The following article is from 七彩娘娘 Author 史也医生
生活不易,要活出点色彩
一. 什么是牙周病/牙周炎?
二. 为什么会得牙周炎?
三. 牙周病有什么危害?
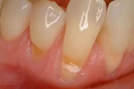
四. 如何判断自己有没有牙周病?
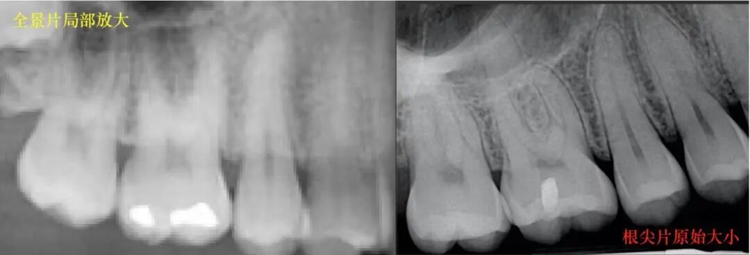
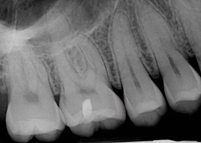
五. 诊断牙周炎需要做哪些检查?
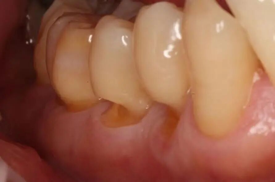
6. 牙周病如何治疗?
7. 关于口腔种植(dental implant)
8. 如何预防牙周炎?
9.问答
- 后台回复关键词,阅读更多精彩内容 -
1.回复『学人书单』,阅读学人独家荐书。
年度荐书、专题书单……
2.回复『学人访谈』,提取学人精彩专访。
萧功秦、方方、徐贲、周启早、王笛……
3.回复『学人专题』,深入了解学人与学界。
余英时、郑也夫、博士论文、虚假期刊……
4.回复『先生之风』,一览略学人风采。
胡适、陈寅恪、钱穆、蔡定剑……