The following article is from 帅府园论坛 Author 田欣伦
欢迎关注“帅府园论坛”。在这里我们将为您提供专业学术指南,同步会议信息与视频,分享领域前沿学术进展,交流新近发表的论文,为医学交流创造更便捷、专业、高效的信息服务平台。
医学上的未知远远多于已知。
但身为医生,我们必须努力去寻找答案。
我始终记得,14年前寻求答案的那个过程。
云阿姨撕心裂肺地咳着,心电监护显示,心率飙升到了130次/分。
我冲到病床边,迅速为其拍背,同时不客气地数落云阿姨的老伴:「喂饭不能太快!您拿的勺子太大了,一定要换成小勺,照顾病人必须要有耐心!」
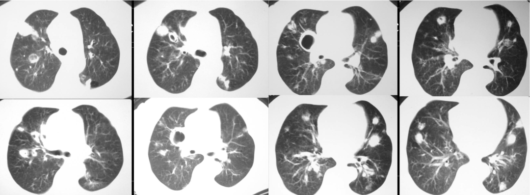
不怪我会如此担心。对于普通人来说,吃饭呛一下没什么大不了。但年过七十的云阿姨身患淋巴瘤,在外院治疗时,还出现了肺空洞(图1),痰中有曲霉菌。经过几次化疗,她的身体已经非常虚弱,合并有心功能衰竭。若是因呛咳诱发肺炎,造成心衰加重,那真是「雪上加霜」!
图1.胸部CT显示云阿姨肺内多发结节及空洞改变
「对不起,实在对不起,」云阿姨的老伴全伯伯一个劲儿地道歉:「我太心急了,昨天入院的时候,大夫说营养一定要跟上,我光想着让她多吃点,太希望她好起来了……」
好在处理及时,云阿姨慢慢平静了下来,全伯伯也跟着松了一口气。
但我丝毫不敢放松。我知道,还有很多考验等着我们。
有创检查做还是不做?云阿姨的肺空洞,到底是之前推测的曲霉菌肺炎,还是其他因素导致的呢?
由于存在心功能衰竭,云阿姨平卧都有些困难,更不要说进食了,只能依靠静脉输液来补充营养以及治疗需要的各种抗生素。想要控制好这么多的液体量,必须小心再小心。好在经过医生护士的精确管理以及全伯伯的细心照顾,云阿姨终于迈过了第一个坎——液体平衡得到改善,心脏负荷有所减轻,达到了做有创检查的条件。
之所以进行有创检查,是因为一个「悬而未决」的难题:云阿姨的肺空洞,到底是之前推测的曲霉菌肺炎,还是其他因素导致的呢?查阅资料发现,肺空洞的病因至少有几十种,如果是肿瘤化疗后的免疫功能受损患者,病因则更为复杂。想要找到症结所在,肺穿刺是非常关键的一步,但云阿姨比较衰弱,患高血压多年,加上呼吸急促,肺空洞靠近胸壁,空洞壁又比较薄,这种情况做肺穿刺的风险较大,发生出血、气胸或是空气栓塞的风险都比常人高。可如果不做穿刺,又无法确定是否存在曲霉菌感染。
做,还是不做?
「我很信任你们。」得知了我的纠结,全伯伯说:「看到你们对我老伴这么着急,你们一定是非常好的大夫。」
这种信任让我感到了几分压力,但更让我觉得,需要给两位老人一个交代。
我马上联系了放射介入科的同事,请他帮忙完成这个高难度的肺穿刺。期间我全程陪同,以防云阿姨出现意外。还好,穿刺过程有惊无险,虽然出现了少量气胸,但没有大问题。从CT引导下的肺穿刺中,并未获得曲霉菌的证据,反而发现云阿姨的穿刺物中有淋巴瘤细胞。
云阿姨病情恶化的关键一直困扰着我,遗体解剖或许能够帮我们找到答案
我们再次进行了多科会诊,讨论的焦点又一次回到患者痰曲霉菌阳性的结果上。因为有各种机会感染的可能,大家仍然觉得,云阿姨的曲霉菌感染不能排除,建议继续积极的抗曲霉菌治疗。但是,经过仔细对比影像学资料,我认为,云阿姨的肺空洞可能与化疗相关:化疗后,病灶减轻;休疗后,病灶增大。但我也不敢说病变没有真菌的可能。
我说服不了肿瘤科大夫开始继续化疗。抗真菌药顺着血管进入了云阿姨的身体,可她依旧日渐衰弱,失去了肿瘤治疗的机会。我们所能做的,只有给予云阿姨更多的关心和照顾,让她能感觉舒服点儿。
几周后的一个清晨,云阿姨离开了我们。她的家人非常悲伤,但也很克制地处理身后事。作为主治医生,云阿姨病情恶化的关键一直困扰着我,遗体解剖或许能够帮我们找到答案。
几经纠结,我给全伯伯打了电话。
「全伯伯,有个事情想和您商量一下……」
电话的那一端的全伯伯似乎察觉到了我的欲言又止,很和善地问:「田大夫,您有什么事情需要我做吗?」
一位刚刚失去至亲的老人,反而问我有什么事情需要他做,这是怎样的胸襟?
