今天和大家分享的内容是弥漫性囊性肺疾病(Diffuse Cystic Lung Diseases,DCLD)的诊断思路。我们对间质性肺疾病(ILD)的分类非常熟悉,包括已知原因的和特发性的多种疾病,其中有一类就是弥漫性囊性肺疾病(DCLD),它总会引起一些困惑,因为病因复杂,很多为罕见病,诊断手段有限,经常需要病理来诊断,给临床工作带来了挑战。
在DCLD的诸多病因中,我们需要重点关注这些相对常见的病因——淋巴管肌瘤病(LAM)、结节性硬化症(TSC)、朗格汉斯细胞组织细胞增生症(PLCH)、Birt-Hogg-Dubé综合征(BHD)、淋巴细胞间质性肺炎(LIP)、干燥综合征(SS)、淀粉样变性、轻链沉积……
在疾病分类中,对临床医生来讲,我们把它分成「相对常见的」和「相对不常见的」非常重要,因为考虑诊断时,一般都是从常见病开始考虑。北京协和医院门诊发现弥漫性囊性肺疾病(DCLD)的原因除了淋巴管肌瘤病(散发或TSC相关)最常见之外,还包括BHD、SS、浆细胞病(轻链沉积、淀粉样变)、PLCH、肿瘤等等。
DLCD的病因分类表可以给大家一些印象,就是「DCLD的病因虽然有很多,但相对常见的病因还是很集中的」,文献上提出过多种鉴别诊断步骤,根据我们自己的体会,「以相对常见的病因着手」效率会更高,所以接下来我在诊断思路上做一些提示。
获得正确诊断的7个步骤:1、对表现为肺部弥漫性囊性改变的疾病有基本了解(多为罕见病);2、临床病史和查体的全面采集;3、从影像学特征寻找诊断线索;4、实验室检查;5、基因检查;6、病理检查;7、病因不明继续随访。
一、临床病史和查体的全面采集
首先,从病史和查体的角度来讲,大概有5个问题应该是比较关注的。第一,性别,有些病只发生在某些特定性别的患者上,比如说男性LAM患者非常罕见,虽不能说完全没有,但是概率很低;第二,有吸烟史的患者需要考虑PLCH、烟草相关ILD;其次,还要关注家族史,如遗传性疾病、BHD、结节性硬化症、Marfan综合征。
另外,有些疾病有特征性的临床表现,这些特征性表现不仅带来诊断思路,甚至可以帮助确定诊断,如LAM的乳糜胸、LAM和TSC均可出现肾AML;PLCH中的尿崩症;SS中的口眼干燥症等。
还有肺外表现,我们呼吸科一定要注意病史和查体的完整性,很多肺外的临床表现能够帮助我们诊断,如结节性硬化症和BHD均可累及皮肤和肾(见下图)。
图:结节性硬化症患者的皮肤改变
图:BHD的皮肤表现
当我们有了诊断一个结节性硬化症患者的经历后,下次就不会漏掉,因为患者的肺外表现多种多样,包括癫痫、面部结节、肾AML等,全身都可以受累,不但表现多,而且具有特征性。BHD的皮肤病变在轻的时候容易漏掉,但TSC因为表现多样,即使没有注意到皮肤,也不大会漏诊TSC。
乳糜胸、肾AML、结节性硬化症等均为LAM诊断重要支持依据,已列入诊断标准。
这些病史和查体的注意事项能够为我们提供一个诊断方向,如果患者有家族史或怀疑遗传性疾病,那后续需要考虑做基因检查。
二、通过影像学特点提示鉴别诊断方向
很多疾病通过影像学比较不容易诊断,但如果病变反映的是典型的临床改变,它就能帮助我们获得诊断方向,这就涉及到囊性病变的分布、形态、大小、有没有结节。
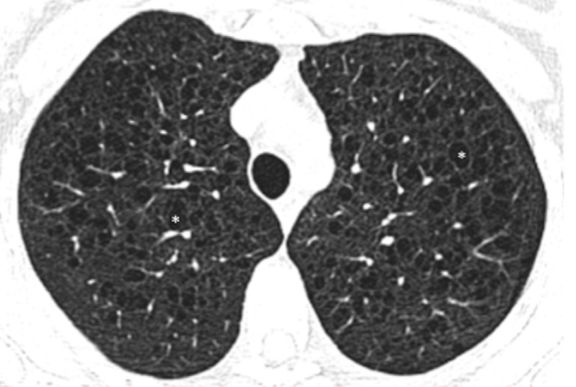
