作者:陈燕珠 李遐 曾勉*
中山大学附属第一医院 MICU,广州
*通讯作者
重症社区获得性肺炎呼吸衰竭并发急性肝功能衰竭,随后又出现巨细胞病毒(CMV)肠炎,病情辗转迂曲,进展迅速,严重危及生命,对临床诊治提出了很高的挑战,及时机械通气辅助呼吸,积极强有力抗感染,护肝,人工肝治疗,长足疗程的更昔洛韦抗病毒治疗,有利于病情的控制和逆转。本病例临床实属罕见,现报道如下,并结合文献对该病例进行讨论。
患者男,33岁,因“发热、咳嗽、伴气促、全身皮肤黄染进行性加重10天”于2015-6-4拟重症肺炎呼吸衰竭,多器官功能障碍综合征(MODS)由外院呼吸机辅助通气下转入院。
患者2015-05-23无明显诱因开始出现高热,伴畏寒、寒战,伴咳嗽,咳少许白色黏痰,并逐渐出现皮肤、巩膜黄染,尿色加深、尿量增多,于2015-05-30急诊入当地医院,血常规(2015-5-30):WBC16.86×109/L,Hb36g/,PLT 302×109/L;肝肾功能示:ALT 178U/L,AST 140U/L,ALB 27.4g/L,TBIL 71.6umol/L,DBIL 71.6umol/L;胸片示“右下肺部感染”。予抗感染、输血护肝等治疗后出现气促并进行性加重,伴皮肤黄染进行性加深,复查胸片示“双肺重症肺炎”,CT示“肝脾肿大,胆囊炎”。2015-06-01转入该院ICU,行气管插管、呼吸机辅助通气,并予“泰能+阿米卡星”抗感染及对症、支持治疗,患者仍反复发热,咳大量黄痰,复查血常规(06-03)白细胞计数正常、中度贫血、血小板计数减少;肝功能示胆红素较前明显升高(TBIL451.3umol/L,DBIL 355.7umol/L),为进一步诊治2015-06-04转我院MICU。自患病以来,精神食欲差,大小便正常。既往有“地中海贫血、脾大”病史10余年。否认外伤、吸毒史,近期无服用特殊食物、中药等,无烟酒嗜好。家族史,弟弟有乙肝史,姐姐地贫病史。入院查体:体温39.4℃,心率120次/分,呼吸45次/分,血压80-110/65 mmHg。FIO2 60%,SpO2 90%。体型消瘦,意识模糊(镇静状态下),经口气管插管呼吸机辅助呼吸,中度贫血貌,全身皮肤及黏膜黄染;双肺呼吸音粗,右下肺可闻及湿性啰音;肝肋下5横指处可及,质硬,脾脏肋下可触及,I线15cm,II线17cm,III线+1cm,质韧,无压痛;双下肢中度凹陷性水肿。
入院时实验室检查:
急查动脉血气:FIO260%,PaO2 114mmHg,PaCO239mmHg,A-aDO2 390mmHg,OI 143。
血常规:WBC 9.35x10^9/L,NEUT% 0.854,Hb 88g/L,PLT 100x10^9/L;PCT:2.20ng/mL;
肝功能:TBIL 392.4umol/L,DBIL 335.7umol/L,IBIL 37.3umol/L,ALT 143U/L,AST 158U/L,ALP 114U/L,LDH 1330U/L,GGT 150U/L,胆碱酯酶(CHE) 1757U/L,白蛋白 (ALB) 24g/L;
