表姐向我吐槽,相亲又失败了。我很奇怪,表姐长得漂亮,性格开朗,家境也不错,为什么会失败呢?
追根问底,终于找到原因——口臭。按理说口臭不是什么大病,可是一张口就把相亲对象“熏”走了,难怪总是见光死。
为了去口臭,表姐特意找过口腔专家。不问不知道,一问吓一跳,原来口臭的人这么多。
据世界卫生组织统计,全球有20%的人患有口臭,而在中国口臭率高达27.5%,也就是说4个人当中就有1个人口臭。
口腔专家表示:口臭分两种,一种是“ 张嘴臭”,一种是“闭嘴臭”。
张嘴臭是短暂的,只要注意口腔卫生就能得到缓解,而要是闭着嘴都能闻到一股臭鸡蛋味,那八成就是感染了幽门螺旋杆菌了。
幽门螺旋杆菌是什么?
幽门螺杆菌病简称HP,是目前所知能够在人胃中生存的细菌。它能够分泌尿素酶,催化尿素水解成氨,而氨是口臭的主要来源。
闭嘴臭的人,无论怎么刷牙、漱口、嚼口香糖都不管用,刚刷完牙几个小时,嘴巴又臭气哄哄了。
幽门螺旋杆菌不仅会导致口臭,更有超过90%以上的十二指肠溃疡和80%左右的胃溃疡,都是由它感染所导致的。
在2018年《全球致癌物排行榜》中,幽门螺杆菌名列第54位!
更可怕的是,幽门螺旋杆菌具有高度传染性,父母给孩子喂食、朋友一起吃火锅,都有可能染上幽门螺旋杆菌。
尤其是小孩,胃很脆弱,一旦染上了,就很难消除。
预防幽门螺旋杆菌,从刷牙开始。今天给大家带来幽门螺杆菌克星——铁皮石斛牙膏:它对于幽门螺旋杆菌有强烈的灭杀效果,能够从根源去除口臭,恢复口腔健康。
小编办公室同事亲测有效,效果太惊艳,刷完牙口气清新长达8小时,而且越刷越白。
表姐一口气用了2个星期,口臭竟然消失了。去牙科检查,发现幽门螺旋杆菌已经灭杀干净了。
中华仙草之首
强效灭杀幽门螺杆菌、除口臭
口臭的根源是幽门螺旋杆菌,铁皮石斛牙膏采用草本抗菌配方,能够灭杀99%以上的幽门螺旋杆菌,从根源上去除口臭。
铁皮石斛是一种名贵中药材,药用价值超过天山雪莲、人参、冬虫夏草,被誉为“中华九大仙草之首”。
现代医学发现,铁皮石斛中的活性石斛多糖具有强大的抑菌效应,能够强效灭杀幽门螺旋杆菌。
不管是附着在牙齿表面的食物残渣、斑菌,还是牙齿缝隙,牙龈深处,口腔粘膜、唾液中的幽门螺旋杆菌都能360°全口腔无死角的消灭干净!
为了检验铁皮石斛牙膏的灭菌效应,我们把普通牙膏和铁皮石斛牙膏同时加入含有幽门螺旋杆菌的器皿中。
10分钟后,加入普通牙膏的器皿中,幽门螺旋杆菌数量没有明显变化,而加入铁皮石斛牙膏的器皿中,幽门螺旋杆菌几乎被灭杀干净。
左:普通牙膏;右:铁皮石斛牙膏
铁皮石斛牙膏不仅能够灭杀幽门螺旋杆菌,其中的小分子更能长时间附着在牙齿和口腔黏膜上,8小时长效抑菌,维持健康的口腔环境。
经过检测,刷牙后12小时,口腔内幽门螺旋杆菌存活率不足1%。没有了幽门螺旋杆菌,根源性口臭自然消失。
@张女士,25岁,文员
一开始没感觉,直到有一次不小心听到同事说自己口臭,才发现自己口臭竟然这么严重。听说铁皮石斛去口臭效果不错,一口气买了2支。背地里悄悄测试过,口臭几乎没有了。
2
微纳米活性除垢亮白,1分钟美白去渍
铁皮石斛牙膏不仅可以除口臭,美白去渍效果也极其强大。铁皮石斛牙膏中含有珍珠贝、植酸钠和水合硅石,是国际公认的高端纯天然美白成分。
它们对于烟垢、茶垢、槟榔垢、咖啡垢、牙菌斑有强大的分解清除效果。