我鼓起勇气,问他是否愿意进行遗体解剖。
「田大夫,我老伴的解剖对医学有帮助吗?」
「我们非常希望了解云阿姨的疾病进展。她使用了那么多抗真菌和抗细菌的治疗,在生命最后阶段也输了很多液体。如果可以进行遗体解剖,能帮助我们更好地认识这个疾病,让我们能在日后更好地处理其他病人。」
全伯伯听后说:「我和老伴都是老知识分子,懂得人死不能复生。如果您觉得有价值,我们愿意为医学进步做一点点贡献。」
当今,愿意进行遗体解剖的患者已经凤毛麟角。那是我做主治医生以来的首次遗体解剖,在医务处和病理科的大力支持下,云阿姨的遗体解剖流程正式启动。
经此一事,我们了解到空洞型的淋巴瘤肺部浸润也是淋巴瘤的一种特征性表现
半年之后,医务处打来电话:「田大夫,医院想在近期的全院临床病理讨论会中探讨云阿姨的病例。您能不能拿到患者的第一手影像学资料,给参加讨论的医生做个参考呢?」
为此,我再一次联系了全伯伯,问他是否还保留有云阿姨的检查资料。老人的声音还是那么温和:「我都给你们留着呢,就是担心你们还需要用。」
听了这句话,我躲到墙边,抹掉眼泪。暗暗下决心,一定把这次临床病理讨论做好,才能对得起患者和家属的付出。
讨论会上,呼吸科、感染科和肿瘤科的医生争论得很激烈,最后,病理科医生揭示了答案——如我之前推测的一样,云阿姨的空洞病灶并没有感染,只有淋巴瘤的进展。抗真菌治疗对她并没有帮助,反而因大量液体输注加重了心功能不全。经此一事,我们了解到空洞型的淋巴瘤肺部浸润也是淋巴瘤的一种特征性表现,对于淋巴瘤的认识更加深入、全面。
我时常想,如果全伯伯对于能否进行遗体解剖的回答是「不」,那么,我们可能还深陷在这一医学难题中,百思不得其解。正是因为患者和家属给予的信任与支持,让我们能在面对未知或不了解的疾病时,摸索着向前迈进。一次又一次,在寻求答案的过程中,我们越来越深刻地理解疾病,也挽救了越来越多的生命。
作者介绍
田欣伦
北京协和医院呼吸与危重症医学科主任医师,中华医学会呼吸分会感染学组委员、中国罕见病联盟呼吸病学分会副主任委员、中国研究型医院学会罕见病分会理事;美国NIH呼吸罕见病学者、美国Cincinnati儿童医院医学中心肺部转化医学中心访问学者、美国Mayo Clinic呼吸及危重症科访问学者;组织参与开展了国家十三五罕见病队列中的遗传性支气管扩张、肺泡蛋白沉积症队列等研究课题。
本文引自北京协和医院张抒扬院长主编《医之心,百名协和医学专家医学人文志》,为纪念北京协和医院建院百年,该书邀请了北京协和医院102位医学专家讲述执医生涯中的感人故事。
本文转载自公众号「帅府园论坛」(ID:shuaifuyuanluntan)
原链接戳:答案
本文完
排版:Jerry
关注我们
点击文末「阅读原文」,进入《呼吸界》官网