Weixin ID gh_892188e3004f
About Feature 专注细胞治疗,致力国人健康!
作者认为补充外源性干细胞是抗衰老的有效方法。
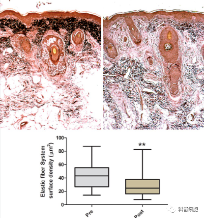
上图显示弹力纤维质从术前的23.69平方微米(中值表面密度)显著增加到41.82平方微米(中值表面密度)
上图显示术后病理性弹性材料显著减少
赋能产业升级帮助企业免费发布行业信息,例如:技术突破、融资喜报、临床进展、患者招募等。
联系主编:CELL5688。
Scan to Follow