今天和大家探讨一下结核的一些特殊临床表现,我结合自己平时遇到的情况和查阅的文献资料来做分享,主要是以下几个方面,1、淋巴结核,2、结核相关免疫重建炎症综合征(TB-IRIS),3、影像学方面的反晕征,4、继发肺泡蛋白沉积症(PAP),5、继发机化性肺炎。
宿主对结核菌的免疫机制
首先复习一下宿主对结核菌的免疫机制。它是以T淋巴细胞为主的细胞免疫,也就是「迟发变态反应」。CD4+的淋巴细胞致敏变为Th1细胞,产生多种淋巴因子(如IL-2、IL-6、INF-γ)与肿瘤坏死因子TNF-共同作用杀菌。虽也能产生针对结核菌的抗体,但仅起辅助作用,仅对胞外菌有作用。
这种「迟发变态反应」既是对结核分枝杆菌(Mtb)的防御机制,同时又是结核病的致病机制。理解了这点,那么对后面讲到一些特殊临床表现也就更容易理解了。
结核的典型病理
上皮样肉芽肿、干酪样坏死、朗格罕多核巨细胞。(空洞内的酪样物质里含结核菌,结核菌在液态的酪质中活跃繁殖)
详细来说,肉芽肿:巨噬细胞团,中央的巨噬细胞吞噬了细菌;上皮样组织细胞:在显微镜下,这些组织细胞看起来很像上皮细胞;多核巨细胞(Langhans巨细胞):由多个巨噬细胞融合而成,胞浆丰富,粉红色;细胞核呈马蹄样排列;干酪样坏死:肉芽肿中央可坏死,无定型状,富含脂质,来自坏死的巨噬细胞胞浆。上皮样细胞围绕在坏死物周围,呈「围栏状」(坏死过程由TNF诱导)。
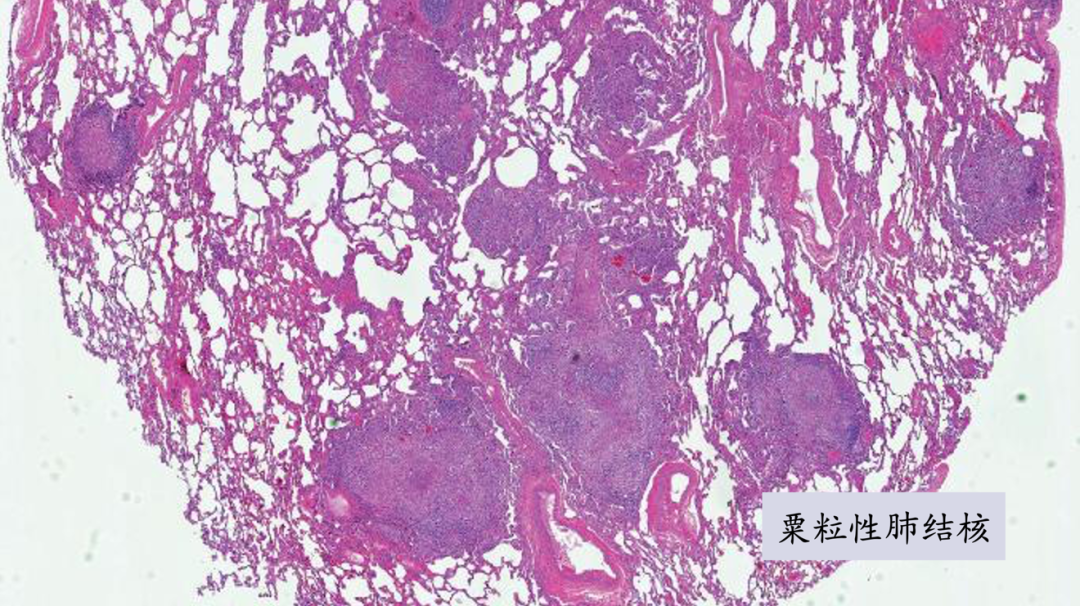
下图是一个粟粒性肺结核的病理切片。肺组织里无数个小结节,结节的中央是干酪样坏死,周围上皮样组织细胞,高倍镜下可见朗格罕多核巨细胞。
朗格罕多核巨细胞实际上是多个组织细胞融合在一起,其细胞核排列像马蹄状:
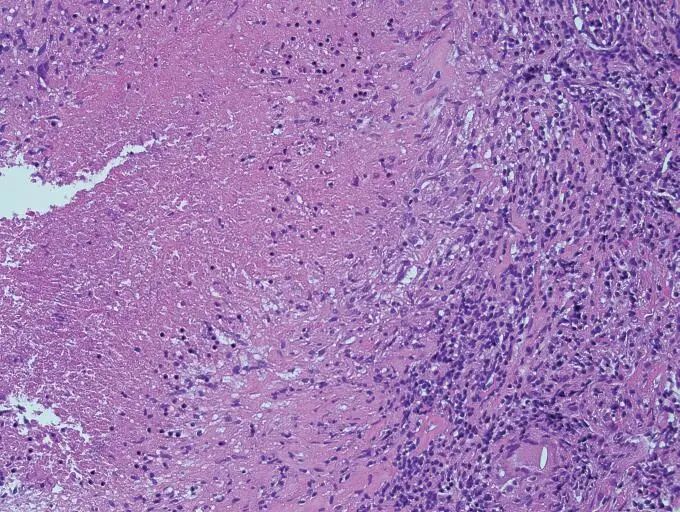
但严重免疫抑制患者(如HIV)的病理不典型——没有明显肉芽肿,而是表现为非特异性炎症反应,弥漫性组织细胞浸润(下图左),但萋尼染色可见大量抗酸菌(下图右)。
肺结核的典型影像表现
簇状分布的小叶中心性微结节、新旧不均,可伴树芽征或空洞。
在肺结核的胸部CT上我们经常见到许多微结节形成树芽症。除此之外,在实变比较明显的部位,仔细看它的边缘部分,往往也能找到一些微结节和树芽(箭头),有些还可以形成空洞。