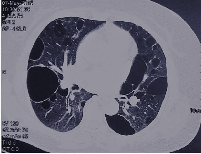
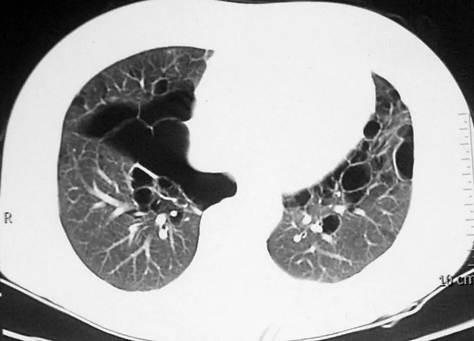
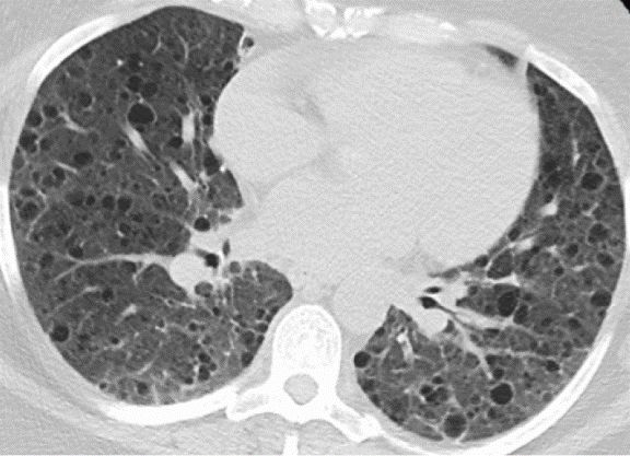
比如淋巴管肌瘤病(LAM),下图是典型影像,呈现弥漫性的薄壁囊肿,病变分布得非常均匀、大小相似:
还可能合并一些肺外表现(如可能会有脑部的改变),但无论有没有结节性硬化症、是散发的还是遗传的,患者都有可能出现有肾脏病变,这点需要注意。
图:淋巴管肌瘤病,TSC相关(结节性硬化症,一种多系统表现的肿瘤性遗传病)
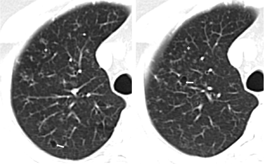
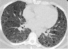
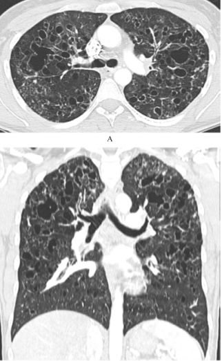
肺朗格汉斯细胞组织细胞增多症(PLCH)要注意囊和结节的特征,它囊性病变的囊壁相对较厚,还可能看到一些结节,所以我们如果看到不规则的、囊壁稍厚、有结节的、分布在中上肺的就一定要注意鉴别PLCH。下面两张影像分别提示我们要注意囊和结节、注意区域分布。
图:PLCH患者的影像,注意囊和结节
图:PLCH患者的影像,注意区域分布
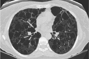
BHD的囊往往会出现比较巨大的泡、有些不规则,靠近下肺和纵膈的情况比较多。
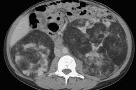
下图也是一个BHD病例,表现为肺部囊性病变+肾脏肿瘤+皮肤异常,提示我们一定鉴别TSC和BHD、要注意肺外表现。
图:BHD,肾透明细胞癌
干燥综合征(SS)是不太容易鉴别诊断的,临床上因为干燥综合征引起肺部囊性改变的情况比较多,注意具有多种病理类型。
图:干燥综合征患者LIP + 淀粉样变
除了罕见病之外,常见病也经常会出现弥漫性囊性病变的表现,如支气管扩张、肺纤维化、肺气肿等疾病都可能出现,这也是我们需要注意的,但一般来讲,这些常见病非常容易诊断,一般不构成鉴别诊断的困惑。
图:A-LIP、B-IPF、C-支扩、D-肺气肿、E-肺气肿、F-肺癌
总而言之,在影像学上,可以着重观察患者是否符合淋巴管肌瘤病、BHD、PLCH的特征,这样可以通过影像学特点来提示鉴别诊断方向。
三、实验室检查
有4点要注意,1、以筛查干燥综合征为重点的抗核抗体,包括SSA/SSB;2、以筛查淀粉样变、轻链沉积为主的轻链蛋白;3、VEGF-D是LAM诊断指标。4、进行BHD、TSC等遗传病的基因检查。
对于淋巴管肌瘤病来讲,血管内皮增长因子-D(VEGF-D)已列为其诊断标准,通过不同的实验诊断方法能够帮助到我们临床获得诊断。[1]
这是实验室检查注意点:
四、病理检查
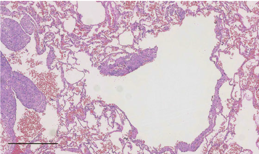
1、TBLB很常用,在诊断淋巴管肌瘤病、PLCH时诊断率高,2、进行冷冻肺活检前需要评估气胸风险,3、在进行VATS即胸腔镜前,要先考虑TBLB,对于淋巴管肌瘤病来讲,TBLB的阳性率较高,达到60%。4、肺外病理对诊断也非常有帮助。
