现代临床医学之父威廉奥斯勒(Willian Osler)有一句名言:“病理学乃医学之本(As is the pathology,so is our medicine)”。因此,在临床医学上病理医生亦被誉为“医生的医生”。病理医师通过显微镜观察病变的组织和细胞据以鉴别病变的本质,并通过病理学特殊检查和整合临床病理信息,最终做出对疾病的精准诊断,用于指导临床医生的治疗决策。因此,病理医生是疾病个体化诊疗和预后判定关键信息的提供者。
病理学作为重要的医学基石学科,已经走过百年历程,其内涵已经从单纯定性发展到指导精准治疗的关键学科。我国现代病理学经过几代病理人的努力,取得了长足的发展。
诊断病理学是病理学的重要分支,而肿瘤病理诊断是诊断病理学中最重要的核心部分之一。肿瘤的治疗经历了手术、放化疗、分子靶向治疗,再到免疫治疗,基于肿瘤组织病理、细胞病理、分子病理诊断在内的准确肿瘤病理诊断是实施肿瘤精准治疗的前提,对于提高肿瘤患者总体生存率起到了关键作用。步入肿瘤个体化治疗时代,做好以临床诊治需求为导向的肿瘤病理规范化诊断、加强临床病理沟通,是值得病理同行共同思考和探讨的问题和追求的方向。相较于肿瘤细胞病理诊断和分子病理诊断,基于组织形态学的肿瘤组织病理诊断的内涵更加丰富,也是细胞病理和分子病理的基石。本文仅对肿瘤组织病理诊断相关内涵,主要包括基于光学显微镜下进行组织形态学观察的组织学分型、伴随诊断(免疫组化)以及新辅助治疗病理反应评估的发展现状,以及机遇挑战进行简要阐述,供同行探讨。
一、肿瘤组织病理诊断
肿瘤组织病理诊断的基本内涵是组织学分型以及常规肿瘤病理的规范化诊断。亚专科建设有助于保证相应亚专业肿瘤的病理诊断规范化和提高诊断质量。
1. 组织学分型
基于器官、部位的肿瘤组织学分型是肿瘤病理诊断的基础,也是肿瘤组织病理诊断最基本的部分,直接提示肿瘤的良恶性质和组织来源。国内病理学家前辈们在参考国际肿瘤分型的基础上,结合自己的经验和智慧创作的诊断病理学的著作,为广大国内病理医生的成长和日常诊断参考起到了重要作用[7-9]。大部分的肿瘤病变具有典型的组织学形态,常规HE染色切片即可做出明确诊断。少部分形态不典型来源不明确的肿瘤可通过免疫组化或分子检测等辅助鉴别诊断技术得以明确诊断。极少数疑难肿瘤病例则需要提请院际间病理专家会诊。
目前国内关于肿瘤组织病理分型的依据和进展主要参考WHO分类,对于肿瘤组织学新分类一直处于被动的接受阶段。笔者认为,WHO分类是现阶段最有价值的参考资料,但不能完全照搬,国内病理届应有组织的对每一个新分类进行讨论分析并达成共识是否采纳,作为全国病理医师诊断的依据。因为没有分类是完美的,会受限于编者知识的局限性以及疾病本身的认知局限性,同时应考虑新分类的临床实用性。再者,部分中国常见的肿瘤,比如食管癌、胃癌、鼻咽癌等,应更依赖于我国学者的研究。可喜的是,近年来,部分专科医生已逐渐参与到新的WHO分类中,参与部分章节的编写。组织学新分类的提出期待更多病理医生对诊断细节的关注、探索和总结,任重而道远。
2. 规范化诊断
规范化肿瘤病理诊断,尤其是术后病理报告是否规范化,直接影响大部分早中期肿瘤患者的后续治疗和管理,主要包括组织学分型在内的其他病理诊断要素,包括但不限于肿瘤大小、浸润深度、侵犯范围、切缘、脉管瘤栓、神经侵犯、淋巴结转移等影响pTNM分期或高危因素的要素。规范化病理诊断是对于诊断病理医生最基本的要求,是目前国家质控部门和国内病理行业共同努力追求达到的标准。同时也是国家实施肿瘤诊治均质化目标的重要组成部分。针对不同肿瘤临床诊治需求,肿瘤病理诊断的规范化要求及层次不同,主要有以下几种:
1)术前活检:即临床评估可手术患者,病理诊断首先需要明确肿瘤性质,即良恶性,其次是组织学分型,两者是相互关联的。但由于活检组织观察的局限性,尤其越来越多送检的是穿刺组织或细胞,部分仅基于形态学无法准确判断肿瘤组织学分型(如活检组织或细胞很少,形态不典型等),在不影响临床首选手术治疗策略的情况下,可仅提示良恶性的诊断。但病理医生必须明白,部分组织学亚型的诊断会改变治疗策略(如淋巴瘤、或小细胞癌等),由手术变为化疗或放疗等,此时组织学亚型就相当重要。如果由于组织观察的局限性而不能明确此类组织学分类,则需要辅助诊断或建议临床重复活检或切除活检;
2)术后病理诊断:术后病理诊断包括组织学亚型、pTNM分期要素、切缘及相关高危因素等,直接影响患者后续治疗策略和管理,如前所述规范化诊断报告的重要性;
3)晚期患者组织活检:晚期患者的病理诊断绝大多数均基于活检组织,病理诊断除要求准确的组织学分型外,必要的辅助免疫组化进行亚型鉴别,例如肺腺癌,需要兼顾伴随诊断检测(免疫组化和/或分子病理检测),尽量避免不必要的组织浪费。晚期患者活检组织若不能满足上述要求而影响治疗决策,须建议结合临床重取活检。
3. 亚专科建设
各系统肿瘤组织学类型繁多,肿瘤病理分类经常更新,新的亚型也不断出现,因此,病理诊断医生可能难以做到面面俱到。在结合各自医院科室客观条件的前提下,具有一定规模的病理科可实行亚专科化或半亚专科化,有助于推动病理诊断规范化、少见或疑难病例的解决能力、新分类知识的及时更新、以及针对新分型的更深入研究。
二、肿瘤伴随诊断
随着近十余年不同类型肿瘤靶向治疗的持续进展,肿瘤伴随诊断应运而生,即精准检测是治疗的先决条件,检测结果直接决定是否能够实施相应的靶向药物治疗。伴随诊断(即接受某种药物治疗前必须进行的体外诊断检测)主要是基于核酸的分子病理检测和免疫组化检测,本文只阐述跟绝大多数病理诊断医生相关的免疫组化检测。目前最具代表性的基于组织病理检测的伴随诊断检测包括乳腺癌和胃癌的HER2检测、肺癌的ALK检测,以及抗PD-1/PD-L1免疫治疗的PD-L1表达检测。
1. 乳腺癌和胃癌HER2表达检测
乳腺癌HER2检测是国内病理诊断经历的第一个真正意义上的肿瘤治疗伴随诊断,其免疫组化判读标准经国际多中心随机临床研究结果等循证医学证实,结果按HER2(0, 1+,2+,3+)进行报告,HER2(3+)患者即可直接判为HER2阳性,可使用赫赛汀治疗。几年后,胃腺癌HER2检测也成为胃腺癌赫赛汀靶向治疗的伴随诊断。HER2检测结果准确性的临床意义不言而喻,假阳性可导致被误治患者同时承担了贵重的药费和承受了不必要的毒副作用。而检测假阴性则导致患者被贻误了有效治疗的机会并因此影响患者预后。因此HER2检测成为我国国家病理质控中心成立后的首个质控项目,尽管最初几年步履艰难,但经过几年的不懈努力,国内多数病理科的诸多检测环节得到了显著的提高,包括实验室硬件(全自动免疫组化仪的购置)、检测前、中、后各环节的质控以及病理医生的质控理念。全国各医院病理科乳腺癌HER2阳性率也从最初的5%-50%逐渐回归到相对正常范围(15%-25%)。大部分病理实验室也建立了相应的标准化操作流程(SOP),为实验室其他检测项目的标准化检测奠定了基础。需要指出的是,基于免疫组化平台及检测项目,影响检测结果的客观因素和主观因素始终存在。我们的目的是通过规范化流程尽最大可能降低这些因素对检测结果的影响,如术后标本的及时标准化固定、使用验证后的检测试剂平台、减少判读偏差等。
基于HER2检测存在“金标准”,即通过原位杂交技术(FISH)检测HER2基因的拷贝数(扩增/无扩增),使得在规范化检测后判读有了统一的标准,尤其是对连续的染色强度进行人为的强、中、弱分层判读有了“证据”(图1)。HER2免疫组化和分子检测人员对结果的互动有助于提高HER2检测结果的准确性,尤其是对免疫组化染色强度判读标准的把握。HER2的检测开启了国内病理形态诊断质控的先锋,也由经验性诊断到证据判读的转变,具有划时代的意义。尽管国内HER2检测标准指南一直紧跟美国CAP/ASCO标准,但近几年的更新逐渐融入了国内元素,也为今后的ALK检测和PD-L1检测奠定了良好的基础。
