作者:M姊妹
曾几何时,我也认为疫苗之争的只是强制 vs 反强制,其它一切打或不打,好处坏处都是各说各话,负面信息也好,正面信息也好,个人选择相信什么,选择打或不打,各人自由,互相尊重,多争无益。相信大部分群友们也达成了这样的共识。但现在越来越觉得这种共识却被利用,成了来打压不同声音的借口。似乎分享一些疫苗的副作用,分享染疫经历都会引起纷争,成为大忌。我不得不反思,这真的只是打vs不打苗的问题吗?真的只是强制vs反强制的问题吗?不,绝不是,就像一位朋友所说的,这关乎到的是千千万万老百姓生命的问题。
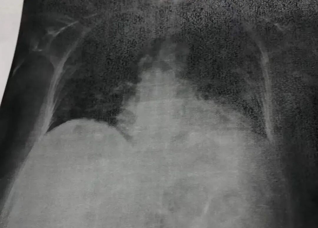
让我来分享我自己得新冠住院的经历
我从12月1-2日之间开始觉得不舒服,并没有当回事,12月2日晚开始发烧,因为我的工作会影响到其他人,不敢怠慢,12月3日一早就去急诊做快速检测,结果呈阳性;同时做了常规 COVID 检测,下午出来结果也是阳性。
我身体一向很好,自认为可以扛过去,发烧(101°F)头疼就吃泰诺Tylenol,胃可以承受的时候就喝些维C, 维D等,感觉时好时坏,但身体还是有力气。随着时间推移,头痛发烧越来越频繁。12月8日周三便在我所在的十架群(《北美保守评论》读者微信群)请大家代祷(我是比较注重private-隐私的人,那里的人我都不认识),同时也跟 “前线医生” 打电话,开了伊维菌素,但要等到下一周的周一 , 也就是12月13日才能拿到药。
感谢上帝!我在12月8日当晚,竟奇迹般地得到了十架群里医生姊妹的帮助拿到了伊维菌素,同时还得到群里有治疗新冠经验医生的帮助,如果等到12月13日,那真是太晚了。遵医嘱服用了6粒,当天晚上Tylenol 时间过后,就没有再发过烧,头也没痛过。本想每天吃6粒,吃五天一个疗程,就万事大吉了。但我高兴得太早了,我第一次吃伊维菌素已经是第八天了,虽然立刻把病毒压住了,但肺部已经感染了。后来两三天我的血氧开始不稳定,12月11日星期六在家突然晕倒,血氧低至79。老公打911,医护人园来测了我的血氧,90%,说不用去医院,只是偶尔低,如果继续低再给他们打电话。
那一天我们就是密切观察血氧,基本就是坐着不动,血氧可以保持90, 上个洗手间就会掉到79。我跟群里的医生们反映后,他们担心血氧到这么低,可能已经有肺栓塞了,要我一定要去医院做全面检查:X-Ray、验血检查D-Dimer(太高的话可能已有CT查不到的小血栓)、CT。他们跟我说到医院做完检查,尽量早出院,出院时一定要带氧气瓶回家(他们已经知道医院会怎么治我,我从心底里却对医院抱有幻想,以为我去医院会得到应有的救治)。于是,当我的血氧又一次掉到80以下时,老公又打了911,救护车把我送急诊,X-ray显示肺全白,肺炎。D-Dimer 指标是上限的两倍,CT 没有血栓。急诊医生很和善地来看我,说我是COVID肺炎,需要住到COVID-19病房,会建议用抗生素 。然后我就被转到COVID-19病房了。
X-ray显示肺全白,肺炎
从星期六晚上到星期一中午,没有一个医生出现过,每天一针抗凝血剂,一粒地塞米松(抗炎症的激素类药)。12月13日星期一中午,终于见到我的医生,我问她我那些检测指标的问题,她居然根本没看过我的病历,在我面前拿出手机查。她看完后说你没事儿,我说请给我用抗生素,急诊拍的X-Ray在我手里。她说不用,你是病毒感染不是细菌感染,你不需要抗生素。我咳到肋骨断的感觉,她就加了止咳药。
她来之前,我一直有与群里医生和我自己女儿保持沟通,告诉她们我的状况。且不说医生告诉我这种情况地塞米松应该加倍,抗生素也应加倍,我自己的女儿,一个脑神经科医生,并没有内科或新冠经验都告诉我要求抗生素。但这位专门医治新冠的医生就是坚决不给抗生素,我要求加一粒地塞米松也被拒绝。每天早上抽几大管血,我问目的是什么?查什么指标?回答说没什么指标,就是常规操作。
从12月11日到12月15日,五天吸着氧吊着气,仅给我一粒药表示在医治我,任我咳得惊天动地,任我咳得死去活来,每六个小时一次止咳药。第五天12月15日我彻底放弃他们会治疗我的幻想,坚决要求出院。
出院前要求再照 X-Ray, 结果比入院前更严重。我又要求开抗生素,再次被
拒绝,更奇葩的是连唯一一粒地塞米松也取消了,唯一开的药就是治标不治本的止咳药Benzonatate。我要求带氧气瓶回家,他们取下了我的氧气,让我在病房走了几步,说我的血氧在90以上,不需要氧气。我说我家楼上楼下没有氧气我寸步难行。她说你家楼上有洗手间吧,待在楼上就可以了,还说我指标达不到带氧气的要求,保险不Cover,我说那不是你该操心的问题。