这张CT显示的是经支气管播散的肺结核的典型表现:簇状分布的小叶中心性微结节、新旧不均:
下面我们一起来探讨几个结核病的特殊临床表现
淋巴结核:
通常由继发肺结核经淋巴道播散导致,少数为咽喉部结核感染的原发综合征。绝大部分累及颈部,90%为颈部淋巴结结核(老鼠疮)。在发展中国家,好发年龄为20-40岁,而在发达国家以儿童为主。淋巴结核的全身中毒症状少见。局部症状,多数无红、热、痛(冷脓肿),但可能破溃形成窦道;而在免疫缺陷者,可能有局部红肿热痛,更像急性化脓性感染。
在资源缺乏的国家主要依据临床症状 + PPD试验来进行临床诊断。更确切的诊断是脓液或活检组织检出MTb,但涂片阳性率非常低,因为临床表现主要并非由感染直接导致,而是针对TB抗原的免疫反应。大标本的活检,抗酸染色阳性率显著提高,达到50-70%。
治疗中或疗程结束后,淋巴结继续增大,甚至新出现淋巴结肿大。
这就会造成困惑,但实际上这并非结核病复发,也不代表预后差。这些病例的淋巴结活检标本结核菌培养通常都是阴性,说明淋巴结内并没有活菌。这种反常现象的可能机制是巨噬细胞破裂释放TB蛋白,从而导致变态反应。当症状严重的时候,可予短疗程激素治疗,但淋巴结切除或穿刺引流需慎重,有可能长久不愈。
结核相关的免疫重建炎症综合征(TB-IRIS):
与淋巴结核的反常现象有些类似,艾滋病患者的抗HIV治疗开始后(通常3个月内),细胞免疫的恢复可能导致针对TB抗原的严重而失控的炎症反应,这种现象称为免疫重建炎症综合征(Immune reconstitution inflammatory syndrome,IRIS)。IRIS包括两种表现:一种是反常型(Paradoxical),多发生在抗逆转录病毒疗法(ART)开始后的2-4周,即原先已经在抗结核治疗,甚至结核的症状已经好转了,但在开始ART后,结核的症状反而加重;另一种是揭示型(Unmasking),即原先没有结核症状,也没有抗结核治疗,在开始ART后新出现结核症状,并且反应剧烈。
TB-IRIS的主要临床表现包括:高热、呼吸症状加重、肺部浸润影加重、胸腔积液增多或新出现、淋巴结肿大加重或新出现,还包括中枢神经系统(如脑膜炎的病灶扩大)、出现腹腔脓肿或腹膜后脓肿等。
