌主任医师团队的细心照护下,患者各项指标逐渐好转,肿瘤标志物明显下降(部分指标下降90%),患者状态也有明显改善,能够在家人的照顾下缓慢步行。终于,经过了近一个月的治疗,可以出院,见到自己出生后就未能看见的孩子了。
沈凌医生说,孕妇肺癌是一个极低概率事件,市一医院平均一年不超过一例,但是毕竟这样的病例太令人伤感了,年轻的母亲刚刚产下孩子却连面都见不到,后期生存时间有限,难以陪伴自己的孩子成长。对于孩子来说,没有妈妈的陪伴,而且在长大过程中其发生肿瘤的风险也要比常人高出不少。
从这件事中,我们需要反思:警惕肿瘤家族史!
对于有肿瘤家族史的患者,要牢记其发生肿瘤的风险是要高于普通人群的,因此要定期进行相关的检查。比如这位患者父母双方的家族中有多人患癌,虽然她还年轻但仍要警惕恶性肿瘤的风险,特别是有一些恶性肿瘤的临床表现出现(如刺激性干咳、呼吸困难)时,更要及时排除。
该做的检查不要省,对于顽固干咳的患者,即使是孕妇,如果排除感冒后咳嗽、鼻后滴流和咳嗽变异型哮喘,为了自己的健康,影像学检查也一定要做。
来源:来源 呼吸与危重症医学科 编辑:67
本文由杭州市第一人民医院发布,版权归医院所有
未经允许,严禁转载
如需转载,请留言申请,转载请注明出处