我之所以坚持就是我知道我不带氧气回家,我当晚还会被送回来等死。她说我是医生你要相信我的判断(五天后,肺更白,更严重她还要我相信她?!)我说无论如何我就是要氧气,她没办法说去找case manager, 5分钟后case manager打来电话说会把氧气瓶送到病房,送我出院。
出院当晚医生就给我开了加倍的地塞米松,抗生素Doxycycline(抗菌抗毒双管齐下)再加Symbicort Inhaler。我们小心翼翼地用着那一瓶吊气的氧气,第二天一早老公打电话给氧气瓶公司,他们派人送来氧气机,还有备用氧气瓶以防停电时可以用。
十天的疗程下来,我一天一天好起来,已经不需要氧气和任何药物,只需假以时日完全康复。
我再分享一下出院一周后去那个住院医生给我推荐的另一个医生回访复诊的经历。
预约上,让我12月23日上午9:30到达指定地点,实际预约的时间是10点。我9:30到了医生办公室登记,之前我也上网E-check in 了。结果登记处一看我的情况就大惊失色(其实12月8日以后我就没发过烧,应该早就过了传染期了),这个我可以理解。我被告知我的预约应该是视频预约。我原以为复诊是要查一下各项指标,那视频预约肯定是不会做检查的了。
后来她们去问医生,医生说既然我已经在那儿了,她会见我。把我从后门带了进去,一个女护士来给我量血压,然后问我三个月以后打不打算打疫苗,我说不,我已经有抗体了,为什么还要疫苗?他们说(护士、医生先后)三个月以后就没抗体了,我说疫苗不也是一样吗?才要一针接一针的打吗?那个护士说楼上ICU(重病房)都是没打疫苗的,我说如果你们给他们用对的药, 他们就不至于到ICU了。那护士又说很多护士都辞职了,因为她们烦透了。
我突然觉得怒火中烧,我说:“真为你们羞耻!你们学医时誓言是什么(不知怎么想到我女儿的白大褂典礼)?你们的职责是治病救人,难道你们要教病人怎么得病,得什么病,什么时候得病,不给你们造成负担,你们才给治吗?我到这里来是复查看我的恢复情况,不是让你来叫我有负罪感的。我一点也不觉得我有罪疚,你们这是在精神上虐待我。”
她吓得马上道歉,医生来又是如此这般一番,但没那么露骨,而且听我说了很久。
从医院出来后,觉得很痛快,虽说没看出什么名堂,但至少让她们知道不是每个人都可以被她们操控的。
一串串冰冷的死亡数据后面是一条条鲜活的生命,一个个破碎的家庭。
就算疫苗是完美无副作用也不能拯救所有人的生命;
就算伊维菌素,羟氯喹有副作用也已帮助了千千万万的普通人。
为什么要以副作用为借口打压这些已经用了几十年的老药?什么药没有副作用?医院救治新冠的Protocol 把一个个轻症拖成重症,重症拖成ICU上呼吸机,最后死亡,为什么还要用同样的方法?
有谁去查过医院用的瑞德西韦(Remdesivir)的副作用吗?为什么可以用?相反,把伊维菌素、羟氯喹等这些老药妖魔化,让很多人知道也不敢用,失去救治机会。
前线医生受逼迫,受打压,受诬谄却依然坚持偷偷给人看病,只收$150元的费用。他们如果在正常情况看一个病人,保险公司要付多少钱?为什么他们要这么做?因为他们良知未泯,想要治病救人。
我不是说伊维菌素等是万能的,但早期治疗是有效的,这也是大多人所需要的。我所在的微信群里有好几位都是这些药物的受益者、见证者。为什么非要把疫苗和这些药物对立起来?如果我们在反强制疫苗的同时,也要求把这些简单有效经济实惠的治疗方法合法化,让每个人都能得到这些药,那样可以挽救多少人的生命啊!
图片来自于网络
曾几何时,我们在一个自由的国度,要偷偷摸摸地看医生吃药,或因打或不打疫苗被取笑被咒诅?
我不是一个很愿意分享自已事情的人,但这些憋在心里如骨哽在喉,夜不能寐,我的良知让我一定要分享出来,也让大家知道新冠是有很多方法可以治愈的:
很多人是不需要拖成重症的;
很多人是不需要进 ICU 的;
很多人是不必死的!
......
如果我的分享影响了您过新年的情绪,我先向您道歉。祝大家新年快乐!
感恩您对此平台的支持!
PayPal.me/ssk2024 或 Zelle:ssk2024h@yahoo.com
请点击左上角“萧参客”关注公众号,加微信、电报、推特、兰博:SSK2024
往期文章:
共济会与阴谋论:世界新秩序、乔治亚石碑、手势、罗斯柴尔德家族
谢谢您也点击文右下角的“在读” 或 “Wow”。严禁转载。
Send to Author