血氨:9umol/L;CK-MB 12.86ng/mL,ProBNP:995.9pg/mL;
贫血组合3:维生素B12 >1500,铁蛋白1068.57.;
真菌葡聚糖试验(G试验):18.17pg/mL;
痰培养组合:鲍曼不动杆菌、白色念珠菌;呼吸道病原体8项、军团菌抗原、肺炎链球菌抗原、流感病毒副流感病毒、CMV-DNA、G试验、尿含铁血黄素定性试验、Coombs、阵发性睡眠性血红蛋白尿组合、自身免疫性肝炎、肝炎系列、SLE3项、肥达试验、外斐氏试验等均无明显异常。
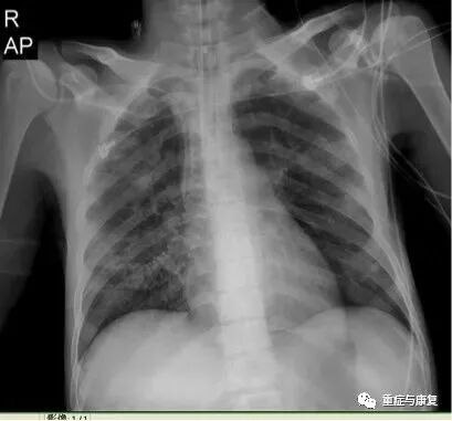
床边胸片(06-04):双肺炎症,未除外右侧胸腔积液;卧位心影增大(图1-1)。
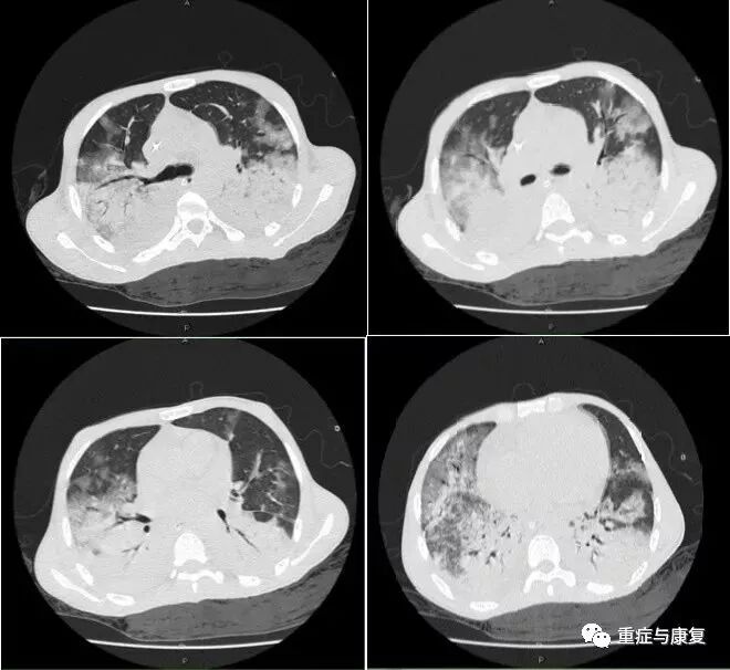
CT平扫(06-05):双肺广泛实变,考虑炎症;.双侧胸腔少量积液;心包少量积液;肝脾肿大;脾脏密度不均匀(图1-3)。
入院APACHEⅡ评分37分,死亡风险94%。
图1-1. 床边照片(2015-6-4)
图1-3 胸部CT(2015-6-5)
入院后(06-04)继续气管插管接呼吸机辅助呼吸,入院诊断:1.重症社区获得性肺炎、中度ARDS,2.急性肝衰竭,肝性脑病?3.贫血、肝脾肿大查因:地中海贫血?继续予呼吸机辅助通气(模式:SIMV,Vt 400ml,FiO2 60%,频率f 12次/分,PEEP 8cmH2O,PS 18 cmH2O),予“泰能、替考拉宁、米卡芬净”抗感染及对症支持治疗。
患者病情继续加重,次日出现深昏迷,全身皮肤巩膜深度黄染,复查肝功能:TBIL 518.4umol/L,DBIL 267.9umol/L,ALT 143U/L,AST 151U/L,ALP 118U/L;血氨:93umol/L;血气分析示OI 122。即进行血浆置换治疗,共4次(5/6-8/6),神志转清,胆红素水平较前明显下降,血氨下降。06-12因患者气促明显,PCT明显上升,并出现皮疹,考虑肺部感染进展,且不排除药疹可能,抗感染方案调整为美平、利奈唑胺、米卡芬净,继续积极的综合治疗,患者病情有好转,热退,肺部感染、肝功能不全逐渐好转,血氧改善,2015-06-17复查肝功能基本降至正常(TBIL 29.7umol/L,DBIL 12.1umol/L,ALT 38U/L,AST 40U/L),床边照片及胸部CT均提示肺部炎症明显吸收(图1-2,图1-4);于6-20成功脱离呼吸机拔除气管插管。
