以色列总理贝京,1978年和平奖得主说:
“我们的种族是优越的种族。我们是这个星球上的圣神。我们与那些对手不同,因为他们只是昆虫。事实上,与我们相比,其他种族就像野兽和动物,最多是水牛(GOY),犹如人类的排泄物。我们的命运是统治他们。我们将用铁腕统治尘世。大众会舔我们的脚,像奴隶般服侍我们!”
地球上只有犹太人是上帝的选民。
“Our race is the Master Race. We are divine gods on this planet. We are as different from the inferior races as they are from insects. In fact, compared to our race, other races are beasts and animals, cattle at best. Other races are considered as human excrement. Our destiny is to rule over the inferior races. Our earthly kingdom will be ruled by our leader with a rod of iron. The masses will lick our feet and serve us as our slaves.”
Menachem Begin
美国巨型石碑要求将地球人口控制在5亿之内
共济会制造了所谓“世界卫生组织”、“粮农组织”、“食品法典委员会”等,由共济会下属的洛克菲勒基金会一类出钱出经费,然后挂名在联合国下。
这些组织表面是做公益和乐善救人,其实一是收集各国各地区的健康和疾病情报,另一面在利用不发达国家那些可怜的贫民作为实验体,来试验各种在本国无法试验的各种生物制剂、新药和疫苗,从两方面进行大范围的对比实验。
最终目的是保护共济会精英健康,而寻找代价低廉的以药品、食品、疫苗毒害人类健康、清理多余人口的方案。
《百年谎言》揭露了来自化学工业、制药业以及食品加工业等领域的迷信和谎言,剖析了行业主导企业乃至相关部门因利益驱动而漠视大众健康的原因
减少人口的手段很多,抛去大家最熟悉的转基因、毒疫苗等等且不说,下面说说我们每天吃的 阿斯巴甜(AsPartame,别名阿司帕坦、阿斯巴坦,食品添加剂。国际编码 : E951),广泛添加在3000多种食品中。
目前人们很少知道,这是一种毒性剧烈的软性毒品,它受到美国政界和军方的青睐,就连美国总统、国防部长、食品管理部门、大型跨国化学工厂都对它倾注了极大的心血,我们也正见证着由它摧毁人类健康的战争。它就是被美国军方秘密作为化学毒剂原料使用的“阿斯巴甜”。阿斯巴甜的甜度是蔗糖甜度的200倍,被广大受害人称为“甜蜜的毒药”。
阿斯巴甜引起的伤害多数不是即时的,可能需要1年、5年或10年才会产生这些暂时性或永久性伤害。
阿斯巴甜引起的伤害有:腹痛、焦虑、关节炎、哮喘、气喘反应、浮肿(液体积聚)、血糖控制问题(低血糖或高血糖)、脑癌(在动物上有预先的研究)、呼吸困难、灼热的眼睛或喉咙、排尿有灼热感、不能够直接思想、胸痛、长期咳嗽、长期疲劳、混乱、死亡、抑郁、腹泻、头昏、极度口渴或饥饿、疲劳、感到不真实、脸红、头发脱落、头痛/偏头痛头晕、听觉损失、心悸、荨麻疹、高血压、阳痿和性问题、不能够集中、易受到感染、失眠、过敏、发痒、关节痛、喉头炎、思想不清、显著的性格改变、失去记忆、月经问题或改变、偏头痛和严重头疼(长期吸收会触法或引起此问题)、肌肉痉挛、恶心或呕吐、麻木、其他的过敏反应、恐布症、记忆差、皮疹、痉挛和抽搐、言语不清、吞食的疼痛、心跳过速、震颤、耳鸣、眩晕、视觉损失、体重增加等。
其中至少涵有83项有害指标,却没有受到标示。阿斯巴甜糖产业资助的试验专案都显示,使用这种人造增甜剂不利于人体健康。在人体内,这种拟甜素被分解为三类物质:甲醇 、天(门)冬氨酸 、苯丙氨酸。
众所周知,甲醇是一种神经毒素(当年曾经致使多人死亡和失明的山西毒酒案主要毒物就是甲醇),它在人体中可被分解成一种致癌物质甲醛,会被人体的多种组织吸收存留。
天(门)冬氨酸,是一种刺激性毒素,会刺激神经细胞至死。