TB-IRIS的易患因素:播散性结核感染,CD4小于50/μL,以及ART开始时抗结核治疗的时间不足2周。这就需要我们认真权衡——艾滋病患者及早开始ART有助于减少其他机会感染和死亡率,故建议在抗结核治疗2-8周后开始ART(根据CD4酌情),但中枢神经系统感染者建议8周以后再加ART。
TB-IRIS的临床诊断:满足以下3点:1、开始ART之前,抗结核治疗改善病情;2、开始ART以后,结核的炎症表现明显加重;3、排除其他原因导致的临床加重。最后一点也很关键,这些因素包括:未正规服药或药物吸收不良、甚至是药物副作用,耐药结核,恶性肿瘤(如Kaposi肉瘤),以及其他机会感染等。
TB-IRIS的处理:治疗措施取决于炎症反应的严重程度以及受累部位。TB-IRIS的死亡率为3.5%-15.7%,有CNS表现者死亡率高。首先,仍然需要继续标准的抗结核治疗。对于轻症患者(>2/3)可以应用非甾体类消炎药,局部引流,通常不需停ART。但有些症状特别重的,则应考虑使用激素治疗,并可能需要暂停ART,这些情况包括:中枢神经系统受累,心包填塞,以及淋巴结肿大压迫气道或导致呼吸衰竭。相关指南推荐的激素用法是泼尼松1.25mg/kg.d,2~4周后减量,总疗程≥6-12周。应注意激素可能加重其他机会感染、耐药结核或Kaposi肉瘤。
肺结核的「反晕征」:
反晕征在机化性肺炎(OP)中最常见。其他能导致反晕征的疾病包括:肺毛霉菌病,肺孢子菌肺炎(PCP),结核、淋巴瘤样肉芽肿病,结节性多血管炎,结节病,肿瘤,肺梗死,肿瘤放疗或射频消融治疗后等。
肺结核导致的反晕征的特点是:反晕征的外壁以及内部有微小结节。我们来看一下不同疾病导致的反晕征的影像资料。
病例1:
从这张影像可以看到相对光滑的反晕征(红色箭头处)。患者为52岁女性,类风湿关节炎史,发热咳嗽,肺部病变经穿刺活检为OP。2015-1-20(左上)这团病灶相对比较致密,经过三周,2015-2-10(右上),如红色箭头处,它有所扩大,但中央明显变淡了,看起来质地特别光滑。
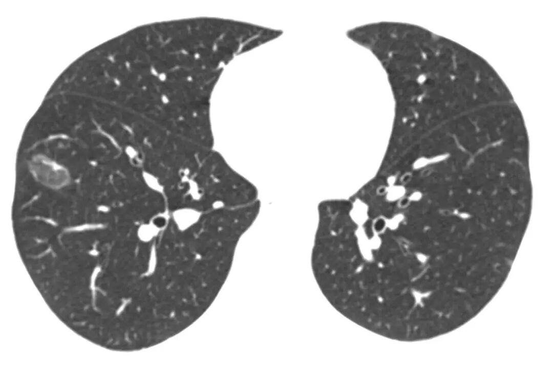
