点击左上角“MDPI化学材料”关注我们,为您推送更多最新资讯。
和块状材料相比,薄膜材料在结构和性能变化上体现出多样性。薄膜的本质包括了界面的形成,这些界面和界面区域可能会由于不同条件而产生不同的变化。为加深对薄膜和界面性质的理解,Materials 期刊创建了“Thin Films and Interfaces (薄膜和界面)”栏目,其主题包括但不限于薄膜和界面的制造和建模、表征和制造-性能关系以及应用等内容。本期编辑荐读精选了该栏目中的 3 篇热点论文及其编辑推荐导语,论文作者均采用开放同行评审 (Open Peer Review) 的发表模式——所有同行评审报告以及作者的回复同时在线发表。本栏目主编由来自美国托莱多大学的 Nikolas J. Podraza 教授担任,欢迎阅读。
Nikolas J. Podraza 教授
University of Toledo
研究领域:薄膜、光学特性、光谱椭偏仪、光伏。
识别二维码,
进入栏目主页。
Materials 期刊于 2018 年 10 月起对所有作者开放 Open Peer Review 发表模式,即作者可以自由选择是否公开评审。内部数据显示,约 1/3 的稿件作者选择了公开评审。Open Peer Review 模式的上线进一步完善了客观公正的学术出版流程。
# 01
Effect of Process Factors on Tensile Shear Load Using the Definitive Screening Design in Friction Stir Lap Welding of Aluminum–Steel with a Pipe Shape
管形铝-钢搭接摩擦搅拌搭接焊中工艺参数对拉伸剪切载荷的影响
Leejon Choy et al.
https://www.mdpi.com/1298906
编辑推荐导语:
销钉是机械中常见的紧固件之一,在实验中,作者测试了四种不同销钉长度的工具,并确定了不同工艺参数对拉伸剪切载荷值的影响。研究的过程和结果对汽车行业很有借鉴意义,对 FSW 处理技术也很有参考价值。文章得出的结论都源于作者所做的实验研究,内容连贯、逻辑清晰。
部分审稿人意见:
本文研究了不同工艺参数对不同铸型管状铝-高速钢的拉伸剪切载荷值的影响。
文章逻辑清晰。研究方案、实验结果及其理论分析都没有严重的缺陷。然而,文章对微观结构的分析部分不是很充分,建议作者根据已有的研究补充更多的理论分析。总体来看,这篇文章的评价是积极的。
识别二维码
阅读英文原文及同行评审报告
# 02
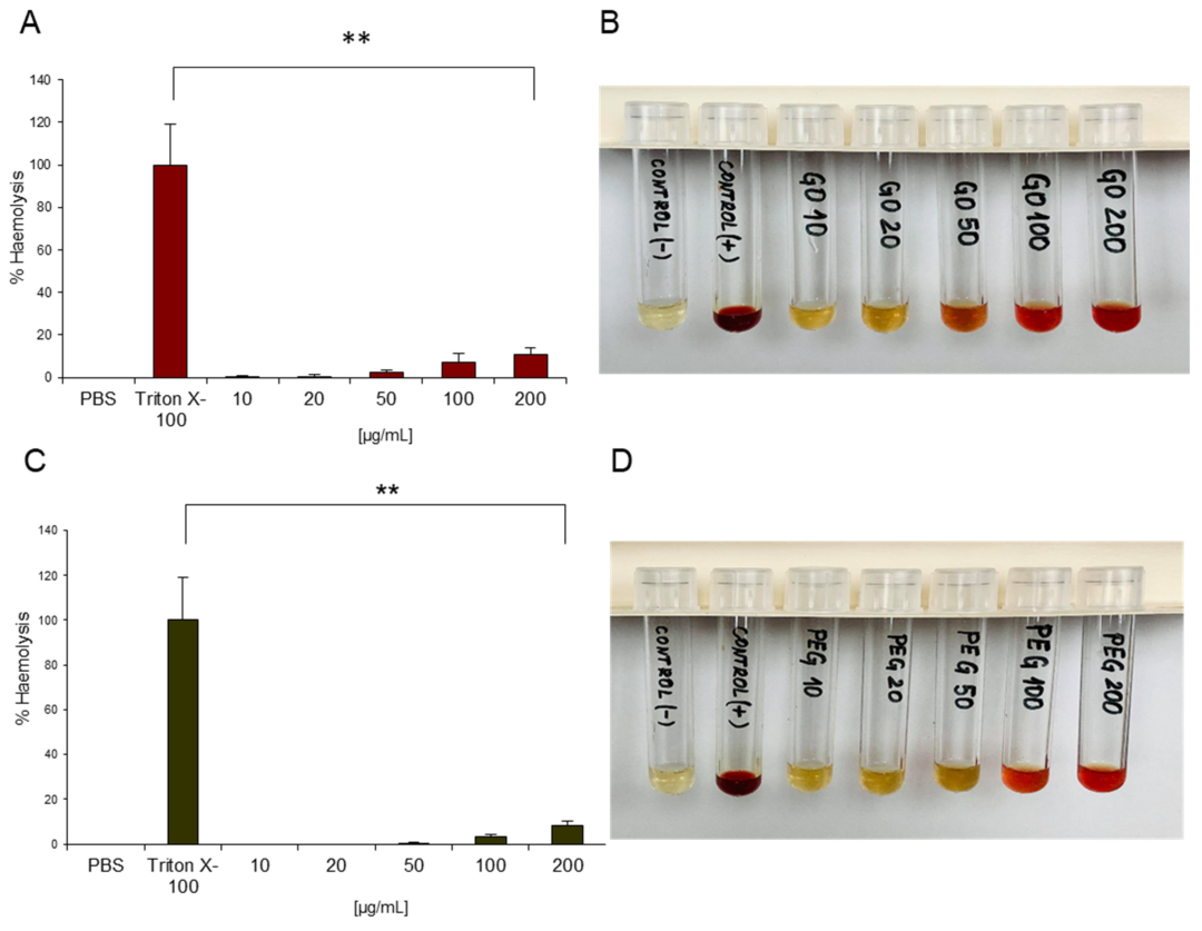