2. 肺腺癌ALK表达检测
有了HER2检测的经验积累,尤其是检测硬件、质控体系和意识等,肺癌ALK表达检测在国内的开展,尤其是检测本身,颇为顺利,并且相对于美国,中国在肺癌ALK免疫组化的临床应用早了近3年,检测平台数量也是世界之最。ALK检测的研究也得到了国际认可,并有了基于国内研究数据及实践的专家共识。相较于HER2判读是一个连续的基于染色强度的判读,ALK判读是二元论判读,即不考虑染色强弱,只考虑肿瘤细胞正确定位的有或无染色。尽管简化了判读层次,但实践数据告诉我们,判读的难度并不亚于HER2。由于在ALK检测系统中加入了信号放大步骤,导致增加了背景染色的概率,这对于一个不考虑染色强度即可判读的结果增加了风险,尤其是假阳性。与HER2检测相同,基于ALK检测也有“金标准”,即ALK基因易位,因此,一个标准化的ALK染色检测流程及结果判读可以与基因检测进行对比确证(图2)。ALK免疫组化和分子检测人员对结果的互动同样也有助于确保ALK结果的准确性,尤其是对真正阳性染色模式判读的把握。也是“有据可依”的伴随诊断检测。
图① 乳腺癌HER2免疫组化检测(4B5抗体,BenchMark染色仪,Ventana)结果显示着色强度为一个连续的谱系,判读标准中的染色强度(1+~3+)为人为界定,因判读者对着色强度存在差异,应通过与FISH检测结果比对达到相对一致,减少个体间差异。
图②肺癌ALK免疫组化检测(D5F3抗体,BenchMark染色仪,Ventana)结果显示,部分不典型着色病例须通过FISH检测进行比对确认。部分可能由标本前处理不规范或标本保存时间过长所致,部分为背景着色。
3. PD-L1表达检测
PD-L1表达检测是非小细胞肺癌部分免疫治疗药物的伴随诊断,也是其他免疫治疗药物或其他肿瘤免疫治疗的补充诊断。然而,相较于HER2和ALK,PD-L1检测的挑战巨大,不但检测试剂及平台、判读阈值不同,相对应的药物也不同,最要命的是PD-L1检测没有金标准,即没有人知道正在进行检测和判读的标本客观上应该是阴性还是阳性。因此对检测的标准化操作流程和判读培训尤其重要。目前国内PD-L1的检测临床应用刚处于起始阶段。相关的检测指南也有待于行业的努力。
三、新辅助治疗术后病理评估
新辅助治疗给肿瘤治疗疗效早期评价提供了一个窗口。由于实施新辅助治疗的患者属于“可手术”或“潜在可手术”,如果按照以往评价肿瘤治疗疗效经典的无疾病进展时间(PFS)和总生存(OS)来评价,需要很长时间的随访,因为这部分患者大部分不会发生复发或转移。因此,可采用先给予一段时间的化疗/放疗后,对术后的标本进行病理反应评估,病理反应评估的结果可供提示预后的早期指标。如果术后标本达到了完全病理缓解(complete pathologic response, pCR)或主要病理缓解(majorpathologic response, MPR),则提示患者具有较好的预后,否则预后较差。同时,通过病理反应评估可进一步指导术后临床治疗方案的制定。
1. 新辅助化放疗术后病理评估
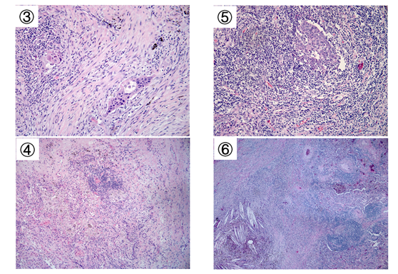
目前,新辅助治疗在多种肿瘤临床治疗中广泛开展,尤其是乳腺癌、结直肠癌、胃癌、食管癌、肺癌、宫颈癌等。术后病理评估成为了常规病理组织诊断重要的组成部分。新辅助治疗后病理反应评估的规范化对临床的意义不言而喻。目前也已有多个相应的评估标准系统。这些系统主要基于治疗后残存肿瘤细胞(residual viable tumor, RVT)的数量进行分级,根据RVT面积占整个肿瘤床(tumor bed,即治疗前肿瘤存在的范围)面积的百分比,即%RVT。术前化疗/放疗可导致肿瘤细胞死亡,后者可激发机体免疫系统对死亡的肿瘤细胞进行清除(免疫细胞浸润)和残缺部位的修复(主要是机化)(图3-4)。病理反应评估是需要对肿瘤床的确认以及肿瘤床内RVT和坏死、机化、免疫反应组织等面积的评估,最后计算%RVT。为了最大限度的降低主观性因素,必须依赖大体取材对肿瘤床的准确定位、测量、规范取材及标记,必要时需对肿瘤床进行全部取材。目前尚没有全肿瘤新辅助治疗的病理反应评估通用标准。