病例2:
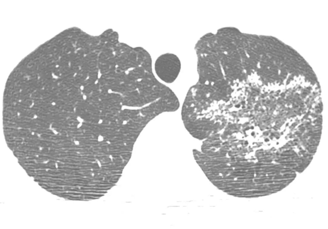
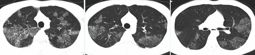
35岁男性肺结核患者,发热、咳嗽、纳差2月,体重下降8kg,双肺少量爆裂音。肺CT:左胸膜增厚,左胸廓塌陷,右下肺可见反晕征。仔细看反晕征的外壁和中间都有很多微结节。[1]
病例3:
女性,59岁,粟粒性肺结核的基础上,双肺弥漫微结节伴反晕征。[2]
病例4:
女性,38岁,肺结核。左肺上叶反晕征,外壁有结节。[2]
病例5:
女性,39岁,COP。反晕征相对均匀光滑,无结节。[2]
病例6:
男性,36岁,肺结核。反晕征由微小结节构成。[2]
病例7:
女性,36岁,COP。反晕征光滑无结节。[2]
以上主要对比了肺结核与机化性肺炎的反晕征。机化性肺炎的反晕征相对质地均匀光滑,无结节。肺结核的反晕征则比较粗糙不均,仔细看其实是由无数个小点(微结节)「拼凑」成的,这与结核作为肉芽肿的病理特征也是相符合的。
肺结核继发肺泡蛋白沉积症(PAP):
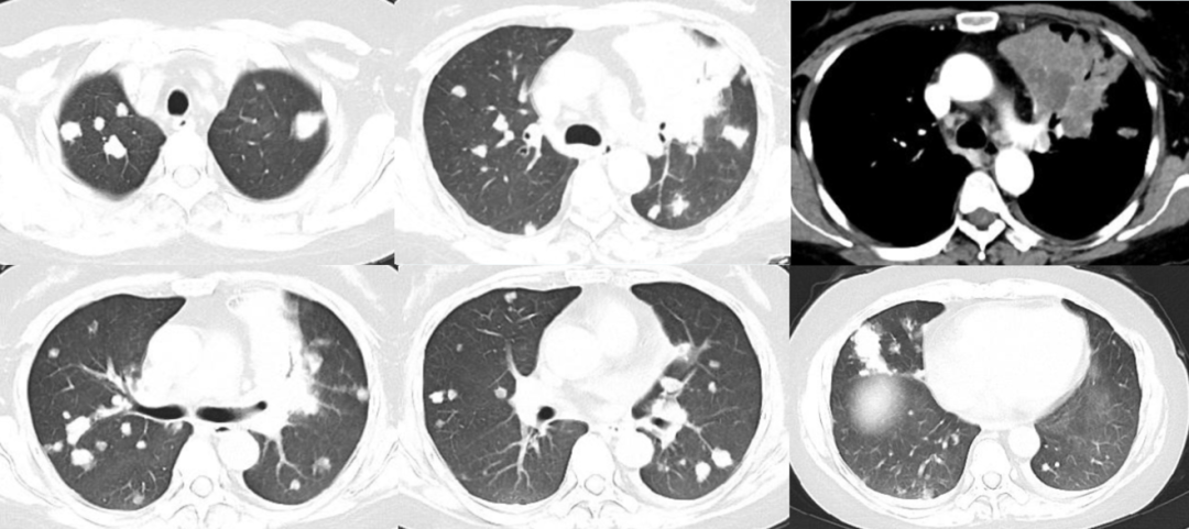
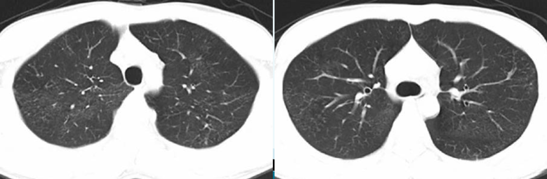
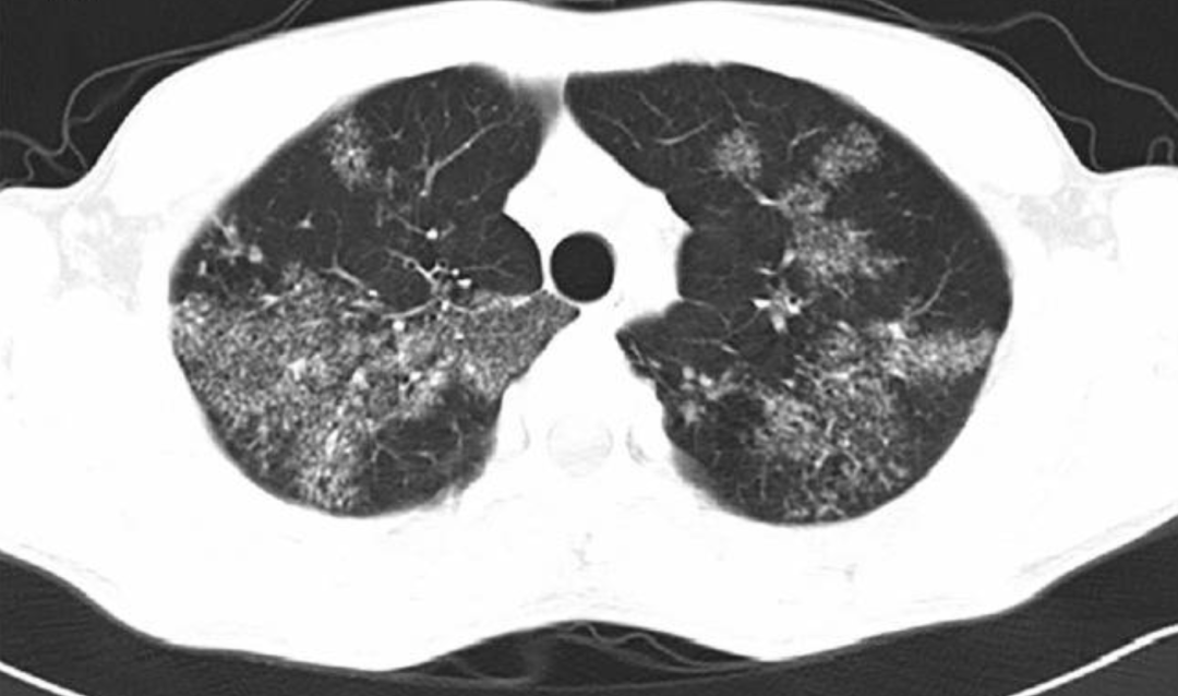
这是一个文献报道的例子,21岁小伙子干咳、低热盗汗2月,肺部影像有弥漫的磨玻璃影,但仔细看磨玻璃影里也有显著的弥漫微结节。支气管肺泡灌洗液(BALF)呈牛奶样,PAS(+)血TB抗体(+),T-SPOT(+),抗结核后6月后,肺部阴影吸收。[3]
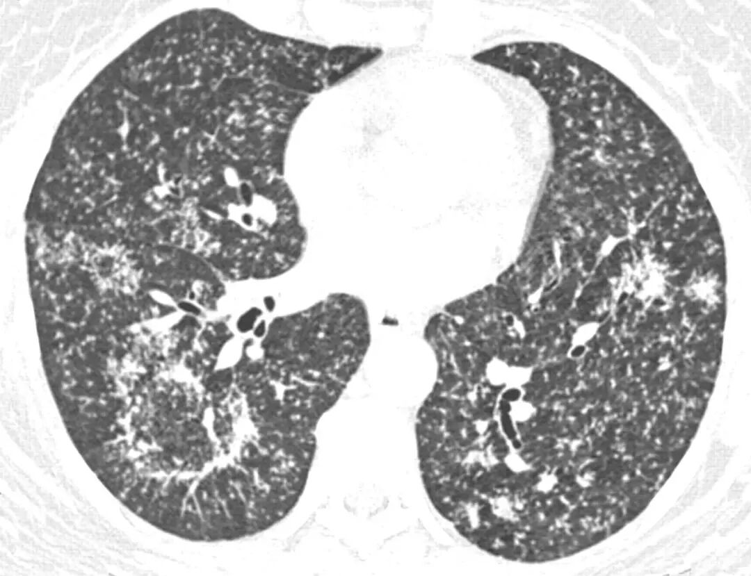
我们将影像放大了看,和刚才所看的肺结核反晕征有一定相似性,也是由弥漫的微结节拼凑构成的。
北京协和医院田欣伦教授团队专门总结了继发性肺泡蛋白沉积症(sPAP)的特点[4],2000-2016年,北京协和医院共157例肺泡蛋白沉积症,其中只有9例(5.7%)是明确的继发性的。(sPAP的诊断:病理学确诊PAP;抗GM-CSF抗体阴性)
