来源:生物医用高分子材料
皮肤伤口的有效愈合对我们的生存至关重要。虽然皮肤有很强的再生潜能,但异常的伤口修复可导致机能失调和毁容的疤痕。皮肤瘢痕包括过度沉积和细胞外基质(ECM)错位、细胞增多和慢性炎症。转化生长因子-β(TGF-β)信号通过调节细胞增殖、迁移、ECM的产生和免疫应答对伤口愈合发挥多重作用。尽管阻断TGF-β信号可以减少组织纤维化和瘢痕形成,但全身抑制TGF-β可能导致显著的副作用,并抑制伤口再上皮形成。在本研究中,芝加哥大学吴小阳、华东理工大学朱麟勇教授课题组合作开发了一种基于光交联和脉冲释放TGF-β抑制剂的微胶囊平台的创面敷料,以实现对皮肤创面的时空特异性。该材料增强皮肤伤口愈合,同时有效抑制小鼠皮肤创伤和大型动物临床前模型的疤痕形成。我们的研究提出了一种无痕伤口修复的策略。
图1. 工程化PLGA微胶囊,可以通过光诱导交联整合到皮肤伤口。
图2. PLGA-NB胶囊在体内和体外均表现出延迟和脉冲的负载释放。
图3. PLGA-NB胶囊能增强光交联水凝胶网络。
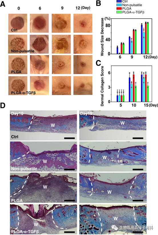
图4. 用PLGA-NB胶囊传递TGF-β抑制剂可以增强皮肤伤口愈合,同时抑制瘢痕形成。
图5. PLGA-NB传递系统可抑制创面愈合后TGF-β信号通路,抑制皮肤瘢痕形成。
图6. PLGA-NB给药平台可促进兔、猪皮肤创面无瘢痕愈合模型的创面愈合。
论文链接:
DOI: 10.1038/s41467-021-21964-0