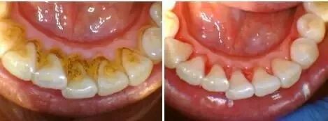
用它刷牙2分钟,牙垢、牙渍溶解脱落,牙齿像珍珠一样白皙。
市面上普通牙膏为了节省成本,往往采用碳酸钙成分,容易给牙釉质带来永久性的损伤。
而铁皮石斛牙膏应用了微米技术,微米级别的分子能够渗透进牙齿表面和牙缝中,快速溶解牙齿污垢和牙菌斑,还不会对牙齿造成损伤。
为了检验铁皮石斛牙膏的美白效果,我们特意在脆弱的鸡蛋上做了测试。
鸡蛋壳上有和牙菌斑类似的块状斑点,普通牙膏只能刷掉一部分,但顽固污垢还会残留很多。而铁皮石斛牙膏效果立竿见影,不仅刷得干干净净,还没有一点摩擦的痕迹。
有了铁皮石斛牙膏,各种食品渍、咖啡渍、茶渍等都能轻松解决,即使是堆积了20年的烟渍也能去掉。
@周女士,文员,28岁
经常喝茶,导致一口的黄牙,听说洗牙挺疼的,没敢去。老公找来铁皮石斛牙膏,才2个星期,黄黄的牙垢没了,像洗了牙一样。
@刘女士,24岁,收银员。
因为牙黄,平时都不敢笑,怕黄牙被顾客看到。一副愁眉苦脸的样子,为此还被领导批评了。用了铁皮石斛牙膏10多天,牙齿变白了,笑起来毫无压力。
快速抗敏消炎 缓解牙龈红肿
口腔溃疡不是什么大病,可疼起来却是要人命!
喝水痛、吃饭痛、说话也痛,就连最基本的吞口水和张嘴都痛。
牙膏中含有白芨提取物,是抗炎消肿、缓解溃疡的好东西。
使用铁皮石斛牙膏,可以快速地消炎止痛;连续用上3天,溃疡疼痛明显减轻。
而且白芨具有高度的粘性,能够在溃疡处形成保护膜,防止溃疡感染,促使溃疡面愈合。
同时,白芨中的多种聚糖,有缓解牙龈敏感、出血的功效。刷牙易出血的人,建议使用铁皮石斛牙膏,第一次刷就能感觉疼痛减轻了。
坚持使用,不仅牙龈出血、敏感会得到很大的改善,牙口越来越好,就连口腔溃疡也逐渐消失。
@林女士,34岁,会计
平时饮食没注意,辛辣生冷荤腥不忌,结果牙龈出问题了,一刷牙就满嘴是血。听说铁皮石斛牙膏对牙龈出血管用,趁着活动买了2支,效果太好了,已经一个星期牙龈没出血了,为它点赞。
4
安全不含氟,大人小孩都能用
市面上的很多牙膏都添加了氟元素,而氟的过度摄入会导致牙齿变色,形成难看的氟斑牙。
尤其要注意的是儿童,容易误吞牙膏泡沫,导致体内氟含量过高,影响智力发育。
铁皮石斛牙膏配方温和,安全不含氟,不添加糖精、化工香料,大人小孩都能用。
不添加阿斯巴甜,采用温和的草本薄荷,清凉口感的同时又带着天然植物的芬芳。
牙膏经过国家轻工业牙膏制品质量监督检测中心的严格检测(编号:GQYLJ2019K3184),所有检测项目均符合国家标准,安全可靠!
牙膏一体成型,绿色膏体质地柔软,入口感觉很舒服!
如果你有顽固性口臭、牙黄、牙龈肿痛,强烈建议你用铁皮石斛牙膏,用过的都说好。
▼
我们郑重承诺:
1、如果收到的物品您不满意,可联系寄件人处理;
2、全国包邮,顺丰包邮,敬请放心购买;
3、支持货到付款;
有多大能力办多大事儿,重要的是做一个真实的人。宁愿要1个客户买10次,也不要10个客户就做一锤子买卖。所以,郑重承诺:为了让你购买更放心.只要你对我们家产品有任何不满,一定给您退货退款!品质如金!承诺如金!!!
购买方式:点击下面阅读原文,填写姓名、电话、收货地址即可下单,下单成功,我们会第一时间安排快递给您发货
点击阅读原文立即购买!
Go to "Discover" > "Top Stories" > "Wow"