在sPAP的病因方面,肺结核约占一半,有4例;另外接近一半是骨髓增生异常综合征(MDS),也是4例;还有1例是慢性髓细胞性白血病(CML)。在sPAP的肺CT中,仅1/3患者有小叶间隔增厚的表现,但肺结核及MDS患者,各有一半病例有散在微结节。
前面我们回顾了结核的病理,重要特征为肉芽肿、微结节。从上述病例可知,即使临床表现有所特殊,但如果我们有目的地去看,仍然有可能找到这些微结节的蛛丝马迹,为诊断提供线索。
结核继发机化性肺炎(OP)
下面这个病例也比较特殊,是一位中年女性,主要症状为咳嗽,CT表现为左下肺结节伴树芽征。左下肺结节穿刺活检为肺结核。
在抗结核治疗过程中,约三四个月后又出现了咳嗽症状加重、伴乏力低热,复查CT发现左肺新出现了游走性阴影。从5月18日影像中,我们可以看到左下叶背段新出现大片实变影;过了三个星期,6月9日,左下叶背段病变较前有所吸收,但是左上叶舌段新出现了片状阴影。这些新出现的游走影似乎和结核的病程不太相符,所以再次做了经皮肺穿刺活检,证实是机化性肺炎。在抗结核治疗的同时配合激素治疗,最终临床症状和影像学病变均缓解。
上海肺科医院曾对机化性肺炎病例进行了回顾性研究,对2000-2013年诊断病例随诊至2017年。在总共1346例机化性肺炎中,继发性机化性肺炎(SOP)占了大部分,为1170例,接近87%,其中有17例是肺结核。有31例最初找不到继发病因,诊为隐源性机化性肺炎(COP),但后来明确了病因而诊为SOP,这其中有4例是结核。[5]
非HIV感染者的TB-IRIS
前面我们提到了免疫重建炎症综合征(TB-IRIS),一般见于艾滋病患者,但非HIV感染者也可能有类似表现。
分享一个病例:
患者男,20+岁,中东难民,肺结核伴脊椎炎、椎旁脓肿。主要症状为咳嗽,盗汗,消瘦(14kg/3月),腰痛9个月。痰菌(+),HIV(-)。抗结核治疗2周后痰培养转阴。一般情况改善。但6周后又出现了临床恶化,不仅原有症状加重,发热、盗汗、腰痛,还新出现了局部神经受累,右侧臀部皮肤感觉减退;影像显示椎旁脓肿增加。主管医生考虑IRIS,使用Pred 60mg/d。激素治疗后临床症状明显好转,但2个月后减至10mg/d,症状又复发了。这时激素又加至Pred 60mg/dX2月,6个月后减至20mg/d。治疗后一般情况好,神经受累症状完全缓解,脓肿减少。抗结核总疗程12个月,激素在其后3个月减停。[6]