Impact of Polyethylene Glycol Functionalization of Graphene Oxide on Anticoagulation and Haemolytic Properties of Human Blood
氧化石墨烯聚乙二醇功能化对人体血液抗凝和溶血性能的影响
Trayana Kamenska et al.
https://www.mdpi.com/1245220
编辑推荐导语:
本文研究了功能化对纳米氧化石墨烯 (nano-graphene oxide, nGO) 凝血和溶血性能的影响。通过不同的表征技术,本文展示了纳米氧化石墨烯和功能化纳米氧化石墨烯的特征,并仔细研究了这两种氧化石墨烯颗粒的抗凝血和溶血的特性,以及它们对红细胞的影响。文章条理清晰、结构完整。
部分审稿人意见:
该论文描述了一种功能化方法,通过在氧化石墨烯纳米粒子纳米粒子周围形成屏蔽,来改善石墨烯性能,从而减少原始纳米氧化石墨烯对人体血液的不利影响。手稿具有科学合理性,本文的研究结果对石墨烯的生物医学应用研究具有重要意义。
识别二维码
阅读英文原文及同行评审报告
# 03
Effect of Steel Surface Roughness and Expanded Graphite Condition on Sliding Layer Formation
钢表面粗糙度和膨胀石墨条件对滑动层形成的影响
Aleksandra Rewolińska, Karolina Perz and Grzegorz Kinal
https://www.mdpi.com/1131580
编辑推荐导语:
本文研究了与膨胀石墨环 (干式和湿式) 匹配的钢销表面的初始粗糙度对滑动层形成机制的影响。文章内容丰富,具有一定的学术价值,相信会引起相关研究者的关注。
部分审稿人意见:
文章通过比较 Pin-on-disk 测试后表面粗糙度的变化,研究了初始表面粗糙度和石墨条件对滑动层形成的影响。研究结果得到了很好的解释。
在本研究中,为了确定初始粗糙度的影响,将钢销分为三个粗糙度组,并使用表面几何形状 Ra 和 Rz 进行测定。研究发现,增加钢表面与石墨相互作用的初始粗糙度有助于更快地形成层,从而减少摩擦,特别是在干滑动摩擦中。稿件的逻辑和表达都很清晰,具有重要借鉴意义。
识别二维码
阅读英文原文及同行评审报告
往期回顾
Materials:期刊半年成绩回顾 | MDPI 期刊推荐
视频号
扫码关注
MDPI开放数字出版视频号
版权声明:
本文内容由MDPI中国办公室编辑负责撰写,一切内容以英文原版为准。如需转载,请于公众号后台留言咨询。
由于微信订阅号推送规则更新,建议您将“MDPI化学材料”设为星标,便可在消息栏中便捷地找到我们,及时了解最新开放出版动态资讯!
点击左下方“阅读原文”,进入栏目主页。
喜欢今天的内容?不如来个 "三连击" ☞【分享,点赞,转发】