然而在肺部感染、肝功能不全改善过程中,患者2015-6-13起又出现发热、腹泻,每日排墨绿色水样便量2500-3800mL(图1-5),呈喷射状,大便培养、大便艰难梭菌、血CMV-IgM均阴性,多次请消化内科、胃肠外科会诊,考虑不除外抗生素相关性肠炎,予口服“万古霉素”,“善宁、思密达、易蒙停”止泻,调节肠道菌群等治疗,患者腹泻无改善,每日排便量增加至4000-6000mL。遂于06-26行电子结肠镜检查,镜下见“乙状结肠、降结肠粘膜持续性肿胀,呈结节性改变并见较多黄色脓性分泌物”(图1-6),肠镜病理、免疫组化结果示“结肠粘膜慢性炎伴CMV感染”。考虑“巨细胞病毒肠炎”,予加用“赛美维”抗病毒治疗(6周),并加用“甲硝唑”鼻饲。6-29、6-30大便培养示“铜绿假单胞菌”,先后调整抗生素为“氯霉素、马斯平、悉复欢”,后复查大便培养阴性,血象无明显升高,遂停用抗生素,但患者排便量无明显减少。07-04患者诉腹胀、腹痛,并排红褐色水样便,考虑存在消化道出血,予“去甲肾上腺素”灌肠、输血等支持治疗,大便渐转为黄褐色水样便,但排便量无减少。经积极治疗,患者腹痛、腹胀渐好转,8-3复查结肠镜,见“降结肠见一片状充血、红肿,直肠及乙状结肠散在斑片红肿及糜烂,无溃疡”(图1-7),提示CMV肠炎治疗后明显好转;结肠镜病理结果示“结肠粘膜慢性炎症伴溃疡形成(乙状结肠),结肠粘膜慢性炎症,部分腺体呈腺瘤性增生(降结肠)”,免疫组合示:CMV (-)。再次予“消旋卡多曲、易蒙停、善宁”减轻肠道分泌,经长达2个多月的治疗患者排便量减少至1500-2500mL/d,除营养状况欠佳外,生命指征稳定,患者于8-14转至当地中医院继续治疗。2016-1-4月电话随访,患者现已出院,无诉不适,生活自理,解黄色成形便或稀烂便1-2次/天。
图1-2 床边照片(复查,2015-6-17)
图1-4 胸部CT(复查,2015-6-17)
图1-5 大便性状呈墨绿色
图1-6 电子结肠镜检查(2015-6-26)
图1-7 电子结肠镜检查(复查,2015-8-3)
本例患者特点:
1)年轻男性,既往有地中海贫血病史;
2)起病急,病情发展快,本次无明显诱因出现发热,咳嗽,随之气促、黄疸进行性加重,氧合下降需插管呼吸机辅助呼吸;
3)同时出现急性肝衰竭,肝昏迷,几天内总胆红素急剧上升(71.6umol/L至518.4umol/L),及时采用了血浆置换术,胆红素才降低,黄疸减轻;
4)病原学不清楚,多次血培养均阴性,痰培养:后期为鲍曼不动杆菌、白色念珠菌(不除外定植);
5)经积极抗感染和综合治疗,肺部感染吸收和肝功能改善,却出现严重腹泻,肠镜提示巨细胞病毒肠炎,予更昔洛韦治疗1个多月,尽管复查肠镜:肠粘膜明显好转,但大便腹泻量减少不明显。
1)重症社区获得性肺炎、中度ARDS;
2)急性肝功能衰竭,肝性脑病;
3)巨细胞病毒肠炎;
4)地中海贫血、脾肿大。
1. 重症肺炎与急性肝功能衰竭
患者起病急,发热咳嗽7天即出现气促、黄疸,肝功能损害,胸片双肺炎症,无食物中毒史,无吸毒史等,重症社区获得性肺炎临床诊断成立,但是病原学不清楚,究竟哪种病原体毒力如此强,同时涉及急性肝功能损害?