由这个病例推测,严重的结核感染本身可能也会对免疫力造成影响破坏,在抗结核治疗过程中,免疫力的变化/恢复有可能会导致反常甚至剧烈的炎症症状。如前文所述,「迟发变态反应」既是宿主对结核菌的防御机制,但又是结核病的致病机制。
还有一些特殊的不典型表现:
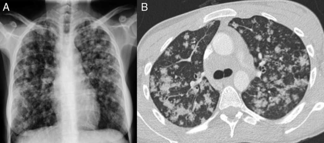
一位19岁女性,有缺铁性贫血史。间断腹痛半年,近3月消瘦10kg,上腹痛伴发热盗汗、干咳1周。胸片及肺CT可见双肺弥漫小结节影,部分融合倾向。3次诱导痰均抗酸菌阳性。[7]
影像中可见斑片结节状的病变相对均匀地弥漫分布于双肺。如果说是沿着气道,又没有明显的树芽症表现,如果说是血行播散,这些病变比一般的粟粒性肺结核又显然粗大的多。所以这个影像是非常特别,有些像转移瘤。但仔细看这些斑片结节几乎都不与胸膜接触,同时其边缘并不清晰光滑而是呈开花状,提示它的本质很可能是小叶中心性结节。
下面这是我们自己最近遇到的一个病例:
44岁的中年女性,既往健康,无症状,因新冠筛查而发现肺部阴影。肺部CT主要为双肺多发结节团块影,增强扫描纵隔窗显示左上肺前段的大片实变内有多发低密度影。当时大家讨论持各种意见的都有,包括转移瘤、真菌、结核或其他分枝杆菌,还有奴卡菌等等。
面对如此不典型的影像,只能继续往前工作。很快做了支气管镜,左上肺灌洗及肺活检均找到抗酸菌,灌洗液分枝杆菌培养Mtb(+)。所以有一句老调重提的话,临床上千万不要轻易排除结核,它可以模拟各种疾病。但是另一方面,深入理解结核病的病理机制,有助于认识一些反常临床表现的本质,而通过有目的地阅读肺部CT,仍可能在一些不典型的病例中发现提示结核的蛛丝马迹,为诊断提供线索。
专家介绍
留永健
北京协和医院呼吸与危重症医学科副主任医师,医学博士,主要擅长呼吸系统疑难疾病的分析和诊断。
本文内容来源自「帅府园论坛」,由《呼吸界》编辑 Jerry 整理、排版,感谢留永健老师的审阅修改!
本文完
未经许可,请勿转载
关注我们
点击文末「阅读原文」,进入《呼吸界》官方网站查看更多