实际上,在我们所有的弥漫性肺疾病中,我觉得TBLB诊断ALM的阳性率是最高的。我们分析了关于TBLB的诊断情况,总体来说,取3~4块标本就可以。
淋巴管肌瘤病的病理特征是肺部囊性改变、LAM细胞肿瘤样增生,免疫组化:HMB45, SMA, ER, PR;分子特征:TSC2突变。
病理诊断是金标准,但不是所有DCLD诊断必须有病理,淋巴管肌瘤病,TSC,BHD等很多情况可根据临床证据确定诊断。
五、DCLD的鉴别诊断思路
我们有一篇综述在2016年发表,对目前来讲依然还是非常有参考价值。
刚才提到的几个方面,包括症状、影像、实验室、病理能够帮助大部分患者获得比较好的诊断。我们的思路和以前的鉴别诊断有些不同的地方,就是着重「以常见病因为基础,重点关注淋巴管肌瘤病、结节性硬化症、BHD、SS、PLCH这5个疾病」,重点了解这些疾病后能够解决临床大多数弥漫性囊性病变的诊断。[2]
我们重点看看淋巴管肌瘤病诊断中一些关键的地方,比如女性、罕见病、肺部弥漫囊性,容易发生气胸、乳糜胸、肾血管肌脂瘤(错构瘤)(AML)、结节性硬化症(TSC)等等,这些都是我们发现一些临床特征时需要引起关注的地方。再次强调,在LAM的诊断标准(2017ATS/JRS)中,病理并非必备标准,可以根据特征性的临床表现确定诊断。
LAM确诊标准:符合LAM的临床病史和肺部CT特征;同时具备以下一个或多个特征。
TSC的肺部受累可以表现为LAM,这也是我们临床需要关注的,所以当诊断了患者LAM之后,也需要再进一步看看有没有TSC的临床表现。TSC是一种多系统遗传性、肿瘤性疾病,临床表现多样,除了LAM,还包括室管膜下巨细胞星形细胞瘤 (SEGA)、面部血管纤维瘤、肾血管肌脂瘤 (AML)等。
最后,了解一下Birt-Hogg-Dube综合征(BHD)。肺部囊性病变出现于90%的BHD患者(常具有气胸和/或家族史),是一种常染色体显性遗传疾病,多有家族史,通过FLCN基因突变能够明确诊断,也可伴有皮肤和肾脏肿瘤,需要仔细查看。
BHD的诊断标准[3]:
以上就是我们要和大家分享的内容,总之,弥漫性囊性病变在临床上经常能遇到,我们在鉴别诊断的时候要多思考一些可能性,尤其是一些相对常见的病因。
专家介绍
徐凯峰
北京协和医院呼吸与危重症科副主任、教授、博士生导师。主要研究领域:(1)罕见疾病,如淋巴管肌瘤病(LAM)、肺泡蛋白沉积症(PAP)、结节性硬化症(TSC)、囊性纤维化等;(2)空气污染与慢性呼吸疾病(哮喘、慢阻肺);(3)呼吸慢病管理与康复,等。中国医药教育协会呼吸病康复慢阻肺分会主任委员;中国罕见病联盟呼吸病学分会主任委员;中国医师协会淋巴疾病专家委员会副主任委员。
本文由《呼吸界》编辑 Jerry 整理自中华预防医学会第七届呼吸疾病预防与控制学术会议,感谢徐凯峰教授的审阅修改!
本文完
责编:Jerry
推荐阅读
1
2
12次胸部CT、4次支气管镜、3次经皮肺穿刺活检未能明确诊断,治疗后肺内结节、空洞仍「此消彼长」,年轻小伙到底因何反复咯血胸痛?
3
冯瑞娥教授:相当部分的间质性肺炎存在同病异像、异病同像及多疾病合并存在的情况……弥漫性实质性肺疾病外科肺活检疾病谱变化带来的思考
关注我们
点击文末「阅读原文」,进入《呼吸界》官方网站