苯丙氨酸,会使多达15%的过敏人士引发痉挛及抽搐,此外更严重的还能导致脑部永久的伤害,造成脑残,甚至死亡。
航空安全报刊发出警告,呼吁机师不宜在飞行前食用阿斯巴甜。
1985年,圣·路易斯的华盛顿大学医学院教授奥尔尼发现,美国居民的脑癌患病率增长了10%,每年大概有1500个新病例,65岁以上老年人的脑癌发病率居然增长了60%以上。在阿斯巴甜的动物测试中,脑癌发病率也大幅提高。受此启发,他开始着手调查,并在《新英格兰医学杂志》等期刊上发表了一系列论文,阐述了阿斯巴甜会对儿童大脑造成损伤
1992年,美国空军对食用阿斯巴甜的飞行员发布禁飞令:美国海空军研究所在《海军生理学会和飞行安全》杂志上发表文章说:“一些研究者发现,阿斯巴甜会增加痉挛的频率,或降低诱导期产生的刺激水平。这意味着喝了无糖汽水的飞行员更易受到闪光、眩晕的影响,甚至诱发癫痫,也意味着喝了无糖汽水的飞行员都有突然性失忆、飞行中头晕和失明的危险。”(摘自《阴谋论》大卫·艾克著,海南出版社2014年版)
阿斯巴甜
1995年,美国新英格兰区域的新罕布什尔州飞行员食用阿斯巴甜后在驾驶舱癫痫大发作。10年来,至少有5名美航飞行员死亡,其中1人死于飞行途中。还有更多飞行员因服用阿斯巴甜而引起痉挛,被吊销了飞行执照。
1996年,美国食品及药物管理局(FDA)被医学组织、食品制造商和消费者投诉——没有告知阿斯巴甜在热环境下的禁忌:超过50度,不仅失去甜味,还会分解出有害物质,严重损害健康。
1997年,布莱洛克出版《兴奋性毒素》,揭示味精、阿斯巴甜以及一系列食品添加剂的危害。指出食品添加剂唯一的作用就是让缺乏营养的食品更可口。
布莱洛克的研究表明,味精和阿斯巴甜不仅会刺激大脑神经细胞,让它们一直处于兴奋状态,直到衰退甚至死亡,而且,这些化学添加剂相当于神经系统的定时炸弹,它们具有生物累积性,可以在大脑中进行长达一生的累积,直到最后人们患上阿尔茨海默症、亨廷顿舞蹈症(身体出现不自主动作,情绪异常)或其他类似的神经退化性疾病。
1998年,西班牙巴塞罗那大学研究人员发表一项报告:阿斯巴甜在白鼠体内会转化成甲醛,伤害肝、肾、眼睛和大脑。研究结果表明,许多与阿斯巴甜毒性相关的症状是由甲醛的毒性和累积效应引起的,并且指出“制造商声称阿斯巴甜不会在体内分解成甲醛的安全报告是错误的”。
书中部分讲到光明会用来压制人类智力的药物,其中一个武器就是阿斯巴甜(Aspartame),它存在于几乎所有的食品和饮料中
1991年,美国国立卫生研究院(NIH)发布了关于阿斯巴甜毒性的警告,并附上了167种害处。
同年,海湾战争爆发。厂商假借爱国之名,给17万名前线士兵提供免费的含阿斯巴甜的可乐和无糖汽水(还提供实验性质的疫苗、神经毒气解药、个人用杀虫剂),此举成为史上最大规模的阿斯巴甜人体“安全测试”。大家别忘了,在高温环境里,阿斯巴甜会分解出甲醇等有毒物质,而波斯湾地处北回归线高压带,气候炎热,是世界上最热的海区之一,给海湾战争的士兵喝阿斯巴甜饮料,等同于给士兵喝甲醇毒水。战后,在参战军人中爆发了“海湾战争综合症”。
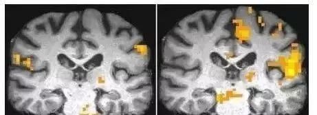
左图为健康大脑在前臂受到热刺激时的反应,右图为“海湾战争综合症2”病人的反应
他们的大脑含有大量的天冬氨酸,症状表现为精神错乱,注意力难以集中,突发性眩晕,情绪无法控制和波动剧烈,极度疲劳,身体麻木,或者持续性身体疼痛等等。经长期医学调查,这些症状完全符合阿斯巴甜后遗症。但是官方一直掩饰。
阿斯巴甜最早由一家隶属共济会洛克菲勒集团控股的 生化工G.D. Searle公司创制和生产。由于多次生物物理测试显示该甜味素危害健康,美国食品药物管理局(FDA)长期拒绝批准使用阿斯巴甜作为代糖。
里根总统上任后,按照共济会的旨意,他解雇了不批准该物进入食品市场的FDA委员,并指示建立一个调查小组去评估其是否应该核准使用,委任Hayes医生为FDA局长。
该调查小组不久就批准阿斯巴甜使用在含二氧化碳的饮料上。尽管遭受小组中的许多委员反对,但 Hayes 医生、局长悍然否决调查小组的多数意见,坚决批准阿斯巴甜上市。而 Hayes 医生随后被媒体曝光收受厂家利益而离职,他离职以后转到生产这种甜味素的G.D. Searle公司工作。而阿斯巴甜正正是由G.D. Searle公司所研制的!