作者查阅了相关文献[1-5],能引起这种改变的常见社区病原体有,CMV、流感病毒、呼吸道病毒、CAMRSA、军团菌、非典型病原体、肺炎链球菌、流感嗜血杆菌等,但本例现有实验室检查,CMV-DNA、流感病毒抗体、军团菌、支原体均阴性;尽管本实验室未能检测CAMRSA,从患者影像学发展来看,并没有出现肺脓肿、肺结构破坏,故CAMRSA肺炎的可能性不大。
由此,作者认为患者普通型流感继发细菌性肺炎可能性大,至于病原体为什么测不出,在临床上社区病原体诊断难的原因有哪些?作者认为与多种因素有关,首先,社区常见的病原体肺炎链球菌和流感嗜血杆菌属苛养菌,对青霉素类和喹诺酮类抗生素敏感,门诊使用频率较高时,这些敏感细菌易被杀灭或抑制生长,因而使用抗生素后才送标本不易培养分离出来,但它已在体内造成损害;而且这些病原菌存在地域差异,南方四季气候变化不明显影响细菌的孵育,即使培养出来也很快死亡,菌种很难保存;病毒和非典型病原体需特殊培养基培养。其次,临床医师送检多滞后,未能在使用抗菌药物前留取标本,血培养送检率低。第三,临床微生物室软、硬件所限。
患者同时存在急性肝功能衰竭,肝衰竭往往病情进展迅速,治疗难度大,预后差。目前,尚无针对肝衰竭特异有效的临床治疗手段,强调综合治疗为主,包括内科基础治疗、人工肝支持治疗和肝脏移植治疗。
人工肝是指通过体外的机械、物理化学或生物装置,清除各种有害物质,补充必需物质,改善内环境,暂时替代衰竭的肝脏部分功能的治疗方法,能为肝细胞再生及肝功能恢复创造条件或等待机会进行肝脏移植。人工肝支持系统分为非生物型、生物型和组合型。非生物型人工肝已经在临床广泛应用并被证明有一定疗效。目前应用的非生物型人工肝方法包括血浆置换、血液灌流、血浆胆红素吸附、血液滤过、血液透析、持续性血液净化疗法等。目前,人工肝支持治疗最为常用的方法是血浆置换[6]。
本例中,患者入院时以重症肺炎、急性肝衰竭为主要表现,考虑患者急性肝衰竭为重症感染所致,予以抗感染治疗、抗炎、护肝及积极的对症支持治疗。患者在治疗过程中出现病情进展,复查肝功能提示胆红素进一步上升、肝酶无进一步上升的胆酶分离倾向,并出现深昏迷、血氨升高,提示肝性脑病,病情危重,除了积极的内科基础治疗,我科给患者进行血浆置换4次,患者的肝酶、胆红素、血氨等指标逐渐趋于正常,提示血浆置换治疗对患者的病情控制起了积极的作用。患者的病情得到了逐步的控制,为患者的后续治疗赢得了宝贵的时间。
研究表明,急性肝衰竭合并肝性脑病和脑水肿的比率分别为70.7%和17.1%,主要表现为意识障碍、行为失常和昏迷,最终可导致死亡[7]。本病例中,患者出现肝性脑病,在血浆置换治疗过程中,患者肝功能指标逐步趋于正常,患者意识、血氨均有逐渐改善,并在血浆置换之后病情趋于平稳,最终获得顺利撤离呼吸机并拔出气管导管、进食,提示血浆置换在治疗肝衰竭并发症如肝性脑病方面有着一定的临床效果。血浆置换可显著改善肝衰竭患者的临床症状及血生化指标,这在一些已有的文献中得到了证实[8]。
2. CMV肠炎
在成年人中,超过40%为CMV感染者,其中只有少数引起病症;CMV肠炎是CMV感染的主要临床表现,常见于免疫缺陷患者,如AIDS、血液恶性肿瘤、器官移植和激素使用等,少数发生于免疫正常者[9,10]。CMV肠炎的症状主要有发热、腹泻、消化道出血和腹痛等,常见的病灶部位是乙状结肠和盲肠。CMV肠炎的结肠镜下表现主要为溃疡,偶可表现为伪膜或假性息肉,增大肠镜的鉴别诊断难度。
肠道的CMV感染罕见于免疫健全者,但可引起严重的并发症,甚至是死亡。本病例中,患者为青年男性,否认免疫缺陷既往史,因重症肺炎、急性肝衰竭入院,经抗感染、血浆置换及积极对症支持治疗,患者肺部感染及肝功能衰竭情况逐渐改善,而同时,患者出现腹泻,以水样便为主,与进食量无明显关系,大便培养及艰难梭菌均无阳性结果。