2. 新辅助免疫治疗术后病理评估
近几年来,以PD-1/PD-L1抑制剂为主的免疫治疗开启了肿瘤治疗新时代。基于肿瘤免疫治疗有较好的疗效和较轻的毒副作用,新辅助免疫治疗或新辅助免疫联合治疗正逐渐进入临床研究,如黑色素瘤、三阴性乳腺癌、膀胱癌、非小细胞肺癌等。与化放疗的直接杀伤肿瘤细胞的作用机制不同,免疫治疗是通过启动和强化机体自身免疫系统对肿瘤细胞进行杀伤,因此具有与新辅助化放疗后明显不同的病理组织学特征(图5-6)。基于新辅助化疗后病理反应评估的思路并结合新辅助免疫治疗后独特的病理组织学特征,提出了一个初步的新辅助免疫治疗术后病理反应评估标准,其重要的指标也是%RVT。治疗后肿瘤床的成份主要与免疫反应相关。该标准是通过对基于一个小样本非小细胞肺癌临床研究的观察而提出的,还需要更多临床研究和更大样本的验证,并应兼顾病种和人种。同时最主要的是需要通过长期的随访,与PFS和OS进行相关性分析。由于免疫治疗是调动患者自身的免疫系统对肿瘤进行杀伤,这就需要免疫细胞的入侵、增生及T细胞介导的杀伤,以及足够的时间进行杀伤,因此从开始进行新辅助免疫治疗到手术的时间间期很重要。新辅助免疫治疗的另一个特别的优点是,免疫治疗能够激活原发灶上肿瘤细胞的免疫原性,调动免疫系统对进入循环系统的微转移进行有效杀伤,从而降低术后复发率,延长远期生存时间。另外,新辅助免疫治疗后手术标本给研究免疫治疗机制、敏感及耐药生物标记物的鉴定提供了丰富的标本材料。也为病理医生能够参与免疫治疗研究提供了机遇。
图③新辅助化疗后残存肿瘤细胞及周围的肿瘤床
图④新辅助化疗后肿瘤床与周围肺组织的交界
图⑤新辅助免疫治疗后残存肿瘤细胞,与图③相比,可见肿瘤细胞内及周围的肿瘤床见高密度免疫细胞浸润
图⑥新辅助免疫治疗后肿瘤床与周围肺组织的交界,与图④相比,除高密度免疫细胞浸润外,可见大量的三级淋巴结构
四、临床病理沟通
肿瘤治疗属于综合治疗,需要外科、内科、放疗科、影像科、病理科等多学科团队(MDT)共同参与的诊疗模式。基于病理在肿瘤诊治领域的重要作用,病理医生对于MDT团队至关重要,尤其在肿瘤专科医院。病理医生应主动掌握和了解临床的诊治需求、与诊断相关临床治疗的策略以及明白提示的病理诊断结果对临床诊治的影响,提供充分的肿瘤病理信息,并须让临床医生了解诊断的内涵和意义,指导临床医生选择正确的治疗策略。MDT最重要的目的给患者制定最适合治疗策略,达到临床获益最大化,同时,参与MDT可以培养年轻医生的成长,不管是增强专业知识还是扩大知识面,并能进一步增强各学科医生间的感情沟通。
五、展望
肿瘤组织病理诊断领域的内涵和深度的不断拓展,给病理医生在肿瘤个体化精准诊治和综合治疗全过程中提出了更高的要求和责任,对肿瘤病理学科的发展即是挑战,同时也提供了机遇。本文所述肿瘤组织病理诊断均为病理医生的基本要求,其正确与否直接关乎临床对患者的诊治、疗效评估及预后预测。如何实现国内各级医院常规病理诊断水平规范化、同质化,同时分级设置区域性病理会诊中心,提高疑难病例会诊质量和水平,需要全体病理同仁的共同努力。
引用本文: 应建明, 吕宁. 肿瘤组织病理诊断的发展现状、机遇与挑战 [J] . 中华病理学杂志,2020,49 (11): 1097-1101. DOI: 10.3760/cma.j.cn112151-20200410-00306