作为一个反例则是FDA禁止批准有益的天然甜味甜菊糖素取代阿斯巴甜。
甜菊糖这种天然甜味素原产南美地区,不仅不含热量,而且对健康有利。据日本的研究,甜菊糖有抑制口腔细菌滋作用;亦有临床研究发现,此甜菊糖不引起血糖波动,而且还有低降人体血糖、增加葡萄糖含量的药疗效用,有助舒缓心脏病、高血压、低尿酸等疾病。
但1994年,在所有研究都证实甜菊糖的好处而无害的情况下,FDA却绝然禁止使用甜菊糖
零度可乐
中国卫生部也于1986年批准引入和在食品中使用阿斯巴甜。当有中国媒体质疑含有阿斯巴甜成分的零度可口可乐,可能引起偏头痛甚至致癌时,中国农业大学食品科学与营养工程学院院长罗云波教授为之出面辩解:阿斯巴甜是一种正规的食品添加剂,安全上不会有太大问题。而这个罗云波教授正是美国大学培养的转基因生物学家,与传闻隶属于共济会中情局系统的孟山都公司关系非同一般(http://www.doc88.com/p-33179741334.html)。
因此,与转基因阴谋一样,阿斯巴甜也是刻意被添加到食品中的,其运用要达到同样的目的减少地球人口(相关内容可参看《秘密议程》、《阴谋论:彼尔德伯格集团》等视频)。
公众反击
1999年,英国《星期日独立报》报道,阿斯巴甜是转基因产品,孟山都公司利用转基因工程繁殖细菌以制造苯丙氨酸原料。孟山都辩解产品是完全安全的。
2000年,美国受害人营养学博士珍妮特·斯塔尔·赫尔出版《甜蜜的毒品》一书。
《甜蜜的毒品》
2001年,日本禁止使用阿斯巴甜。
2004年,美国受害人Cori Brackett拍摄纪录片“甜蜜的苦难:一个中毒的世界”,讲述她服用阿斯巴甜后不能走路说话,当她停止摄入阿斯巴甜后,问题消失了。
2006年,意大利Ramazzini研究所报告,阿斯巴甜导致大鼠白血病和淋巴瘤,但受到欧洲食品安全局(EFSA)的谴责
2007年,印度尼西亚禁用阿斯巴甜。
同年,美国新墨西哥州禁用阿斯巴甜。
同年,英国超市Sainsbury's 和沃尔玛子公司Asda宣布,不再将阿斯巴甜用于自己的标签产品。
2009年,夏威夷要求美国食品及药物管理局(FDA)颁布阿斯巴甜的禁令。
同年,加利福尼亚州把阿斯巴甜列入致癌物清单。
同年,南非零售商Woolworths宣布从其自有品牌的食品中除去阿斯巴甜。
同年,加拿大不列颠哥伦比亚省禁止所有学校使用甜味剂,包括阿斯巴甜。
2010年,英国食品标准局调查阿斯巴甜,认为会导致服用者有副作用。
2015年,有媒体报道,不少研究指出,阿斯巴甜会致癌或引发胎儿早产,由于美国消费者对代糖阿斯巴甜的不信任,百事可乐15年5月24日宣布,旗下的轻怡系列产品将在15年年8月起,不再使用富争的“阿斯巴甜”,改为使用另两种人造甜味剂蔗糖素与安赛蜜混合而成的代替
但此举仅仅针对美国本土市场,中国与世界其他地区暂无类似计划。百事中国相关负责人表示,在全球阿斯巴甜仍然是一些百事饮料产品中一个重要的甜味剂,包括在中国市场上的百事轻怡产品。
看完,快看看你手里现在吃的火腿、饮料、糕点、薯片、饮料、糖浆、酱油醋...是否含有阿斯巴甜,请谨慎选择食用!
扬中医养生之魂 振民族品牌之威
金天国际·名食养是全球名食直供服务平台,即线下场景式体验店与线上APP商城相结合的新零售模式。平台核心竞争力:品质优、服务好、物流快、价格低。所有商品均经过严格筛选,确保其符合健康、生态、高品质的要求。只要APP在手,足不出户即可吃遍全球美食,唯有吃得健康,吃的放心,才能尽享美食之美。
金天国际食养套订购
下载登录名食养APP商城
共享高品质生活
(扫码下载名食养APP,开启订购)
附小编的邀请码:E1C4F15F
金天国际名食养,吃得健康,吃出健康!
往期内容:
澳媒曝!数千种澳洲食品有致癌风险!法国已封杀!超市看到这个标志,最好别买!
政企共建千亿级名食养H2C产业引各界关注,众多主流媒体争相报道亮点纷呈
交互式电商平台撬动万亿级市场,食养文化涵养健康中国 ——名食养H2C联合创始人品牌正式启动
名食养H2C引领产业创新,服务百姓健康— 200多家媒体覆盖,中国国际商会携世界500强名企、国家重要机构共建
名创天下,食养八方 ——热烈庆祝名食养养生五谷品创中心正式成立
中国国际商会携国家级十大商协会、科研机构及世界500强近百家知名企业共建名食养食养平台
公开2018年我与火星男孩的秘密对话录(信息宝贵,启示非凡!)
天眼揭示:万恶淫为首的真相!影视、网络色情在腐蚀社会各个阶层
中国历史上第一个朝代竟然不是夏朝,中国上古文明可以到追溯了几百万年前,吓不吓人
亿万富翁:生病了才知道有钱没有用(膳食纤维体验录)普通又神奇的膳食纤维——经常吃膳食纤维的人很少患病
白发变黑不是梦(四个小故事让你重拾黑发信心)【何老医讲故事】
分享的是智慧
转发的是福报
Go to "Discover" > "Top Stories" > "Wow"