The following article is from 协和呼吸 Author 彭丽盈 孙雪峰
北京协和医院呼吸与危重症医学科公众账号
患者为55岁中年男性,正是身强力壮之时,却突发全身皮疹,皮疹痊愈之际却又面临更大的危机,双肺多发结节伴空洞,双肾占位,皮肤溃烂,生命堪危。究竟是什么突如其来的疾病让这位农民大叔遭遇「中年危机」?
病例介绍
主诉:皮疹3月,间断发热2月,胸闷腰痛1月余。
现病史:
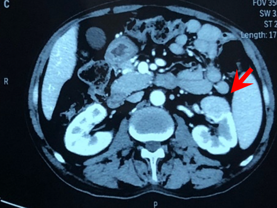
外院CT(图1):
图1:胸腹部CT
外院PET-CT(图2):
图2:PET-CT
外院支气管镜下可见大量脓性分泌物,BALF病原学示多重耐药鲍曼不动杆菌、屎肠球菌、粪肠球菌、构巢曲霉等多种病原菌;
先后应用万古霉素、替加环素、米诺环素、伏立康唑、哌拉西林舒巴坦等治疗效果不佳。
体格检查:
辅助检查:
进一步检查
● 皮肤活检送病原及病理无特殊提示
● 腹股沟淋巴结活检
● 胸膜下结节穿刺活检
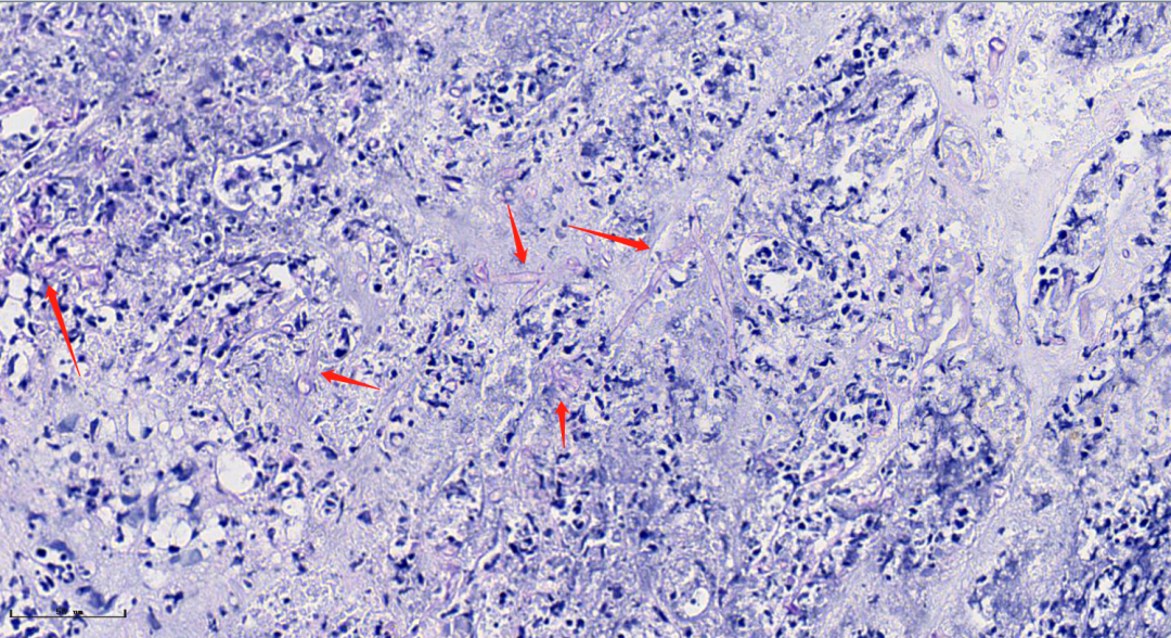
● 肾穿刺活检
图3:肾穿刺活检
● 痰标本、肾穿刺活检组织送检二代测序提示伞枝横梗霉
治疗及转归
予两性霉素B联合泊沙康唑400mg bid治疗约3个月后,因经济条件问题,改为两性霉素B单药治疗3月,因患者消化道反应加重,两性霉素B剂量仅累积到了25mg/天,但患者复查胸部CT较前明显好转。
图4:治疗5月后胸部CT
最终诊断
播散性毛霉菌感染
讨论
毛霉菌感染是一种相对少见,但死亡率较高的真菌感染,通常发生在免疫功能受损的患者中,可累及鼻、眼眶、中枢神经系统、皮肤、肺、肾脏及消化道等器官。
病原学
伞支横梗菌属于毛霉目中的毛霉属,毛霉目普遍存在于自然界中,可在土壤、粪便、禾草及空气中找到。在高温、高湿度及通风不良的条件下生长迅速,可释放大量随空气播散的孢子。因其菌丝宽大,很少分隔,分枝不规则,常呈现独特的「飘带样」的无隔菌丝形态。
正因其菌丝缺乏分隔,在研磨含有毛霉菌的组织标本时,菌丝容易被过度破坏,使得该菌的组织培养常呈阴性。
易感人群
毛霉菌病多见于免疫抑制患者,亦有个案报道毛霉菌病存在于免疫正常者,常见的基础疾病包括血液系统恶性肿瘤、糖尿病、肾功能不全、免疫抑制药物的应用、接受移植的患者等。
临床表现
临床类型:
毛霉菌病的特征是菌丝侵犯血管系统导致宿主组织梗死和坏死,常呈急性起病,病情进展迅速。
鼻-眶-脑感染是毛霉菌病最常见的临床表现,表现为发热、鼻溃疡或坏死、眶周或面部肿胀、视力减退、眼肌麻痹、头痛等,其他常见感染部位还包括肺、消化道、皮肤、肾脏等。
播散性毛霉菌病较为罕见,死亡率可高达50%以上,病情进展极为迅速,需要临床积极治疗。
肺毛霉菌病:
肺毛霉菌病的表现缺乏特异性,发热和咳嗽最为常见,较少见的临床表现包括咯血、胸痛等。
胸部CT表现缺乏特异性,可表现为多发结节、晕征、反晕征、空洞等,上叶受累较为多见。本例CT可见多发类似谷物「麦圈」样改变,是首次报道肺毛霉菌病可表现为多发「麦圈征」的病例。「麦圈征」常常由于气道周围肿瘤性或非肿瘤细胞的增殖所致,可见于肺朗格汉斯组织细胞增多症和肺腺癌,偶见于真菌感染、淋巴瘤、类风湿结节和肉芽肿性多血管炎等。肺毛霉菌病亦可以侵犯纵隔或者胸壁,导致慢性纵隔炎和穿透支气管壁、穿透胸壁导致皮下脓肿等。
诊断
毛霉菌病的诊断通常较为困难,常有诊断延迟。毛霉菌感染的临床表现和影像学表现均缺乏特异性,且毛霉菌病缺乏有效的血清学标志物,真菌感染常用的血清学检查,如G试验、GM试验等,在毛霉菌病患者中均为阴性的。
此外,由于毛霉菌结构特点,组织培养常为阴性结果,因此,组织病理学发现具有典型毛霉菌目结构的微生物可能是毛霉菌感染的唯一证据,之后再通过组织培养或在组织学标本中采用聚合酶链式反应(PCR)技术确诊毛霉菌感染。
治疗
毛霉菌的治疗包括手术切除受感染组织以及抗真菌治疗,并尽可能去除或控制易感因素(如控制血糖、减少免疫抑制剂使用、改善粒缺状态等)。两性霉素B(或其脂质体)为治疗首选药物,泊沙康唑或艾沙康唑可用作对两性霉素B无反应或不能耐受患者的二线治疗,或联合两性霉素B以加强抗真菌作用,但尚无研究比较两性霉素B单药及两性霉素B联合泊沙康唑在治疗毛霉菌病的有效性。此外,泊沙康唑或艾沙康唑亦可用作对两性霉素B有反应患者的降阶梯治疗。
治疗疗程上,抗真菌药物治疗需要持续治疗直至感染的症状和体征临床消退,且活动性病灶的影像学征象也消失,有时甚至需要治疗至免疫抑制状态逆转。
手术切除感染组织对鼻-眶-脑型、单发或者局灶肺毛霉菌病、肾毛霉菌病及软组织感染可改善患者预后。因此,一旦确诊毛霉菌感染,只要临床评估可行,应积极进行手术干预。
预后
毛霉菌病进展迅速,死亡率可高达40%,播散性毛霉菌感染死亡率甚至高达50%以上,影响预后的危险因素包括易感因素、是否手术切除感染组织、合并感染、药物治疗是否充分等等。
本例小结
● 对于免疫抑制状态的患者,在感染的鉴别诊断中,除常见病原体,需考虑毛霉菌感染可能。
● 肺毛霉菌病临床及影像学缺乏特异性,除常见的晕征、反晕征、结节及空洞,亦可表现为多发麦圈征。
● 毛霉菌的诊断缺乏特异的影像学特征、有效的血清学标记物,需要组织病理发现符合毛霉菌形态特征的菌丝,进一步再行组织培养或对组织标本行PCR确诊。
● 毛霉菌病的治疗包括手术切除感染组织及抗真菌药物治疗,抗真菌药物首选两性霉素B(或其脂质体),二线治疗方案或降阶梯方案可选泊沙康唑或艾沙康唑。
作者:彭丽盈 孙雪峰;审核:田欣伦
本文转载自订阅号「协和呼吸」
本文完
责编:Jerry
关注我们
点击文末「阅读原文」,进入《呼吸界》官方网站