由于患者为免疫健全者,住院期间使用抗生素治疗肺部感染,其腹泻最初被考虑为肠道菌群失调所致肠道细菌性感染,先后予“万古霉素、甲硝唑”鼻饲及调节菌群、止泻治疗,患者腹泻症状无明显改善,每日排便量增加,并出现腹痛、消化道出血症状,行电子结肠检查,镜下见“乙状结肠、降结肠粘膜持续性肿胀,呈结节性改变并见较多黄色脓性分泌物”,病理检查、免疫组化结果提示“CMV感染”,方确诊“CMV肠炎”。
CMV感染活动多发生于重症监护室的患者,因为这部分患者可由于基础疾病严重而处于免疫系统的低谷状态。CMV肠炎的临床表现主要有发热、腹痛、腹泻等,这些症状与其他的感染性腹泻相似。因此,当重症监护室的患者出现腹泻,尤其是在经验性抗感染治疗后效果欠佳的腹泻时,警惕病毒性感染对诊断非常重要,及早的诊断及治疗对这部分患者十分重要。关于CMV肠炎的诊断,病理活检(包括免疫组化)、CMV-IgM抗体水平检测、CMV-DNA定量是主要的诊断手段。对于顽固性(难治性)的腹痛、腹泻,若考虑到CMV肠炎,建议依据病理活检、CMV-IgM水平的检测来确诊。而对于免疫缺陷或免疫抑制者,由于这部分患者产生抗体的能力被抑制,CMV-IgM水平检测的诊断力度不如CMV-DNA定量[11]。本例中,患者出现腹泻后曾检测CMV-IgM水平未见明显升高,考虑与其病情严重导致免疫低下有关。
治疗上,目前仍未有关于免疫健全者CMV肠炎抗病毒治疗的共识形成[9]。一项关于免疫抑制宿主CMV肠炎的meta分析结果发现,年龄大(>55岁)、男性和免疫状况(妊娠、慢性肾衰竭、未治疗的非血液恶性肿瘤和糖尿病)等因素可能导致预后不良,具有这些不良因素的患者应该接受抗病毒治疗[12]。
根据UC指南关于CMV肠炎的治疗,推荐2-3周疗程的更昔洛韦或更昔洛韦、缬更昔洛韦序贯治疗[10,13]。而至于是否需要继续使用抗病毒治疗及使用的疗程,尤其是对于那些无免疫抑制的患者,目前没有一致的意见。
CMV肠道感染者,CMV病毒在肠道粘膜的残留时间长于血液检验结果所提示的时间,因此,有学者认为,2-3周的抗病毒疗程对CMV肠炎的治疗是不够的[14]。至于治疗效果的监测上,除了血液检验,电子结肠镜检查复查也是必要的,这样可以确认CMV的根治,同时可以评估粘膜的修复情况。本病例里,尽管患者无免疫抑制病史,但考虑到患者为男性,且病情危重,一般情况差(恶液质明显),我们使用“赛美维”(更昔洛韦)抗病毒治疗,4周后复查电子结肠镜提示粘膜较前明显改善,病理活检提示CMV阴性,但由于患者每日排便量改善欠佳,我们延长抗病毒治疗的疗程至6周,方停用“赛美维”(更昔洛韦)抗病毒。
综上结合现有文献讨论免疫健全者重症社区获得性肺炎、急性肝衰竭并发CMV肠炎病例,使我们加深对本罕见病例的认识。重症社区获得性肺炎病原学往往难以明确,结合当地流行病学、患者临床表现予经验性抗感染及积极的对症支持治疗非常重要。急性肝衰竭的治疗强调综合治疗,人工肝支持治疗如血浆置换对病情的控制有积极作用,为后续治疗赢得宝贵时间。CMV肠炎临床表现缺乏特异性,重症患者出现消化道症状时需警惕CMV肠炎可能,及早诊断,并根据患者病情决定是否使用抗病毒治疗,及其治疗疗程。
参考文献:
温馨提示
重症与康复公众号于2019年5月7日起,推出病例集锦栏目,将在每周二和大家见面,欢迎围观~
小编先剧透下病例内容方向:
一、 重症肺炎及新发呼吸道传染病:呼吸危重症永远的话题
二、 严重免疫抑制患者合并肺部感染:现实与挑战
三、气道阻塞性疾病:常见而不简单
四、急性肺动脉血栓栓塞症的诊治:不仅仅限于肺血管内
五、弥漫性实质性肺疾病所致呼吸衰竭:酷似肺炎但不是肺炎
六、血源性感染:索源与治疗
七、 脏器支持技术:指征与操作
八、 肿瘤相关及其他
详细病例内容,每周二见!
[分享与收藏]
轻点右上角的“箭头”或“三个点”,可以把今日的文章“发送给朋友”、“分享到朋友圈”、“分享到腾讯微博”或“收藏”
[阅后关注]
轻点标题下蓝色的重症与康复,然后点“关注”
[推荐关注]
让您身边的朋友使用微信扫描下面的二维码,然后点“关注”
[欢迎来稿]欢迎投稿、荐稿,来稿邮箱:medservices@163.com
Go to "Discover" > "Top Stories" > "Wow"