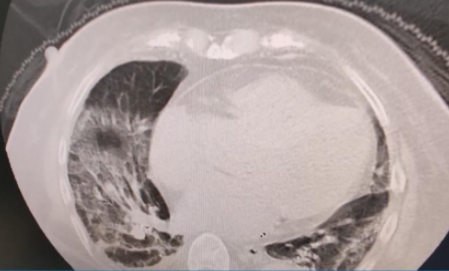
The health condition of Pele, the 82-year-old legend of Brazilian football, has deteriorated significantly in recent days. 82岁的巴西足球传奇人物贝利(Pelé)的健康状况最近几天明显恶化。 One of the greatest football players in the world has been fighting colon cancer for a long time and spent the Christmas holidays in the Albert Einstein Hospital. 这位世界上最伟大的足球运动员之一长期与结肠癌作斗争,并在阿尔伯特·爱因斯坦医院度过了圣诞节假期。 Pele was admitted to the hospital on November 29. The legendary Brazilian made his last public appearance on Instagram when he congratulated Lionel Messi and Argentina on winning the 2022 FIFA World Cup in Qatar. 贝利于11月29日入院,这位巴西传奇人物最后一次在Instagram上公开露面,是祝贺莱昂内尔·梅西(Lionel Messi)和阿根廷赢得2022年卡塔尔世界杯冠军。 A clip is circulating on social media that reveals how serious Pele’s condition is. He said goodbye to his family and friends from his hospital bed. In the video, it can be seen that he is talking to his family on the phone with great effort. 社交媒体上流传着一段视频,可以看出贝利的病情非常严重。他在病床上向家人和朋友道别。在视频中,他正在努力地与家人通电话。The hospital announced that the disease is progressing and that he needs further care in order to avoid further possible heart problems.医院宣布贝利的病情正在恶化,需要进一步治疗,以避免更严重的心脏问题。 His daughter previously confirmed that Pele will spend the festive season in hospital with his family.此前,他的女儿证实,贝利将与家人一起在医院度过这个圣诞节。 “We always have a lot to be thankful for, even if we spend Christmas in hospital, knowing what a privilege it is to be in a hospital like the Albert Einstein Hospital. “尽管我们今年在医院度过这个圣诞节,但我们总是有很多值得感谢的事情,因为我们知道能在阿尔伯特·爱因斯坦医院治疗是多么的荣幸。 It’s really nice to see our father being treated by the professionals who they are extremely loving at the same time. Let us not for a moment forget that privilege. Even in sorrow we must be grateful. 看到父亲能够受到专业人士的治疗我们真的很高兴,他们非常有爱心。让我们永远铭记这份幸运。即使处在悲伤中,我们也必须心存感激。 Thank you for being together, thank you for all your love, thank you for being here with us now. Merry Christmas. Much health, much love, much joy, much laughter and much passion, today and always, to all of you."谢谢你们的陪伴和爱,谢谢你们一直与我们同在。圣诞快乐,无论是今天还是永远,都祝你们所有人健康、幸福、快乐、充满热情。” Some COVID-19 patients were found to have pneumonia or their CT scans showed they had "white lungs" recently.从近期的公众反映情况看,有的新冠病毒感染者在就诊过程中发现了肺炎或者是CT出现了白肺的现象,有网友认为,出现这种情况可能是跟感染了原始毒株或者接种疫苗有关系的。 Now the so-called "white lungs" have nothing to do with the original strain or vaccination, and Omicron is still the dominant strain, Jiao Yahui, a senior official with the National Health Commission, said at Tuesday's press briefing.国家卫健委的高级官员焦雅辉在周二的新闻发布会上表示:现在出现的所谓“白肺”与原始毒株和疫苗接种没有关系,当前的流行优势毒株仍然是奥密克戎毒株。 白肺(White Lung)是肺部影像学表现的一个口语化描述。当出现炎症和感染,肺泡被渗出液等填充,在影像学上的表现就是出现白色区域。并不是只要肺部出现了炎症就都叫白肺,一般来讲肺部炎症较重、渗出液较多,白色的影像区域面积达到70%—80%时,在临床上把它称为白肺。 Beijing CDC researcher Pan Yang said the virus subvariants circulating in Beijing are the Omicron subvariants BF.7 and BA.5.2. 北京疾控中心研究员潘阳说,在北京流行的病毒亚型是奥密克戎亚型BF.7和BA.5.2。 No XBB, BQ.1 or other variants were found in Beijing communities, and non-Omicron variants such as the original strain and Delta strain were not detected, said Pan, according to Beijing Daily.在北京社区未发现XBB、BQ.1或其他变异株,据《北京日报》报道,潘阳表示,没有检测到原始株、德尔塔等非奥密克戎变异株。 Wuhan, Central China's Hubei Province, has carried out sampling and monitoring in two sentinel hospitals once a week, collecting 20 throat swab samples each time.中国中部的湖北省武汉市每周对两所哨点医院进行一次采样和监测,每次采集20份咽拭子样本。 In December, the samples were increased to 40 each time, and Wuhan Jinyintan Hospital was added as a sampling sentinel hospital this week, according to the Hubei authorities on Tuesday.据湖北当局周二称,12月份,每次抽样数量增加到40个,本周又增加了武汉金银潭医院作为哨点医院, The monitoring data indicate that Omicron BA.5.2 is still the variant circulating in Wuhan.监测数据表明,奥密克戎BA.5.2仍是武汉地区流行的变种。 Since October, all the viruses detected in the collected samples were BA.5.2 variant strains, and no other types of strains were found, Yang Xiaobing, an official with the Wuhan CDC, said on Tuesday.自10月份以来,收集的样本中检测到的病毒均为BA.5.2变异株,未发现其他类型的毒株,武汉市疾控中心的一名官员杨小兵周二表示。 As for the public's question over whether people will be reinfected, Wang Guiqiang, director of the infectious diseases department at Peking University First Hospital,对于公众关于会不会再次感染的问题,北京大学第一医院传染病科主任王贵强接受新华社记者采访时表示, told Xinhua that for the vast majority of people with normal immunity, there will be effective immune antibodies for half a year, and the probability of reinfection from the same strain is very low.对于绝大多数免疫正常的人来说,半年内都会有有效的免疫抗体,而来自同一菌株的再次感染的可能性非常低。 However, reinfection may occur if a new mutant or subvariant shows strong immune escape ability, so Wang suggested the public still be cautious after this wave of outbreaks.然而,如果一个新的突变体或亚变异体表现出很强的免疫逃逸能力,就可能发生再次感染,因此,王贵强建议公众在这波疫情爆发后仍需谨慎。 素材来源:Global Times、Fortune